.jpg?type=w966)
치료 기간 : 23.06.03~24.11.13
유아기를 거쳐 어른이 되어가기까지
우리의 외모는 수많은 변화들을 보게 됩니다.
얼굴뿐만 아니라 구내도 점차 변하게 되는데요.
시간의 흐름에 따라 턱뼈가 점점
발달하게 되며 이전 어린 시절의 모습들은
점점 찾아보기 어려워질 겁니다.
이렇게 변해가는 시점에서 물론 좋은 방향으로
바뀌게 된다면 더할 나위가 없겠지만,
간혹 구강 건강을 해칠 정도로 성장이
지속되다 보면 나름대로 고민이 생길 수 있는데요.
오늘은 양원역 치과 에서
무턱과 덧니처럼 보여지는 총생은
치아교정 치료를 통해 개선 가능한지
알려드리는 시간을 가져볼까 합니다.
『1. 무턱과 총생』
먼저 무턱은 위턱보다
아래턱 크기가 작은 형태를 말합니다.

옆모습을 보면
턱 크기가 좀 작고
뒤로 들어가 있습니다.
그 영향을 받아
상대적으로 입술이 튀어나온 듯 하죠.
정중선에서 벗어난 비대칭이
심한 편은 아니지만,
안모의 형태를 보았을 때
하악이 뒤로 후퇴되어 있어
이러한 느낌이 듭니다.

측면 엑스레이를 통해
골격 분석을 해보면,
골격성 2급 안모 형태에
심미선(E-Line)을 기준으로
입술을 보면 돌출입 경향도 있습니다.
이렇게 되는 원인은
유전적 성질과 관련이 깊습니다.
턱뼈의 형태나 크기는
유전이랑 깊은 연관을 띄고 있기 때문이죠.
만약에 어린이 같은 경우,
아래턱의 성장을 촉진시키는
장치로 치료를 진행해볼 수 있습니다.
반대로 성장이 다 끝난 어른은
수술을 고려하게 될 수 있습니다.
그러나 수술을 원하는 분들은
거의 없기 때문에,
가급적 어릴 때 발견하여
조기 치료를 받는 게 중요합니다.

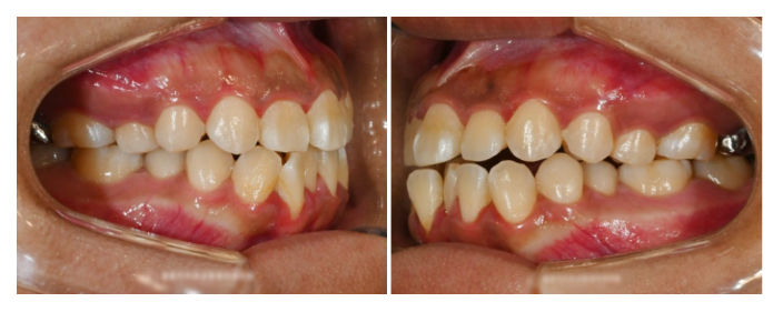
그리고 실제 구내를 살펴보면,
아래 전치부 쪽으로
총생(Crowding)을 찾아볼 수 있습니다.

총생이란 치아가 지나치게 밀집되어
자라난 상태로 배열이 올바르게 되지 않고,
서로 겹치거나 뒤틀려 있는 형태로
문제가 생긴 것을 말합니다.

치근단 엑스레이를 보면,
좁은 공간에 여러 개 치아가
촘촘히 밀집되어 있는 형태를 볼 수 있습니다.
이는 심미성에 악영향을 끼쳐
자신감을 떨어뜨리는 요인이 됩니다.
또한, 식사를 했을 때
음식물이 곳곳에 끼어
칫솔질할 때 모가 들어가기 힘들기에
충치, 치주질환의 발병률이 높아집니다.
즉, 구강 관리가 어려워짐을 의미합니다.
이처럼 잇몸이 빨갛게 붓고
크게 부어오르며,
심할 경우 출혈을 동반할 수 있습니다.
오래 방치하게 된다면
발치까지 이어질 수 있기에
정확히 상태를 분석 후
치아교정 을 하는 게 중요합니다.
2. 어떻게 개선할까?

전체적으로 구강 상태를 꼼꼼히 점검하여
결손된 이가 있는지, 치열, 교합 등
여러 가지를 고려하여 계획을 수립합니다.

만약에 이를 이동시킬 공간이 없다면
부득이하게 발치를 통하여
공간을 확보할 수밖에 없습니다.
대체로 소구치를 많이 뽑는 편입니다.
여기서는 12번 앞니가 없기 때문에
이 점을 고려하여 대칭이 이뤄질 수 있도록,
교합도 잘 맞을 수 있게끔 하는 게 중요합니다.
소구치 발치가 이뤄졌다면,
공간이 형성되었기에
치아교정 장치를 붙이고
이를 조금씩 움직여줍니다.
장치를 부착하고 나서
수개월이 흐르면,
서서히 빈 자리가 닫히는
모습을 찾아볼 수 있습니다.
빠르게 닫을 수 있기는 하나
그렇게 되면 치근(뿌리)이 짧아지는
부작용을 겪을 수 있기에
권장하지 않고 있습니다.

좀 더 시간이 흐르고 나서
공간은 잘 닫혀졌으며,
마무리 단계는 미세한 조정을 통해
치열을 가지런히 다듬으면 됩니다.
3. 완료

초기에 심했던 Crowding은
깔끔히 정리되었으며,
치열도 가지런해졌습니다.
그럼 무턱은 어떻게 되었을까요?
뒤로 후퇴되어 있던 아래턱은
전방으로 이끌어내며,
좀 더 자연스러운 형태가 되었습니다.

추가로 측면 엑스레이를 보면
E-Line을 기준으로
입술이 선 밖으로 나오지 않았으며
정상 범위에 속해있습니다.
즉, 돌출입이 개선되었다는 의미죠.
이와 같이 무턱과 총생은
치아교정으로 고칠 수 있습니다.
다만, 이런 경향을 띌 때
빠르게 진료를 받아보는 게 중요합니다.
턱이 많이 튀어나올수록
치료 자체가 힘들어질 수 있습니다.
조금이라도 덜 튀어나왔을 때
진료를 받으실 경우,
수술없이 좀 더 쉽게 해결할
가능성이 높아집니다.
그렇기에 검진을 받아보실 것을 권장드리며,
이번 글을 마치겠습니다.
다음 글도 유익한 주제로
찾아뵙겠습니다. ^^
글쓴이, 김정은이었습니다.
