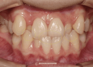
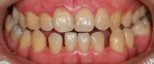
‘저희 아이 반대교합 치료를 하기에는 너무 늦은 걸까요..? 중랑구교정치과

성장기 아이들 치료를 진행할 때는 무엇보다 '치료 시기'가 중요하다 할 수 있습니다. ​ 특히나 골격적인 문제를 해결하기 위해서는 성장이 끝나기 전에 오셔서 진료를 받아야 되는데요. ​ 비수술적인 방법으로 개선을 할…

Continue Reading‘저희 아이 반대교합 치료를 하기에는 너무 늦은 걸까요..? 중랑구교정치과

위, 아랫니가 거꾸로 물리면 나타날 수 있는 문제들! 망우역 치과 고난도 교정 케이스

위, 아랫니가 거꾸로 물리는 반대교합은 외적으로 큰 콤플렉스가 될 뿐만 아니라, 턱관절과 같은 여러 문제로도 이어질 수 있습니다. ​ 따라서 망우역 치과 에 오셔서 조기에 발견한 뒤 적절한 조치를 취하는…

Continue Reading위, 아랫니가 거꾸로 물리면 나타날 수 있는 문제들! 망우역 치과 고난도 교정 케이스

“아이 앞니가 거꾸로 물려요.” 면목동 치과 성장기 3급 부정교합 치료 과정

『안녕하세요~ 벌써 금요일이네요ㅎㅎ』 오늘 면목동 치과 에서 여러분들과 얘기를 나눠볼 주제는 3급 부정교합에 관련된 내용입니다. 출처 - 구글 3급 부정교합은 이전에도 설명드린 적 있지만 아래턱이 위턱에 비해 발달하여 이가 거꾸로…

Continue Reading“아이 앞니가 거꾸로 물려요.” 면목동 치과 성장기 3급 부정교합 치료 과정

심한 덧니와 주걱턱 치아교정 중화역 치과 에서 시행한 반대교합 개선 과정

안녕하십니까.^^ 글로리 중화역 치과 의 김정은 대표원장입니다. ​ 오늘은 심한 덧니와 주걱턱 치아교정이라는 주제를 가지고 케이스를 소개해 드릴 예정인데요. ​ 어떠한 방법으로 개선했으며 전/후는 어떻게 달라졌는지 낱낱이 파헤쳐 보겠습니다.^^ 1.…

Continue Reading심한 덧니와 주걱턱 치아교정 중화역 치과 에서 시행한 반대교합 개선 과정

어린이 부정교합 3급 주걱턱 심미와 기능을 모두 갖춘 클라리티 브라켓 치아교정 으로 해결될까?

과거 교정 치료에서는 주로 금속 재질로 만들어진 브라켓을 사용하곤 했는데요. ​ 그러나 시대가 점점 변하면서 심미에 대한 중요성이 높아지는 요즘, 조금 더 예쁘게, 조금 더 티가 나지 않게 이러한 부분에서의…

Continue Reading어린이 부정교합 3급 주걱턱 심미와 기능을 모두 갖춘 클라리티 브라켓 치아교정 으로 해결될까?

앞으로 튀어나온 주걱턱, 절단교합, 치아 사이 벌어짐 어떤 연관성이 있을까?

안녕하세요, 교정과 전문의 김정은입니다. 주걱턱(아래턱 돌출), 절단교합,치아 사이 벌어짐은 서로 밀접한 연관성이 있는데요. 오늘은 그에 대해 설명해 드릴까 합니다. 주걱턱이란? 아래턱이 위턱보다과도하게 앞으로 튀어나온 상태로, 대부분 유전적 요인에 의해 발생하지만턱을…

Continue Reading앞으로 튀어나온 주걱턱, 절단교합, 치아 사이 벌어짐 어떤 연관성이 있을까?

뻐드러진 앞니와 개방교합 교정, 상악 확장부터 라미네이트까지, 단계별 교정 치료 소개글

뻐드러진 앞니와 개방교합 교정, 상악 확장부터 라미네이트까지, 단계별 교정 치료 소개글 안녕하세요,교정과 전문의 김정은입니다. 오늘은 뻐드러진 앞니와좁은 악궁, 개방 교합 등여러 문제가 한번에 있을 때치료할 수 있는 방법에 대해소개해 드리도록…

Continue Reading뻐드러진 앞니와 개방교합 교정, 상악 확장부터 라미네이트까지, 단계별 교정 치료 소개글

여러 치아 문제가 동시에 있다면? 복합 치료의 필요성- 반대교합, 주걱턱, 자연치 결손 교정 케이스

안녕하세요, 교정과 전문의 김정은입니다. ​ 오늘은 치아와 턱 관련 문제가 여러 개 동시에 나타나는 경우에 대해 소개해 드리려 합니다. ​ 혹시 거울을 보면서 앞니가 닿지 않고, 아래턱이 위턱보다 앞으로 나와…

Continue Reading여러 치아 문제가 동시에 있다면? 복합 치료의 필요성- 반대교합, 주걱턱, 자연치 결손 교정 케이스

어린이 반대교합, 언제 어떻게 치료하나요?

안녕하세요,교정과 전문의 김정은 입니다. 이제는 많은 분들께서반대교합은 어린 나이에 치료를 하는 것이 좋다는 사실을 많이들 알고 계신데요. 반대교합이란? 윗니가 아랫니를 덮지 못하고거꾸로 물리는 상태를 말합니다. 그리고 '반대교합'은시간이 지난다고 해서저절로 해결되지…

Continue Reading어린이 반대교합, 언제 어떻게 치료하나요?