Loading, Please wait...
Skip to content
Search this website
  • 홈
  • 돌출입교정
  • 주걱턱교정
  • 비발치교정
  • 발치교정
  • 투명교정
  • 성장기교정
Menu Close
  • 홈
  • 돌출입교정
  • 주걱턱교정
  • 비발치교정
  • 발치교정
  • 투명교정
  • 성장기교정
글로리치과교정과치과 임상케이스
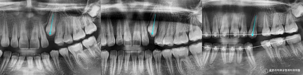
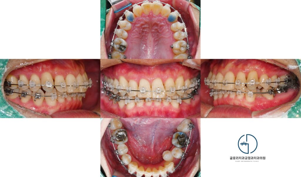
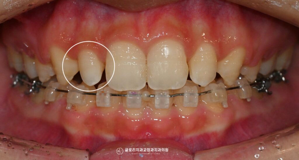
상봉동 교정치과 전치부 총생 비발치 인비절라인(투명교정)으로 가능한 이유
투명교정 / 미분류 / 비발치교정

상봉동 교정치과 전치부 총생 비발치 인비절라인(투명교정)으로 가능한 이유

안녕하세요, 상봉동 교정치과 김정은 원장입니다. 치열이 가지런하지 않고 앞니가 겹쳐 보이는 전치부총생은 기능적인 문제뿐 아니라심미적인 부분과도 밀접하게 연결됩니다. 그렇기 때문에…

Read More
상봉역 교정치과 앞니 벌어짐 발치 교정 및 왜소치 라미네이트 과정
발치교정 / 미분류

상봉역 교정치과 앞니 벌어짐 발치 교정 및 왜소치 라미네이트 과정

안녕하세요, 상봉역 교정치과 김정은 원장입니다. 왜소치에 대해 들어보신적 있으신가요? 왜소치는 말그대로 정상적인 치아크기보다 작게 형성된 이를 말합니다, 특히 앞니 부위에서…

Read More
망우동 교정치과 앞니가 안 닿는 개방교합, 비발치 인비절라인 투명 교정 과정
비발치교정

망우동 교정치과 앞니가 안 닿는 개방교합, 비발치 인비절라인 투명 교정 과정

안녕하세요, 망우동 교정치과 김정은 원장입니다:) 어금니는 Class I, 치성 1급 형태로 잘 물리지만유독 앞니 부분만 공간이 떠 있는 상태인 분들이…

Read More
중랑구 교정치과 앞니가 삐뚤고 입이 나와보인다면? 발치교정을 통한 골격성 2급부정교합 개선 가능합니다.
발치교정

중랑구 교정치과 앞니가 삐뚤고 입이 나와보인다면? 발치교정을 통한 골격성 2급부정교합 개선 가능합니다.

안녕하세요, 교정과 전문의 김정은입니다. 앞니는 단순히 음식을 자르는 기능을 넘어 첫인상을 결정짓는 중요한 심미요소를 담당하는 부위입니다. 특히나 웃을때 제일 먼저…

Read More
상봉역 교정치과 구치부 염증으로 인한 발치 후 교정 : 골격성 2급부정교합 개선 총과정
발치교정

상봉역 교정치과 구치부 염증으로 인한 발치 후 교정 : 골격성 2급부정교합 개선 총과정

안녕하세요.상봉역 교정 치과 김정은 원장입니다.🙂 교정 상담을 진행하다보면 치아가 삐뚤하다 앞니가 많이 덮인다 같은 고민으로 시작되는 경우가 많습니다. 하지만 막상…

Read More
망우동 교정 치과 전치부 총생과 과개교합으로 돌출된 얼굴, 발치교정을 통한 개선 과정 알아봅시다.
미분류 / 발치교정

망우동 교정 치과 전치부 총생과 과개교합으로 돌출된 얼굴, 발치교정을 통한 개선 과정 알아봅시다.

안녕하세요, 망우동 교정 치과 김정은 원장입니다. 전치부는 대화를 하거나 웃을 때 먼저 시선이 닿는 부위로치아의 배열 하남나으로도 얼굴 인상과 심미적…

Read More

치과소개

치과소개

글로리치과교정과치과

안녕하세요!
글로리치과교정과정치과의 김정은 대표원장입니다:)

제가 만나고 있는 여러 환자분들과의 치료과정을
이 공간에 기록해보려 합니다.

치료 시기를 고려한 치료 계획 수립,
환자와의 원활한 소통,
책임감있는 전문의의 진료를 중요시하는
저의 진료 이야기로 많은 분들과 소통하고 싶습니다!
  • Opens in a new tab
  • Opens in a new tab
  • Opens in a new tab

태그

과개교합 교정과전문의김정은 교정시기 낸스장치 덧니 돌출입 교정 망우역 교정치과 발치교정 비발치 비발치교정 성장기교정 송곳니매복교정 양원역 교정치과 어린이교정 어린이반대교합 영구치 인비절라인퍼스트 주걱턱교정 주걱턱옆모습 주걱턱옆모습변화 주걱턱 치아교정 중랑구 교정치과 총생 총생교정 치간삭제 치아교정 클리피씨교정 펜듈럼 편악발치 혼합치열기
  • 홈
  • 돌출입교정
  • 주걱턱교정
  • 비발치교정
  • 발치교정
  • 투명교정
  • 성장기교정
© Copyright 2026 · 글로리치과교정과치과