상봉역 치과 돌출된 입이 신경쓰여요: 발치교정으로 2급 부정교합 해결

안녕하세요. 상봉역 치과 김정은 원장입니다. 돌출입은 외모의 문제로 여기기 쉽지만 실제로는 치아가 앞으로기울어지거나 턱 관계 자체가 맞지 않는 부정교합인 경우가 많습니다. 23.10.31 특히 위턱과 아래턱의 전후 관계가 틀어진 2급 부정교합에…

Continue Reading상봉역 치과 돌출된 입이 신경쓰여요: 발치교정으로 2급 부정교합 해결

망우동 치과 정중선 편위 및 삐뚤어진 치열, 가지런한 배열을 회복하기 위한 발치 교정

안녕하세요 망우동 치과 김정은 원장입니다. 치아가 삐뚤어 교정 상담을 받게 되면 많은 분들이먼저 궁금해하시는 것이 바로 비발치 인지 발치 교정인지에 대한 부분입니다. 23.07.18 가능하다면 치아를 뽑지않고 배열만 정리하는 비발치 방식을…

Continue Reading망우동 치과 정중선 편위 및 삐뚤어진 치열, 가지런한 배열을 회복하기 위한 발치 교정

망우역 치과 뻗쳐있는 앞니, 돌출입 개선에 필요한 발치교정에 대해 알아보자.

안녕하세요, 망우역 치과 김정은 원장입니다. 평소에 앞니가 앞으로 뻗어보이거나 입이 튀어나와보이는 느낌 때문에 걱정을 하시는 분들이 꽤 있습니다. 24.01.30 보통 이런 돌출입 양상은 앞니가 전방으로 기울어있거나 위턱과 아래턱의 관계가 맞지…

Continue Reading망우역 치과 뻗쳐있는 앞니, 돌출입 개선에 필요한 발치교정에 대해 알아보자.

상봉역 교정치과 앞니 벌어짐 발치 교정 및 왜소치 라미네이트 과정

안녕하세요, 상봉역 교정치과 김정은 원장입니다. 왜소치에 대해 들어보신적 있으신가요? 왜소치는 말그대로 정상적인 치아크기보다 작게 형성된 이를 말합니다, 특히 앞니 부위에서 흔히 나타나며 치아 사이 공간이 남거나 비율이 어색해보이는 심미적 고민으로도…

Continue Reading상봉역 교정치과 앞니 벌어짐 발치 교정 및 왜소치 라미네이트 과정

중랑구 교정치과 앞니가 삐뚤고 입이 나와보인다면? 발치교정을 통한 골격성 2급부정교합 개선 가능합니다.

안녕하세요, 교정과 전문의 김정은입니다. 앞니는 단순히 음식을 자르는 기능을 넘어 첫인상을 결정짓는 중요한 심미요소를 담당하는 부위입니다. 특히나 웃을때 제일 먼저 보이는 치아이기 때문에 조금만 앞니 삐뚤어있거나 돌출되어 있어도 얼굴 전체의…

Continue Reading중랑구 교정치과 앞니가 삐뚤고 입이 나와보인다면? 발치교정을 통한 골격성 2급부정교합 개선 가능합니다.

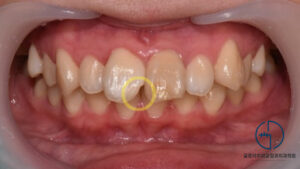
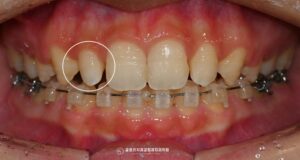
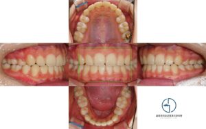
상봉역 교정치과 구치부 염증으로 인한 발치 후 교정 : 골격성 2급부정교합 개선 총과정

안녕하세요.상봉역 교정 치과 김정은 원장입니다.🙂 교정 상담을 진행하다보면 치아가 삐뚤하다 앞니가 많이 덮인다 같은 고민으로 시작되는 경우가 많습니다. 하지만 막상 정밀검사를 해보면 치열문제 뿐만 아니라 턱의 성장과 위치 관계에서 원인을…

Continue Reading상봉역 교정치과 구치부 염증으로 인한 발치 후 교정 : 골격성 2급부정교합 개선 총과정

망우동 교정 치과 전치부 총생과 과개교합으로 돌출된 얼굴, 발치교정을 통한 개선 과정 알아봅시다.

안녕하세요, 망우동 교정 치과 김정은 원장입니다. 전치부는 대화를 하거나 웃을 때 먼저 시선이 닿는 부위로치아의 배열 하남나으로도 얼굴 인상과 심미적 이미지에큰 영향을 주게 됩니다. 특히 앞니가 겹쳐 있거나 깊게 물리는…

Continue Reading망우동 교정 치과 전치부 총생과 과개교합으로 돌출된 얼굴, 발치교정을 통한 개선 과정 알아봅시다.
Read more about the article 심하게 삐뚤어진 치열, 망우역 교정치과 에서 발치교정이 필요한 이유를 알려드립니다.
망우역 교정치과

심하게 삐뚤어진 치열, 망우역 교정치과 에서 발치교정이 필요한 이유를 알려드립니다.

안녕하세요? 망우역 교정치과 김정은 원장입니다 :) 혹시 거울을 볼 때마다 삐뚤빼뚤한 치아가 신경 쓰이셨나요? 23.10.28 치열이 고르지 못한 것은 단순히 외관상의 문제만이 아닙니다. 치열이 고르지 못하면 발생하는 문제 ? 다음과…

Continue Reading심하게 삐뚤어진 치열, 망우역 교정치과 에서 발치교정이 필요한 이유를 알려드립니다.

망우동 교정치과 개방교합과 돌출입, 에스라인 교정 으로 함께 개선하기

안녕하세요, 망우동 교정치과 김정은 원장입니다.😊 치아를 꽉 다물어도 앞니끼리 닿지 않아불편하거나 고민이신 분들이 계십니다. 23.07.04 어금니는 잘 맞물리는데 유독 앞니 부분만공간이 떠 있는 상태를 개방교합(openbite)이라고 합니다. 개방교합이 있으면 앞니로 음식을…

Continue Reading망우동 교정치과 개방교합과 돌출입, 에스라인 교정 으로 함께 개선하기