안녕하세요? 망우역 교정치과 김정은 원장입니다 🙂
혹시 거울을 볼 때마다 삐뚤빼뚤한 치아가 신경 쓰이셨나요?

치열이 고르지 못한 것은 단순히 외관상의 문제만이 아닙니다.
치열이 고르지 못하면 발생하는 문제 ?
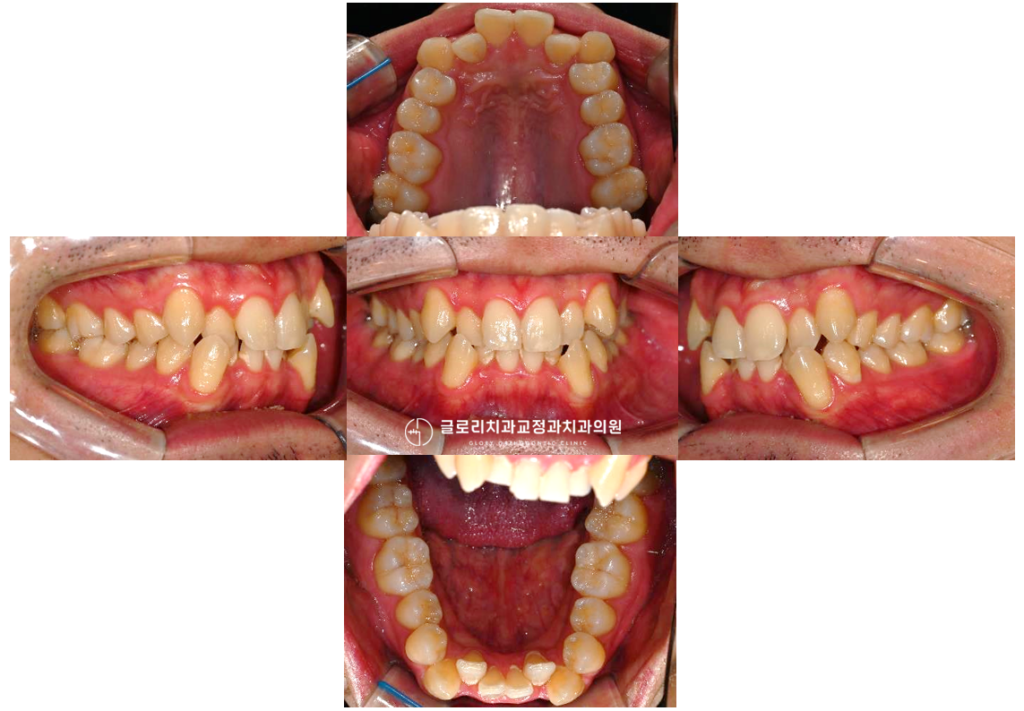
다음과 같이 치아가 겹쳐 있거나 틀어져 있으면 가지런한 치열을 가진 분들에 비해 일상적인 구강 관리에 어려움이 생깁니다.

칫솔모가 치아 사이사이 구석구석 닿기 어렵고 치실 사용도 쉽지 않아 음식물 찌꺼기가 남기 쉽습니다.
이렇게 쌓인 치태는 세균 번식의 온상이 되어 충치 발생 확률을 높이게 됩니다.
중요한 것은 잇몸 건강에도 영향을 미치게되는데, 치아 사이에 낀 음식물이 제대로 제거되지 않으면 잇몸에 염증이 생기고 이것이 반복되면 치주 질환으로 발전할 수 있습니다.
망우역 교정치과 에서도 이러한 이유로 교정 상담을 받으러 오시는 분들이 많습니다.
심미적인 목적뿐 아니라 구강 건강 개선을 위해 교정 치료를 고려하시는 경우입니다.
또한 치열이 고르지 않으면 위아래 치아가 제대로 맞물리지 않는 경우가 많습니다.
이를 부정교합이라고 하며 음식을 씹는 기능에 직접적인 영향을 줍니다.
특정 치아에만 힘이 집중되면 해당 치아가 과도하게 마모되거나 균열이 생길 위험이 있습니다.


또한 턱관절에 무리가 가서 통증이 나타나거나 입을 벌릴 때 소리가 나는 증상이 생길 수 있기 때문에 사전에 턱관절 검사도 필수적으로 진행합니다.
저작 효율이 떨어지면 음식을 충분히 씹지 못한 채 삼키게 되어 소화에도 부담을 줄 수 있습니다.
이처럼 치열 문제는 구강을 넘어 전신 건강과도 연결되어 있습니다.
발치교정이 필요한 상황
사실 모든 교정 치료에서 발치가 필요한 것은 아닙니다. (비발치 or 발치)
그러나 일부 경우에는 발치를 통해 원하는 결과를 얻을 수 있습니다.
대표적인 상황이 악궁 크기에 비해 치아가 상대적으로 큰 경우입니다.

악궁이란 치아가 배열되는 턱뼈의 아치 형태를 말합니다.
공간은 한정되어 있는데 치아 크기가 크면 모든 치아가 제자리에 배열될 수 없습니다.
이런 경우 일부 치아를 발치(보통 작은 어금니)하여 나머지 치아가 배열될 공간을 확보합니다.
이때 정밀 검사를 통해 발치 필요 여부를 신중하게 판단합니다.
심한 돌출입이나 치아 겹침이 심할때 발치 없이 교정을 진행하면 한계가 있습니다.
공간 확보 없이 치아를 움직이려고 하면 입이 더 튀어나와 보이는 결과가 나올 수 있습니다.

또한 치아 뿌리가 잇몸뼈 바깥으로 밀려나는 치근 노출 위험도 고려해야 합니다.
무리하게 비발치 교정을 고집하면 교정 후 안정성이 떨어지거나 예상치 못한 부작용이 생길 수 있습니다.
따라서 발치가 필요한 상황에서는 발치를 통해 충분한 공간을 만들고 안전하게 치아를 이동시키는 것이 바람직합니다.
발치 부위의 빈 공간은 교정 과정에서 자연스럽게 메워지게 됩니다.

클라리티 울트라의 특징과 장점
망우역 교정치과 에서 발치교정에 많이 활용하는 장치 중 하나가 클라리티 울트라(Clarity Ultra)입니다.
클라리티 울트라는 미국의 글로벌 기업 3M에서 개발한 자가결찰 세라믹 브라켓입니다.
*자가결찰 장치란 브라켓 자체에 와이어를 고정하는 구조가 내장된 방식입니다.
기존 방식에서는 고무줄이나 철사로 와이어를 브라켓에 묶어 고정했지만, 자가결찰 브라켓은 캡 또는 도어라고 불리는 뚜껑 구조로 와이어를 잡아주기 때문에 별도의 결찰 과정이 필요 없습니다.
이렇게 캡을 열고 닫는 것만으로 와이어 교체가 가능합니다.
절약된 시간만큼 담당 의료진이 환자의 교정 상태를 더 꼼꼼히 확인하고 필요한 조정에 집중할 수 있습니다.
이러한 효율성 덕분에 클라리티 울트라를 보편적으로 활용하고 있습니다.
진료 시간이 짧아진다는 것은 환자 입장에서도 체어타임 부담이 줄어드는 장점이 있습니다.

클라리티 울트라는 이러한 자가결찰 방식에 심미성까지 더한 장치입니다.
자가결찰 브라켓은 하나의 종류만 있는 것이 아니라 제조사별로 다양한 제품이 출시되어 있고 캡의 형태나 폭, 개폐 방식 등에서 차이가 있습니다.
일단 캡이 넓은 타입은 와이어를 더 넓은 면적으로 감싸기 때문에 특정 치아 이동에 유리할 수 있습니다.
(클라리티 울트라는 도어가 비교적 넓어 치아의 회전이나 토크 조절에 유리한 특성이 있습니다. 토크: 치아 뿌리의 각도를 조절하는 움직임으로 정밀한 치아 배열에 중요한 요소입니다.)
마지막으로, 교정 장치를 착용하면 눈에 띄는 것이 부담스러운 분들이 많습니다.
특히 직장 생활이나 대인 관계에서 금속 브라켓이 드러나는 것을 꺼리는 경우가 있습니다.
클라리티 울트라는 세라믹 재질로 제작되어 치아 색상과 유사합니다.

실제로 장치를 부착한 모습을 보면 브라켓이 치아와 자연스럽게 어우러져 멀리서 보면 잘 눈에 띄지 않습니다.
망우역 교정치과 를 찾아주시는 환자분들 중에도 교정하는 티가 최대한 덜 났으면 하는 분들이 이러한 심미적인 장치를 선호하십니다.

즉, 클라리티 울트라는 기능과 외관을 동시에 만족시키는 선택지가 될 수 있습니다.
브라켓의 크기도 착용 편의성에 영향을 줍니다.
부피가 큰 장치는 입술 안쪽을 밀어 입이 튀어나와 보이는 느낌을 줄 수 있습니다.
클라리티 울트라는 비교적 작은 부피로 설계되어 장치를 붙여도 입이 덜 튀어나와 보입니다.

또한 모서리가 둥글게 처리되어 있어 입안 점막에 닿았을 때 자극이 적습니다.
교정 초기에는 장치에 적응하는 기간이 필요한데 모서리가 날카로우면 구내염이 생기기 쉬운데, 클라리티 울트라의 부드러운 브라켓 모양는 이러한 불편을 줄이는 데 도움이 됩니다.
발치교정 후 기대할 수 있는 변화
발치교정이 마무리되면 가장 먼저 느끼는 것은 치열이 가지런해진 외관상의 변화입니다.
겹쳐 있거나 튀어나왔던 치아들이 자연스러운 곡선을 그리며 배열됩니다.
돌출입이었던 분들은 입이 들어간 느낌을 받습니다.

옆모습에서 코끝과 턱 끝을 잇는 선을 기준으로 입술이 안쪽으로 위치하게 되어 전체적인 안면 윤곽이 달라 보입니다.
교합도 크게 개선되는데, 위아래 치아가 제대로 맞물리면서 씹는 기능이 향상되고 특정 치아에 가해지던 부담이 분산됩니다.
구강 위생 관리도 수월해집니다.

치아 사이사이가 막히지 않아 칫솔질과 치실 사용이 쉬워지고 충치와 잇몸 질환 예방에 유리한 환경이 됩니다.
※단, 교정 장치를 제거한 후에도 유지 장치 착용이 필요합니다.
치아는 원래 위치로 돌아가려는 성질이 있어 유지 장치 없이 방치하면 재발할 수 있습니다.
또한 교정 완료 후에도 정기적인 검진을 통해 유지 상태를 확인하여 오랜 기간 노력한 결과를 유지하기 위해 사후 관리에도 신경 쓰는 것이 중요합니다.
심하게 삐뚤어진 치열로 고민이시라면 발치교정이 하나의 해결책이 될 수 있습니다.
처음에는 치아를 뽑는다는 것이 부담스럽게 느껴지지만 공간 확보를 통해 더 안정적인 결과를 얻을 수 있습니다.
특히 클라리티 울트라는 발치교정 과정에서 심미성과 기능성을 함께 고려하는 분들에게 적합한 장치입니다.
교정과 전문의에게 정밀 검사와 상담을 통해 본인에게 맞는 치료 계획을 확인해보시기 바랍니다.
지금까지 망우역 교정치과 였습니다 ! 🤩🤩🤩
- 치료기간: 23.10.28 ~ 25.11.28
