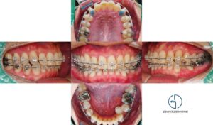
망우동 치과 치아 사이가 벌어지고 앞니가 튀어나와있어요. 골격성 2급 부정교합 개선 비발치 교정으로도 해결할 수 있을까

안녕하세요 망우동 치과 김정은 원장입니다. 치아 사이가 벌어져있고 앞니가 앞으로 나와있는 경우 보기에도 신경 쓰이지만 교정이 필요한 구조적인 문제가 동반되는 경우가 많습니다. 특히 위턱이 하악보다 상대적으로 앞에 위치하는골격성 2급 부정교합이…

Continue Reading망우동 치과 치아 사이가 벌어지고 앞니가 튀어나와있어요. 골격성 2급 부정교합 개선 비발치 교정으로도 해결할 수 있을까

중랑구 교정치과 골격성 3급 부정교합, MARPE 상악 확장장치를 통한 개선

안녕하세요, 중랑구 교정치과 김정은원장입니다. 24.10.18 정면에서 보았을 때 턱의 위치가 옆으로 기울어져 보이거나 위아래 앞니의 중심선이 맞지 않는 느낌이 든다면 신경이 쓰일 수 있습니다. 이러한 안모 비대칭은 단순한 배열의 문제가…

Continue Reading중랑구 교정치과 골격성 3급 부정교합, MARPE 상악 확장장치를 통한 개선

망우동 치과 골격성 2급부정교합: 개방교합 비발치 교정으로도 개선가능할까?

안녕하세요, 망우동 치과 김정은원장입니다. 2급부정교합이란 상악이 하악에 비해 전방으로돌출되거나 하악이 상대적으로 후방에 위치한 상태를 말합니다. 이때 단순히 배열의 문제가 아니라 턱뼈 자체의 위치 관계에서비롯된 경우 이를 골격성 2급 부정교합으로 분류할…

Continue Reading망우동 치과 골격성 2급부정교합: 개방교합 비발치 교정으로도 개선가능할까?

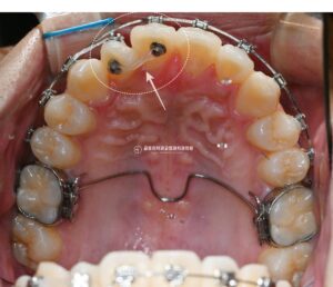
상봉동 교정치과 총생과 정중선 편위, 상악골 확장장치를 동반한 비발치 교정

안녕하세요.상봉동 교정치과 김정은 원장입니다. 오늘은 총생과 정중선 편위가 동반된 부정교합을상악골 확장장치를 활용한 비발치 교정으로 치료한 케이스를 소개드리려 합니다. 총생은 치아가 자랄 공간이 부족해 치열이 겹치거나 틀어지는 상태를 말하는데보통 전치부에서 두드러지게…

Continue Reading상봉동 교정치과 총생과 정중선 편위, 상악골 확장장치를 동반한 비발치 교정

중화동 치과 삐뚤어진 앞니, 윗니만 치료하고싶어요, 미니튜브를 이용한 상악 부분교정

안녕하세요, 중화동 치과 김정은 원장입니다. 교정 치료라고 하면 흔히 위아래 치아 전체에 장치를 붙이고오랜 시간 치료하는 모습을 떠올리기 쉽습니다. 하지만 교정은 치아 상태와 목적에 따라 전악 교정이 필요한 경우도 있고일부…

Continue Reading중화동 치과 삐뚤어진 앞니, 윗니만 치료하고싶어요, 미니튜브를 이용한 상악 부분교정

중랑구 교정치과 성장기 교정의 중요성: 비발치 교정을 통한 총생 개선

안녕하세요, 중랑구 교정치과 김정은 원장입니다. 아이들의 치아는 성장과 함께 계속 변화하기 때문에 어린 시기에 나타나는치열 문제를 어떻게 관리하느냐에 따라 향후 구강 건강의 방향이 달라질 수 있습니다. 특히나 성장기에는 턱뼈가 아직…

Continue Reading중랑구 교정치과 성장기 교정의 중요성: 비발치 교정을 통한 총생 개선

양원역 교정치과 깊게 물리는 과개교합과 심한 총생, 비발치 교정으로 개선할 수 있을까?

안녕하세요, 양원역 교정치과 김정은 원장입니다. 부정교합은 위아래 턱의 관계에서 비롯되는 골격성 문제인지, 아니면 치아 배열위치의 문제인 치성원인인지에 따라 진단과 치료방향은 달라질 수 있습니다. 쉽게 말하면 턱뼈 자체의 크기나 위치가 문제인지치아가…

Continue Reading양원역 교정치과 깊게 물리는 과개교합과 심한 총생, 비발치 교정으로 개선할 수 있을까?

상봉동 교정치과 전치부 총생 비발치 인비절라인(투명교정)으로 가능한 이유

안녕하세요, 상봉동 교정치과 김정은 원장입니다. 치열이 가지런하지 않고 앞니가 겹쳐 보이는 전치부총생은 기능적인 문제뿐 아니라심미적인 부분과도 밀접하게 연결됩니다. 그렇기 때문에 웃을 때 치아가 고르지 않아 보이거나 사진을 찍을 때 치열이…

Continue Reading상봉동 교정치과 전치부 총생 비발치 인비절라인(투명교정)으로 가능한 이유

망우동 교정치과 앞니가 안 닿는 개방교합, 비발치 인비절라인 투명 교정 과정

안녕하세요, 망우동 교정치과 김정은 원장입니다:) 어금니는 Class I, 치성 1급 형태로 잘 물리지만유독 앞니 부분만 공간이 떠 있는 상태인 분들이 있습니다. 이를 '개방교합'(opne bite)이라고 합니다. 개방교합이 있으면 앞니로 음식을 끊어먹기가…

Continue Reading망우동 교정치과 앞니가 안 닿는 개방교합, 비발치 인비절라인 투명 교정 과정