양원역 교정치과 성장기 어린이 반대교합: 프랑켈 장치를 통한 1차교정

안녕하세요, 양원역 교정치과 김정은 원장입니다. 24.04.06 아이를 키우다 보면 어느 순간 앞니가 왜 이렇게 물리지?하고 걱정이 되실 때가 있을 겁니다. 특히나 유치가 빠지고 영구치가 하나씩 올라오는 시기, 아이의 치아 배열이눈에…

Continue Reading양원역 교정치과 성장기 어린이 반대교합: 프랑켈 장치를 통한 1차교정

중랑구 교정치과 성장기 교정의 중요성: 비발치 교정을 통한 총생 개선

안녕하세요, 중랑구 교정치과 김정은 원장입니다. 아이들의 치아는 성장과 함께 계속 변화하기 때문에 어린 시기에 나타나는치열 문제를 어떻게 관리하느냐에 따라 향후 구강 건강의 방향이 달라질 수 있습니다. 특히나 성장기에는 턱뼈가 아직…

Continue Reading중랑구 교정치과 성장기 교정의 중요성: 비발치 교정을 통한 총생 개선
Read more about the article 초등학생 맹출이상, 망우동 교정치과 인비절라인 퍼스트로 관리하는 방법
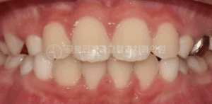
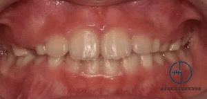
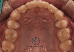
망우동 교정치과 초등학생 1차교정 인비절라인 퍼스트

초등학생 맹출이상, 망우동 교정치과 인비절라인 퍼스트로 관리하는 방법

안녕하세요, 망우동 교정치과 김정은 원장입니다 ~😊😊😊 아이의 유치가 빠지고 영구치가 올라오는 시기는 성장 과정에서 중요한 전환점입니다. 24.12.26 이 시기에 치아가 정상적인 위치와 방향으로 나오지 못하는 현상을 맹출이상이라 하는데요. 망우동 교정치과에서는…

Continue Reading초등학생 맹출이상, 망우동 교정치과 인비절라인 퍼스트로 관리하는 방법

중랑구 교정치과 인비절라인 퍼스트, 우리 아이 삐뚤빼뚤한 치아도 어린이교정으로 개선될 수 있을까요?

안녕하세요, 중랑구 교정치과 김정은 원장입니다. 25.01.25 아이의 치아가 고르지 않거나 돌출입이 관찰되기 시작하면 '교정치료를 언제 시작해야될까' 하는 걱정과 함께 부모님 마음이 조급해지실 수 있습니다. 영구치가 다 나올 때까지 기다려야 하는지,…

Continue Reading중랑구 교정치과 인비절라인 퍼스트, 우리 아이 삐뚤빼뚤한 치아도 어린이교정으로 개선될 수 있을까요?

어린이 덧니교정, 상악골 확장 으로 시작하는 1차 교정치료 계획 (ft. 하악 확장장치도 있나요?)

겨울방학이 시작되면서 교정 상담을 받으러오는 어린이 환자가 부쩍 늘어나는 시기입니다. 24.01.18 아이가 활짝 웃을 때 아직 치아가 제대로 나오지 않았거나 삐뚤빼뚤한 앞니가 보인다면 부모님 마음이 편치 않습니다. 또한 지금 교정을…

Continue Reading어린이 덧니교정, 상악골 확장 으로 시작하는 1차 교정치료 계획 (ft. 하악 확장장치도 있나요?)

양원역 교정치과 알려주는 송곳니 매복치와 돌출입 동시 해결하기

안녕하세요 양원역 교정치과 김정은 원장입니다 ~ 자녀의 영구치가 모두 올라와야 할 시기인데 유독 송곳니만 보이지 않는다면 단순히 늦게 나오는 것이 아닐 수 있습니다. 이런 경우 매복치일 가능성을 염두에 두고 정밀한…

Continue Reading양원역 교정치과 알려주는 송곳니 매복치와 돌출입 동시 해결하기

방치하면 주걱턱 될 수 있습니다. 중랑구 교정치과 어린이 반대교합 에 사용되는 2×4 장치

안녕하세요 중랑구 교정치과 김정은 원장입니다. ^^ "우리 아이 아랫니가 윗니보다 더 앞에 나와 있어요." 성장기 자녀를 둔 부모님들께서 흔히 우려하는 문제 중 하나입니다. 이는 단순히 심미적인 문제를 넘어, 아이의 턱…

Continue Reading방치하면 주걱턱 될 수 있습니다. 중랑구 교정치과 어린이 반대교합 에 사용되는 2×4 장치

망우역 교정치과 에서 소개하는 인비절라인 퍼스트 장점은!?

안녕하세요, 망우역 교정치과 김정은 원장입니다. "우리 아이 치아가 삐뚤삐뚤한데, 아직 어려서 교정하기엔 이른 거 아닐까요?" 성장기 자녀를 둔 부모님들께서 많이 하시는 질문 중 하나죠 ㅎㅎ 특히 유치와 영구치가 함께 있는…

Continue Reading망우역 교정치과 에서 소개하는 인비절라인 퍼스트 장점은!?

망우동 교정치과 어린이 반대교합 1차교정? (페이스마스크+인비절라인퍼스트 활용)

안녕하세요, 망우동 교정치과 김정은 원장입니다.😁 "아이가 웃을 때 아래 앞니 가 윗 앞니를 거꾸로 물어요. 자라면서 자연스럽게 좋아질 수도 있나요? " 어린 자녀를 둔 부모님들이 흔히 호소하는 고민 중 하나입니다.…

Continue Reading망우동 교정치과 어린이 반대교합 1차교정? (페이스마스크+인비절라인퍼스트 활용)