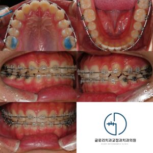
망우동 치과 정중선 편위 및 삐뚤어진 치열, 가지런한 배열을 회복하기 위한 발치 교정

안녕하세요 망우동 치과 김정은 원장입니다. 치아가 삐뚤어 교정 상담을 받게 되면 많은 분들이먼저 궁금해하시는 것이 바로 비발치 인지 발치 교정인지에 대한 부분입니다. 23.07.18 가능하다면 치아를 뽑지않고 배열만 정리하는 비발치 방식을…

Continue Reading망우동 치과 정중선 편위 및 삐뚤어진 치열, 가지런한 배열을 회복하기 위한 발치 교정

중랑구 교정치과 성장기 교정의 중요성: 비발치 교정을 통한 총생 개선

안녕하세요, 중랑구 교정치과 김정은 원장입니다. 아이들의 치아는 성장과 함께 계속 변화하기 때문에 어린 시기에 나타나는치열 문제를 어떻게 관리하느냐에 따라 향후 구강 건강의 방향이 달라질 수 있습니다. 특히나 성장기에는 턱뼈가 아직…

Continue Reading중랑구 교정치과 성장기 교정의 중요성: 비발치 교정을 통한 총생 개선

상봉동 교정치과 전치부 총생 비발치 인비절라인(투명교정)으로 가능한 이유

안녕하세요, 상봉동 교정치과 김정은 원장입니다. 치열이 가지런하지 않고 앞니가 겹쳐 보이는 전치부총생은 기능적인 문제뿐 아니라심미적인 부분과도 밀접하게 연결됩니다. 그렇기 때문에 웃을 때 치아가 고르지 않아 보이거나 사진을 찍을 때 치열이…

Continue Reading상봉동 교정치과 전치부 총생 비발치 인비절라인(투명교정)으로 가능한 이유

상봉역 교정치과 앞니 벌어짐 발치 교정 및 왜소치 라미네이트 과정

안녕하세요, 상봉역 교정치과 김정은 원장입니다. 왜소치에 대해 들어보신적 있으신가요? 왜소치는 말그대로 정상적인 치아크기보다 작게 형성된 이를 말합니다, 특히 앞니 부위에서 흔히 나타나며 치아 사이 공간이 남거나 비율이 어색해보이는 심미적 고민으로도…

Continue Reading상봉역 교정치과 앞니 벌어짐 발치 교정 및 왜소치 라미네이트 과정

망우동 교정 치과 전치부 총생과 과개교합으로 돌출된 얼굴, 발치교정을 통한 개선 과정 알아봅시다.

안녕하세요, 망우동 교정 치과 김정은 원장입니다. 전치부는 대화를 하거나 웃을 때 먼저 시선이 닿는 부위로치아의 배열 하남나으로도 얼굴 인상과 심미적 이미지에큰 영향을 주게 됩니다. 특히 앞니가 겹쳐 있거나 깊게 물리는…

Continue Reading망우동 교정 치과 전치부 총생과 과개교합으로 돌출된 얼굴, 발치교정을 통한 개선 과정 알아봅시다.

|상봉역 교정치과|앞니 벌어짐과 뻐드러짐, 동시에 해결하는 교정 방법

안녕하세요, 상봉역 교정치과 김정은 원장입니다. ^^ 연말이 다가오면서 송년회나 모임 자리에서 사진을 찍을 일이 부쩍 늘어납니다. 거울 속에 비친 모습이나 누군가 찍어준 사진을 보다 보면 유독 앞니 문제가 눈에 들어올…

Continue Reading|상봉역 교정치과|앞니 벌어짐과 뻐드러짐, 동시에 해결하는 교정 방법

망우역 글로리 치과 치아 사이 공간 (spacing)을 모으는 치료 증례

망우역 글로리 치과 김정은 원장입니다. 이번 포스팅은 치아 사이 공간 때문에 고민인 분들을 위한 교정치료에 대해 소개하겠습니다. 치아 사이의 공간 치아가 맹출할 공간이 부족해서 삐뚤빼뚤한 사람도 있지만, 반대로 사이 공간…

Continue Reading망우역 글로리 치과 치아 사이 공간 (spacing)을 모으는 치료 증례

골격성 3급 부정교합으로 인한 앞니 반대교합, 상봉동 교정치과 비발치 교정으로 해결한 사례

안녕하세요, 상봉동 교정치과 김정은 원장입니다. 거울을 보며 웃을 때 아래 앞니가 위 앞니보다 앞으로 나와 보이거나, 옆에서 본 얼굴 모습이 아래턱이 돌출되어 보인다면 한 번쯤 고민해보신 적이 있으실 겁니다. 이렇게…

Continue Reading골격성 3급 부정교합으로 인한 앞니 반대교합, 상봉동 교정치과 비발치 교정으로 해결한 사례

상봉역 교정치과 실제사례. 위아랫니가 뜨는 개방교합, 교정으로 해결가능할까?

안녕하세요 교정과 전문의 김정은 원장입니다. 최근, 음식을 씹을 때 앞니가 닿지 않아 불편함을 느끼거나, 거울을 보며 웃을 때 위아랫니 사이로 벌어진 틈이 신경 쓰인 적이 있으신가요? 마치 문이 제대로 닫히지…

Continue Reading상봉역 교정치과 실제사례. 위아랫니가 뜨는 개방교합, 교정으로 해결가능할까?