망우역 글로리 치과 치아 사이 공간 (spacing)을 모으는 치료 증례

  • Post category:미분류
You are currently viewing 망우역 글로리 치과 치아 사이 공간 (spacing)을 모으는 치료 증례

망우역 글로리 치과 김정은 원장입니다.

이번 포스팅은 치아 사이 공간 때문에 고민인 분들을 위한 교정치료에 대해 소개하겠습니다.

치아 사이의 공간

치아가 맹출할 공간이 부족해서 삐뚤빼뚤한 사람도 있지만,

반대로 사이 공간 때문에 내원하는 분들도 많이 있습니다.

정상 교합의 조건중에 하나로

사이가 벌어지지 않고 윗니는 윗니끼리, 아랫니는 아랫니끼리

공간이 없이 닿아 있어야 있어야 합니다.

앞니 공간이라면 일단 외모상 보기 좋지 않습니다.

또한 음식물이 잘 끼이게 되어 구강 위생 관리에도 좋지 않습니다.

결과적으로는 충치가 잘 생길 수 있고, 치아를 둘러싸는 잇몸이 약해지기도 합니다.

치료 증례

40대 여성분으로, 너무 치료가 늦었을까봐 걱정이라 하시면서 내원하셨습니다.

치아 사이가 벌어져있으면 복나간다는 소리를 자주 듣는다면서 이번에는 꼭 치료하고 싶다고 하시면서요^^

초진시의 상태를 살펴보겠습니다.

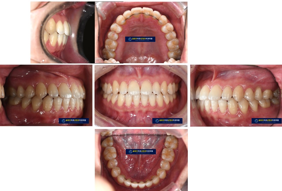
1) 정면/측면 사진

사진에서 보면 곳곳에 공간이 있는 것을 알 수 있습니다.

어금니쪽 관계는 1급 관계로 정상입니다.

2) 교합면 사진

교합면에서도 어금니쪽은 촘촘하게 치아들이 붙어있지만

앞니쪽은 공간이 많이 있는 것을 알 수 있습니다.

3) 엑스레이 검사

측모두부방사선사진 상 치아 돌출도가 꽤 있어 보이지만, 발치가 꼭 필요할 정도로 심한 편은 아닙니다.

환자분은 돌출감을 느끼지 못한다고 하였습니다.

파노라마 상에서 아래 오른쪽에 사랑니가 있으며, 앞니 사이에 공간이 보입니다.

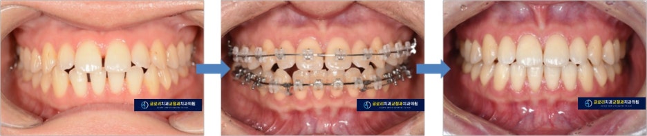
배열 상의 문제는 크지 않았기 때문에 간단한 배열 후 공간 모으기 과정을 통해

1년 이내의 교정 치료 기간으로 치료를 마무리 하였습니다.

예상했던 것 보다 기간도 짧고 공간이 잘 닫혀서

환자분께서 매우 만족하셨습니다.

교정치료 후에는 활짝 웃는 게 가능해졌다고 하시는 모습에 저도 기분이 좋았습니다^^

이렇게 오랫동안 존재하던 공간을 닫은 경우는 지속적인 유지 관리가 매우 중요합니다.

다시 공간이 생기는 방향으로 되돌아갈 수 있기 때문입니다.

(물론 모든 교정 치료는 유지 관리가 중요합니다.^^)

특히 혀내밀기 습관이 있는 환자의 경우, 습관 개선을 위한 노력도 필요합니다.

다음 사진과 같이 치아 안쪽으로 보이지 않게 유지장치를 부착하여

공간이 재발하지 않도록 유지 관리를 잘 해야 합니다.​

이와 관련하여 문의할 내용은

교정과 전문의 원장이

진단부터 사후관리까지 함께하는

망우역 글로리 치과 로 연락 남겨주시기 바랍니다.

감사합니다.