안녕하세요, 상봉역 교정치과 김정은 원장입니다. ^^
연말이 다가오면서 송년회나 모임 자리에서 사진을 찍을 일이 부쩍 늘어납니다.
거울 속에 비친 모습이나 누군가 찍어준 사진을 보다 보면 유독 앞니 문제가 눈에 들어올 때가 있습니다.

또한, 치아 사이가 벌어져 보이거나 앞으로 튀어나와 보인다면 활짝 웃는 일이 망설여지기도 합니다.
오늘은 상봉역 교정치과 에서 이처럼 앞니 벌어짐과 뻐드러짐이 함께 나타나는 경우에 대해 설명드리려합니다.
두 가지 문제가 동시에 존재할 때, 치아교정을 통해 어떻게 개선할 수 있는지 차근차근 설명해 보겠습니다.
1. 앞니 벌어짐과 뻐드러짐이 함께 나타난 경우?

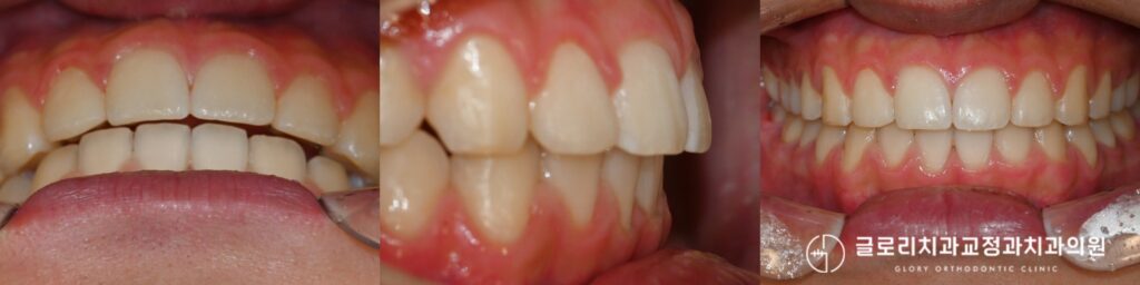
위 앞니가 전방으로 뻐드러져 있으면서 돌출되고 앞니 사이로는 공간이 관찰되는 모습입니다.

특히 다음과 같이 앞니 사이가 벌어져 있으면 미소를 지을때 자신감이 떨어질 수 있습니다.

또한 위아래 앞니 사이의 수평적 거리가 멀어지면서 오버젯(overjet)이라고 부르는 수평피개량이 커지는 것도 함께 관찰됩니다.
2. 상봉역 교정치과 진단 시 확인하는 주요 요소들
상봉역 교정치과 에서는 이러한 복합적인 문제를 진단할 때 몇 가지 핵심 요소를 확인합니다.
1.치아의 경사도와 각도

측모 방사선 사진을 통해 앞니가 얼마나 앞으로 기울어져 있는지 여러 계측점들을 기준으로 측정합니다.
상악 전치부의 각도가 정상 범위를 벗어나 있다면 후방 이동이 필요할 수 있습니다.
2. 측면 얼굴 분석

옆모습 사진에서 코끝과 턱끝을 이은 선을 기준으로 하여 입술의 돌출감을 평가합니다
돌출감이 심하지 않다면 비발치 교정을 우선으로 고려합니다.
3. 성장판 검사

성장 중인 10대 환자들의 경우, 뼈 성장 단계와 남은 성장량을 파악하기 위해 교정 상담 과정에서 성장판 검사를 시행합니다.
*대개 초등 고학년(만 10–11세 전후)부터 사춘기 피크 전·후(여아는 초등 고학년~중1, 남아는 중1~중2 무렵)
이는 앞으로의 치료 계획에도 영향을 미치므로 교정 계획 수립 시 중요하게 고려됩니다.
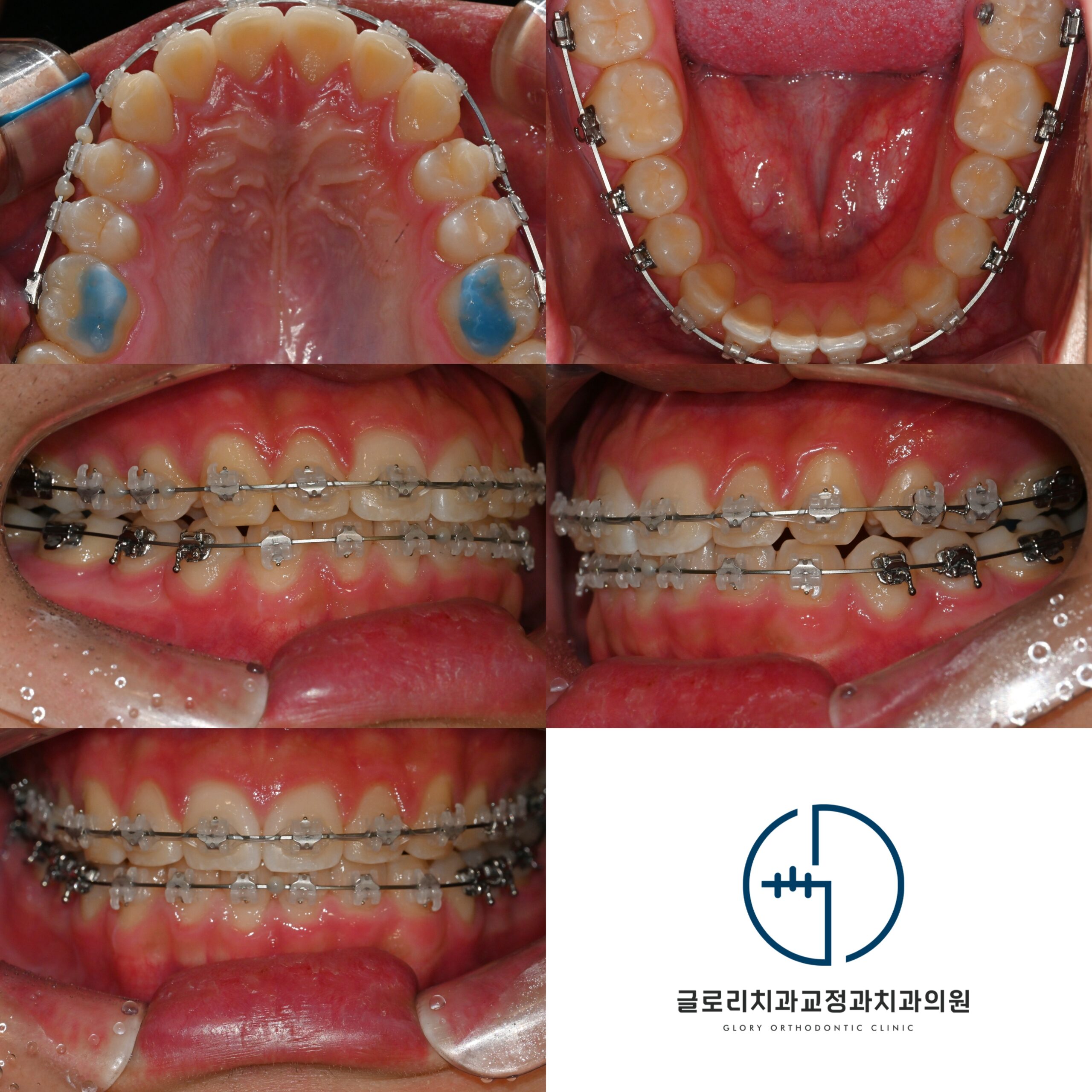
3. 비발치 교정을 통한 개선 과정
앞니 벌어짐과 뻐드러짐이 함께 존재하는 경우라도 입술 돌출감이 두드러지지 않는다면 발치 없이 교정이 가능한 경우가 있습니다.
상봉역 교정치과 에서 앞서 설명드린것 처럼, 치아 배열 상태와 골격 등 여러 조건을 분석하여 비발치교정 가능 여부를 판단합니다.
비발치로 진행하는 경우 단순히 틈을 닫는 데 그치지 않고 치아가 움직이는 방향과 높이를 정밀하게 조절합니다.

앞니끼리의 균형을 맞추면서 상악 전치부를 후방으로 이동시키면 과도했던 수평피개가 정상 범위로 개선되기 시작합니다.
이 과정에서 치열 전체의 조화를 고려하는 것이 핵심입니다.

4. 교정 후 기대할 수 있는 변화

상악 전치부가 후방으로 이동하면 앞니 사이 틈이 자연스럽게 닫히고 각도도 정상범주로 자리잡게 됩니다.
웃을 때 보이는 치열 선이 훨씬 자연스럽게 이어지면서 미소의 인상이 달라질 수 있습니다.

수평피개가 정상화되면 위아래 앞니가 적절한 거리에서 맞물리게 되어 기능적인 측면에서도 안정감이 높아집니다.
음식을 베어 물 때나 발음을 할 때도 앞니의 역할이 원활해질 수 있습니다.

다만 교정 후에도 유지 장치(가철식/고정식) 관리와 정기 점검이 중요하다는 점을 기억해야 합니다.
👀 복합적인 문제일수록 꼼꼼한 계획이 필요합니다!
앞니 벌어짐과 뻐드러짐이 함께 있는 경우에는 단일 증상보다 고려할 요소가 많습니다.
치열 전체의 조화를 염두에 두고 세밀하게 계획을 세워야 안정적인 결과로 이어집니다.
앞니 사이 틈이나 튀어나온 치열 때문에 고민이 있으시다면 교정을 통해 전체적인 조화를 맞춰보는 것도 방법입니다.
사진 속 미소가 어색하게 느껴지거나 치열 때문에 자신감이 줄어든다면 교정과 전문의와의 상담을 통해 현재 상태를 확인해 보시기 바랍니다.
상봉역 교정치과 김정은 원장이었습니다. 감사합니다~!
치료기간 : 24.08.12 ~ 25.07.11
