한곳만 틀어진 앞니, 부분교정으로 개선할 수 있을까요? 망우동치과

저희 글로리에서는 효율적인 치료로 좋은 결과를 안겨드리기 위해 환자분들의 목소리에 귀 기울이고 끊임없는 연구와 공부로 진료를 돕고 있습니다. ​ 그중 최소 기간 및 비용으로 문제를 개선할 수 있는 '부분교정'에 대한…

Continue Reading한곳만 틀어진 앞니, 부분교정으로 개선할 수 있을까요? 망우동치과

“앞니가 오목하게 들어가 있어요.” 중랑구 교정치과 중년 부분 개선으로 4개월 만에 고른 배열 완성

안녕하세요, 중랑구 교정치과 김정은 원장입니다. ​ 치열 개선에 대한 문턱이 이전에 비해 많이 낮아진 것만 같습니다. 환자분들의 인식 변화에서 느낄 수 있는데요ㅎㅎ ​ 상담을 위해 내원하신 분들과 대화를 나눠보면, "부분만…

Continue Reading“앞니가 오목하게 들어가 있어요.” 중랑구 교정치과 중년 부분 개선으로 4개월 만에 고른 배열 완성

망우동 치과 고등학생 치아교정 케이스 앞니 돌출 치아배열 가지런하게 개선

『안녕하십니까^^ 망우동 치과 글로리의 김정은 대표원장입니다.』 아이들은 점점 커가면서 유치가 탈락하게 되고, 새로운 영구치가 나옴을 거듭하면서 턱의 성장도 같이 진행이 되는데요. ​ 성장 변화가 큰 기간이 바로 초등학생~고등학생 사이입니다. ​…

Continue Reading망우동 치과 고등학생 치아교정 케이스 앞니 돌출 치아배열 가지런하게 개선

망우동 치과 MTA 미니 튜브 앞니 급속 부분으로 치아교정 재발 개선해 드렸던 케이스

반갑습니다. 글로리 망우동 치과 의 대표원장 김정은입니다. ​ 바로 이전의 글에서도 재발에 대한 내용을 다뤄보았는데요. ​ 지난번 인비절라인에 이어서 오늘은 미니 튜브를 활용한 MTA 앞니 부분 개선 케이스를 설명해 드리겠습니다.…

Continue Reading망우동 치과 MTA 미니 튜브 앞니 급속 부분으로 치아교정 재발 개선해 드렸던 케이스

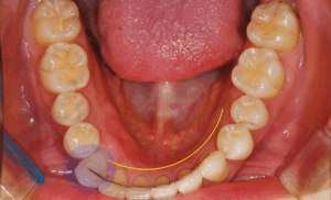
치아 정출로 인한 어금니 부분교정 중화동 치과 에서 도와드린 임플란트 병행 함입 과정은?

『임플란트 치아교정 두 가지 같이 진행할 수 있나요?』 가끔 저희 중화동 치과 로 이러한 문의를 주시는 환자들께서 계십니다. ​ 어떤 치료를 먼저 진행하는 것이 맞을지 고민이 많으실 텐데요. ​ 오늘…

Continue Reading치아 정출로 인한 어금니 부분교정 중화동 치과 에서 도와드린 임플란트 병행 함입 과정은?

티 안 나는 세라핀 투명교정, 어떤 장점을 갖고 있을지 교정치과 에서 알려드릴게요

정말 치료를 하고 있는지 모를 정도로 심미적이며 티 안나는 교정장치가 많이 나왔습니다. ​ 다들 투명교정하면 떠오르는 장치는 '인비절라인' 일거라 생각합니다. ​ 그런데 오늘은 조금 다른 장치를 설명드려볼까 합니다. ​ 바로…

Continue Reading티 안 나는 세라핀 투명교정, 어떤 장점을 갖고 있을지 교정치과 에서 알려드릴게요

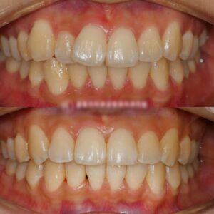
앞니 전치부 아랫니 틀어짐 부분교정 치료로 충분히 개선 가능합니다

『"윗니 혹은 아랫니만 부분 교정이 가능할까요?"』 이와 같은 궁금증은 제가 상담 때도 정말 많이 받는 질문 중 하나입니다. 틀어짐이 심하지 않은 경우라면 '부분교정'을 통해 간편하고 빠르게 치료해 볼 수 있습니다.…

Continue Reading앞니 전치부 아랫니 틀어짐 부분교정 치료로 충분히 개선 가능합니다

임플란트 식립 전, 공간 확보를 위한 치아교정 사례

『임플란트를 해야되는데 공간이 부족하다면?』 어금니를 발치하고 오랜기간 방치하면 주변 치아들이 빈자리 쪽으로 기울게 됩니다. ​ 이런 경우 임플란트 보철물을 올리기에 공간이 부족하여 수술에 어려움을 겪게되죠.. 『이럴 때는 치아 이동을 목적으로…

Continue Reading임플란트 식립 전, 공간 확보를 위한 치아교정 사례