망우동 치과 MTA 미니 튜브 앞니 급속 부분으로 치아교정 재발 개선해 드렸던 케이스

  • Post category:미분류
You are currently viewing 망우동 치과 MTA 미니 튜브 앞니 급속 부분으로 치아교정 재발 개선해 드렸던 케이스

반갑습니다.

글로리 망우동 치과 의

대표원장 김정은입니다.

바로 이전의 글에서도 재발에 대한

내용을 다뤄보았는데요.

1. 치아교정 재발

3년 전 타원에서 치료를 마치신 뒤

치열이 다시 틀어진 것 같아

저희 망우동 치과 로 찾아오셨습니다.

진료 전 간단한 문진표 작성을 통해

어떤 곳이 문제이며 치아교정 재발이

왜 이루어졌는지 미리 파악을 합니다.

이 환자의 경우에는 이전 진료를 완료하신 뒤

전치부 뒤쪽에는 장치를 부착했지만

뺐다 꼈다 하여 잠을 자는 동안 끼고 있는

가철성 유지 장치인 retainer는 따로

사용을 하지 않으셨다고 하시는데요.

치료를 완료하신 후에 재발 방지를 위해

만들어드리는 장치들은

꼭 알맞게 착용을 해주시는 것을 권해드리지만,


구내를 살펴 정확한 문제점을

살펴보겠습니다.

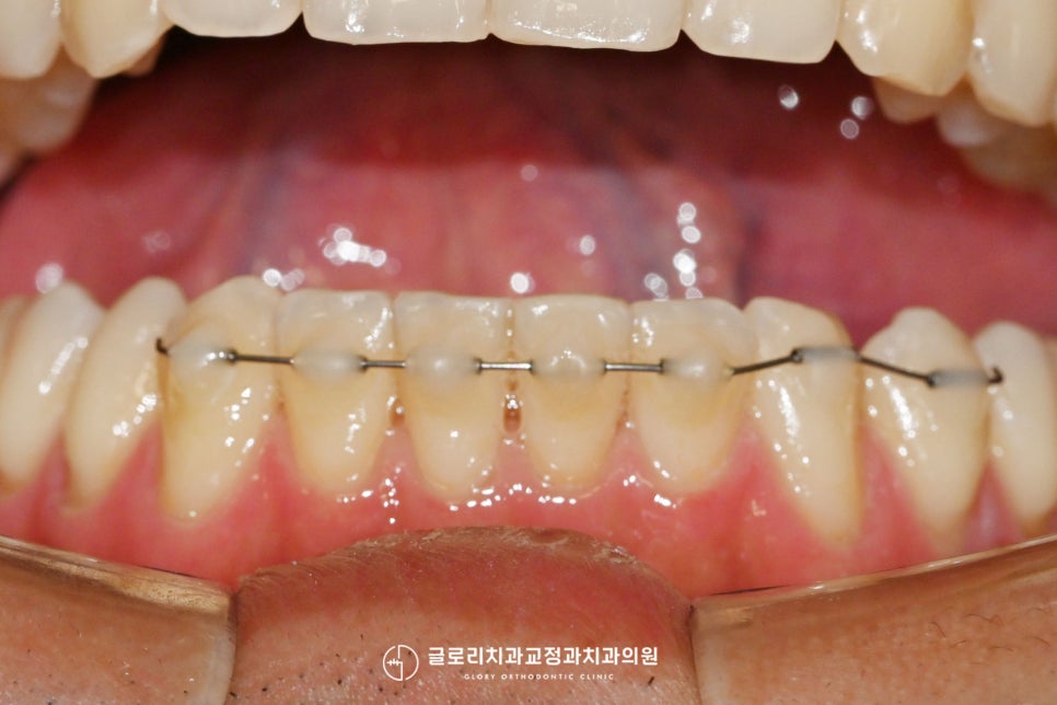
현재 전치부 뒤쪽으로는 이렇게

유지 장치를 부착해두셨는데요.

부착한 이후에 한 번의 철사 끊어짐이 있어

일부는 연결하지 않은 채

사용을 이어가고 계셨습니다.

정면에서 보았을 때 전체 배열에 대한 문제보다는

부분적으로 개선할 곳들이 있었는데요.

완료를 하신 이후에 한동안은 잘 몰랐으나

시간이 지나니 점점 이곳들만

눈에 띄어 거슬리게 되었다고 하셨습니다.

2. 앞니 급속 교정

배열 전체나 복합적인 문제들이 아니라면

망우동 치과 에서 진행하는 여러 방법에서

앞니 급속 교정을 권해드립니다.

앞니 급속으로 진행할 수 있는

MTA 방법은 작은 튜브를 활용해

치아를 이동시키는 방식으로

신속한 결과를 볼 수 있다는 점이 있습니다.

작은 미니 튜브형 브라켓을

전치부쪽에 부착해 심미성이 우수하며

원통형으로 생긴 작은 브라켓으로

철사에 찔릴 위험도 적습니다.

얼마나 걸리나요?

보통 케이스에 따라 달라지지만

6~10주 정도로 짧게 할 수 있는데요.

외관으로 잘 드러나지 않고

비용 면에서도 저렴한 편에 속하며

관리도 쉬운 편이기에

치료로 인기가 좋은 방법입니다.

보통 몇 년씩 걸리는 방법과 비교해

급속으로 진행되기 때문에

환자가 느끼는 피로도도 적으며

관리에 대한 편의도 좋은 편인데요.

『✅ 특히나 전치부쪽이 삐뚤어지거나

살짝 돌출되어 치료받길 원하거나,

✅ 심미성이 중요하신 분,

✅ 치아 삭제는 꺼려져

다른 보철로 수복하는 것을 원치 않을 때

주로 사용을 권해드립니다.』

개개인에 따라 가능 여부가 달라지기 때문에

정확한 진단은 망우동 치과 에서

도와드리겠습니다.

3. 진행 과정

이렇게 망우동 치과 에서 붙여드린

MTA의 모습을 보실 수 있는데요.

이전에 자주 활용되었던 금속 브라켓 방식과

비교해 보면 브라켓 크기부터 작게 만들어져

아예 다른 느낌으로 훨씬 더 심미성이 우수한데요.

부드러운 표면을 가지고 있어

구강 내 다른 조직들이 다칠 위험이 적으며

불편한 감각이 생길 가능성도 적은 편으로

아직은 이렇게 배열이 잘 맞지 않은 느낌이라

조금 더 시간을 두어 지켜보아야겠습니다.

어떻게 변했을지

바로 확인해 볼까요^^

망우동 치과 에서 2달에 걸친 과정이

끝이 났는데요.

환자께서 개선을 원하셨던 부분이

MTA를 통해 잘 치료가 되었습니다.

앞니 급속 교정을 통해 신속하게 시행되어

시간도 단축되고 불편감도 적은 편이라

생활하는 데에도 큰 문제가 없어

좋았다고 말씀해 주셨습니다.


이와 관련된 여러 치료 사례들은

아래 링크에서도 확인하실 수 있으며

추가 궁금한 사항들은 아래 댓글 남겨주시면

친절히 답변드리겠습니다^^

오늘의 글은 여기서 마칩니다.

감사합니다.

치료 기간: 23.05.25~24.08.22