저희 글로리에서는 효율적인 치료로
좋은 결과를 안겨드리기 위해
환자분들의 목소리에 귀 기울이고
끊임없는 연구와 공부로 진료를 돕고 있습니다.
그중 최소 기간 및 비용으로
문제를 개선할 수 있는 ‘부분교정’에 대한
관심이 나날이 늘어나고 있는데요.
마침 오늘 망우동치과 에서
소개해 드릴 케이스 또한
단 3개월 만에 문제를 개선했던
부분교정 진행 과정입니다.
『저 앞니만 교정할 수 있을까요?』
앞니 한곳이 틀어졌다며
망우동치과 에 오셨던 환자분의
진료 과정입니다.


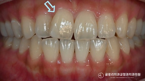
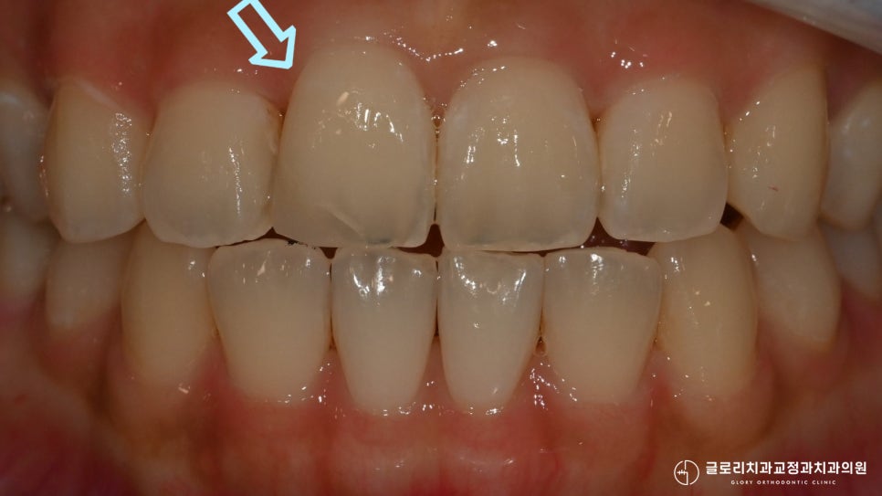
초진 사진을 보면 우측 상악 앞니 한 곳이
옆으로 틀어져 있는 듯한 모습이 관찰되었는데요.
이외에는 눈에 띄는 문제를 찾을 수 없을 정도로
정중선도 잘 맞고 있었으며
교합도 정상 범주에 속해 올바르게 맞물리고 있었죠.
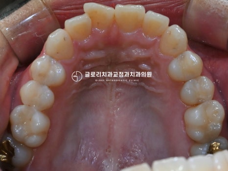
수직 피개량이 약간 아쉽긴 했지만
다행히 음식을 끊거나 생활을 할 때
불편함이 없다는 말씀을 해주셨습니다.


어금니 교합도 1치대 2치대로 잘 맞고 있네요.
부분교정을 원하셔서 내원하는 분들을 보면
다른 곳 문제를 함께 개선을 하면
더 나은 교합, 배열이 되겠다는 생각이 들곤 합니다.
그럼에도 불구하고 망우동치과 에서는
환자분의 의견을 반영하여
거의 대부분 치료를 받고 싶은 곳만 효율적으로
개선을 도와드리는 경우가 많은데요.
이분의 경우 전문의인 제가 판단했을 때도
환자께서 신경이 쓰이는 곳만
진료를 해도 괜찮겠다는 생각이 들었습니다.
따라서 본원에서는 상악 부분교정을
진행하여 틀어진 앞니를 제위치 시키고
배열을 올곧게 바로 잡기로 했습니다.
『3개월 만에 끝난 치료』


망우동치과 에서는 디지털 스캔을 이용하여
치열과 치아의 삐뚤어짐 정도, 방향 등을
정확히 파악을 했습니다.
이후 알맞은 곳에 브라켓을 부착한 후
본격적인 치아 이동을 도왔는데요.
이때 브라켓을 아무 곳에나 붙이는 것이 아니라ㅎㅎ
치아의 이동 방향 및 속도 등을 모두 고려하여
최대 이동력을 얻을 수 있는 곳에
세팅을 도와드리고 있답니다.
『약 3개월의 시간이 흐르고..
눈 깜짝할 사이에 치료가 끝났는데요.』

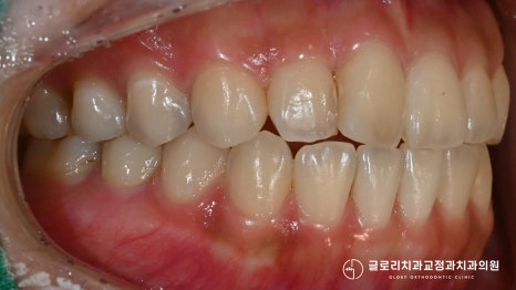
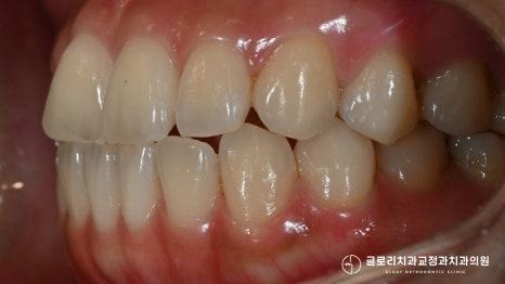
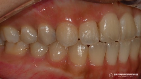
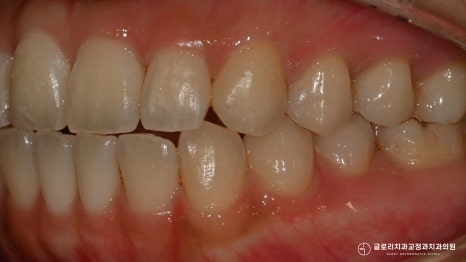
틀어진 앞니가 제자리를 찾아 배열되었으며
전체적으로 봤을 때 훨씬 긴밀하고
고르게 바뀐 것을 확인할 수 있었습니다.



『악궁도 둥근 형태로 더 예뻐진 모습이죠?』
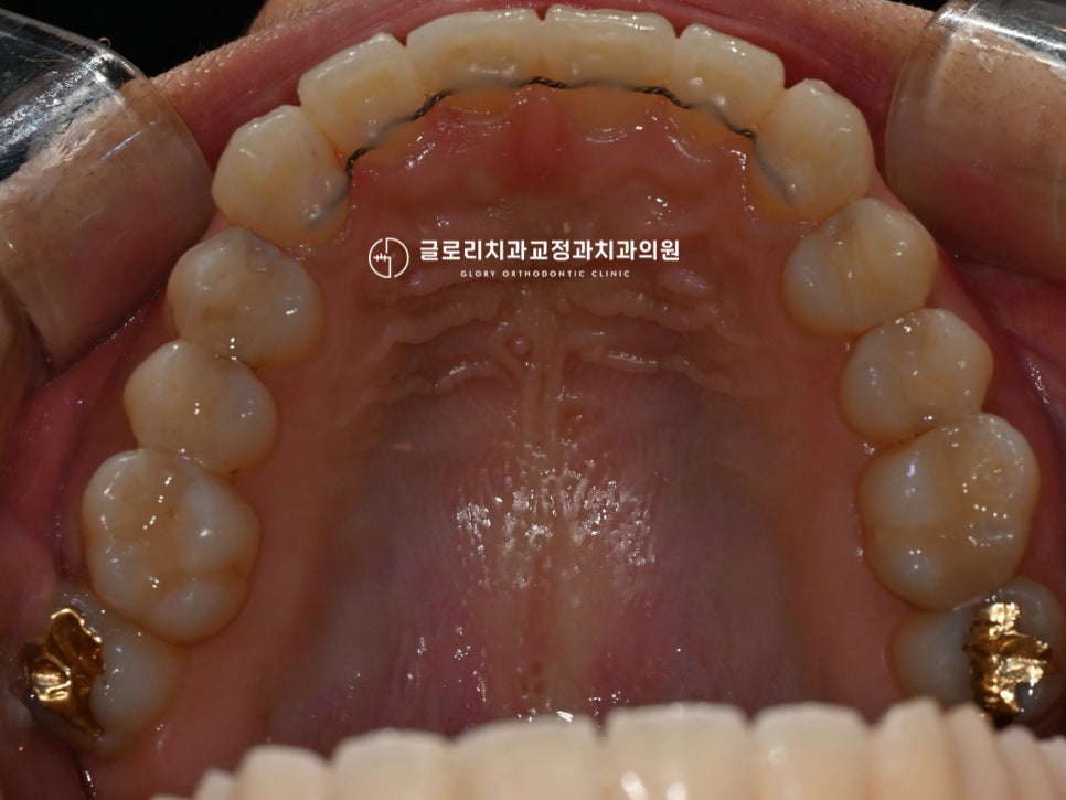
고정식 유지 장치를 부착하여
틀어짐, 이동을 막아드리며
망우동치과 의 모든 과정을 마칠 수 있었습니다.
이렇게 빠르게 좋은 결과를 얻을 수 있어
너무 좋다는 말씀을 해주셨던 환자분이었는데요.
고르게 펴진 치열을 다시 돌아가지 않도록
끊임없는 관리를 도와드리기로 약속드렸습니다.

『오늘 소개해 드린 케이스 잘 보셨나요?』
이와 관련하여 문의할 내용이 있는 분들,
혹은 비슷한 고민을 갖고 계시다면
아래 댓글이나 망우동치과 로
연락 남겨주시기 바랍니다.
긴 글 읽어주셔서 감사합니다.
김정은 원장이었습니다^^
