안녕하세요, 상봉역 교정치과 김정은 원장입니다.
왜소치에 대해 들어보신적 있으신가요?
왜소치는 말그대로 정상적인 치아크기보다 작게 형성된 이를 말합니다, 특히 앞니 부위에서 흔히 나타나며
치아 사이 공간이 남거나 비율이 어색해보이는 심미적 고민으로도 이어지기 쉽죠,
이러한 경우 단순히 교정만으로 해결이 가능할지, 아니면 보철적 접근이 함께 필요할지 정확한 진단이 중요합니다.
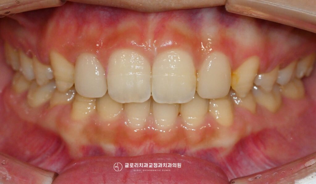
앞니 벌어짐 & 왜소치

준비된 사진을 보면 현재 상악 전치부 사이가 벌어져있으며, 전반적으로 전방으로 뻗어 있는 양상을 보이고 있습니다.
또한 우측 측절치는 인접치에 비해 크기가 작은 왜소치 형태를 띠고 있어 자연치 비율의 불균형이 더욱 두드러져 보이죠.
측면에서 보면 과도한 수평피개로 인해 전치부 돌출양상이 더욱 도드라져 보입니다.

수평피개란 쉽게 말해 위앞니가 아래에 비해 얼마나 앞으로 나와있는지를 의미하는데, 이 수치가 과도하게 증가하면
입이 돌출되어보이거나 입술이 자연스럽게 다물어지지 않는 현상이 나타날 수 있습니다.
또한 저작 시 특정 치아에 힘이 집중되면서 전치부 마모나 파절, 턱관절 부담으로도 이어질 가능성이 있죠.
따라서 상봉역 교정치과 에서는 전치의 전후방 위치를 조절하여 수평피개를 정상 범위로 개선하고 벌어져있는 사이 공간도
닫을 수 있도록 종합적인 게획이 필요할 것으로 보여집니다.
추가로, 왜소치는 심미성 결손으로 이어질 수 있어 라미네이트를 통해 자연스러운 외형을 회복하도록 합니다.
발치교정을 통한 개선과정

안모사진을 보면 상순이 전방으로 위치하고있는데 골격성 2급부정교합의 한 형태로 전치부의 전방경사와 과도한 수평피개가
함께 작용한 결과라 볼 수 있습니다. 이때 도입될 수 있는 것이 발치교정인데 위아래 4개의 치아를 제거한 후 확보된 공간을 이용해
전치부를 후방으로 이동시키는 것입니다.
이러한 발치교정의 핵심이라 함은 단순히 공간을 만드는 것이 아닌, 그 공간을 어떻게 활용하느냐에 있습니다.
전치의 각도와 전후방 위치를 세밀하게 조절해 돌출감을 완화하고 입술선과 조화를 이루는 자연스러운 안모 변화를 유도하게 됩니다.

상봉역 교정치과 에서 보여드리는 사진과 같이 치아를 뺀뒤 치면에 브라켓과 와이어를 부착, 고무줄을 이용해 치아를 움직이게 됩니다.
초기에는 비교적 얇고 유연한 와이어를 사용하여 배열을 부드럽게 정렬하는 단계가 진행되는데 이 과정에서는 뒤틀림을 바로잡고, 이가 이동할 수 있는 기본 환경을 만들어주는 것이 목적이라 할 수 있습니다.
시간이 흐를 수록 강도가 높은 와이어로 교체하며 전치를 후방으로 이동시키는 본격적인 공간 폐쇄가 이루어집니다. 고무줄을 활용해
교합관계를 정상으로 유도하고 수평피개를 정상으로 유도하게 되죠.
이러한 단계적 접근을 통해 벌어져있던 앞니 공간은 자연스럽게 닫히고 돌출된 앞니는 점차 후방으로 이동하면서
입술선과 조화를 이루는 안모 변화를 기대할 수 있다 판단합니다.


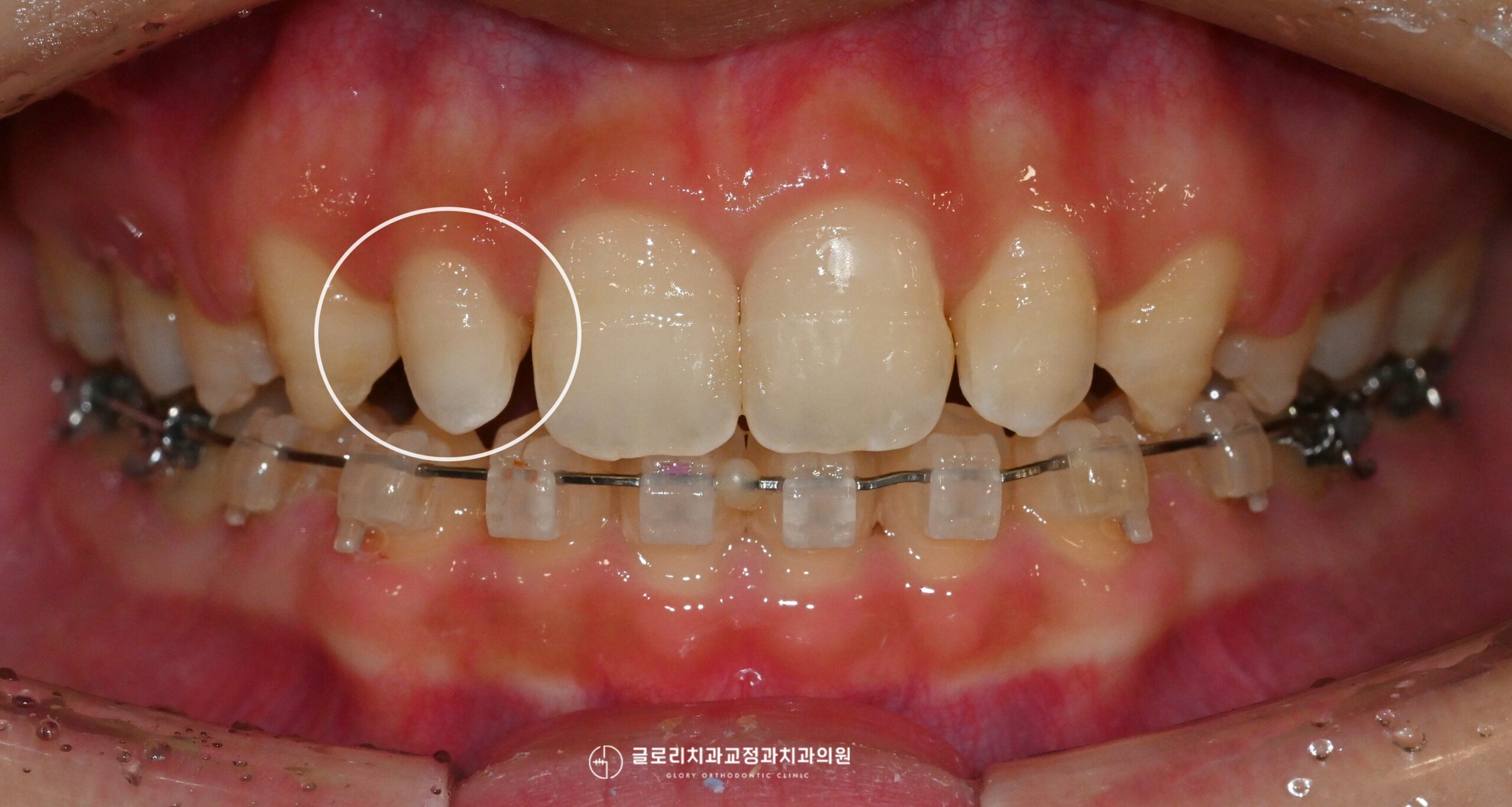
상봉역 교정치과 에서 보여드리는 사진을 보면 현재 발치교정을 통해 대부분의 공간이 닫히고 배열이 가지런해진 것을 알 수 있습니다.
이제 미세한 조정을 통해 교합의 정밀함을 맞추는 과정이 필요한데 현재 상악의 경우 왜소치 치료가 필요할 것으로 보입니다.
왜소치의 치료방법은 여러가지가 있는데 이번 케이스의 경우 자연치 보존을 우선으로 고려한 라미네이트를 계획합니다.
왜소치 라미네이트

라미네이트는 치아의 전면부를 최소한으로 다듬은 뒤 세라믹 판을 접착하는 방식으로 자연치의 폭과 형태를 이상적인
비율로 보완할 수 있습니다. 또한 색감과 투명도를 주변 이와 조화롭게 맞출 수 있다는 장점이 있는데
즉 교정을 통해 위치를 바로잡고 라미네이트를 통해 형태와 비율을 완성하는 두 단계 접근이 심미적 완성도를 높이는 핵심이라
할 수 있겠습니다.
라미 보철을 제작하기 위해서는 인접치와의 색과 명도를 조화롭게 맞추는 것이 중요합니다.

이에 상봉역 교정치과 는 자연광에 가까운 조명 아래 인접치의 색조와 채도, 명도를 종합으로 분석한 뒤 적합한 색상을
선정할 수 있습니다. 예시 자료를 통해 쉐이드 가이드로 자연치와 유사한 색을 선택하고 있는 것을 알 수 있습니다.
여러 견본을 비교하며 전치부 라인을 완성할 수 있습니다.
개선된 모습

최종 모습을 관찰하겠습니다, 발치교정을 통해 돌출된 전치부와 앞니 사이 벌어짐이 해소되었고
자연스러운 치열로 변화하였습니다, 안모사진 역시 초진시 두드러졌던 돌출감이 사라지고 안정된 안모를 형성하죠.

왜소치 부위 역시 맞춤형으로 직접 제작된 라미네이트를 통해 인접치와의 비율이 조화롭게 개선된 것을 알 수 있습니다.
결과적으로 이번 상봉역 교정치과 에서 준비한 케이스는 발치교정을 통한 기능적 개선과 라미네이트를 이용한 심미적 완성이
함께 이루어진 사례라 할 수 있습니다

치료 후 치아가 다시 어긋나지않도록 유지장치 착용은 필수입니다. 보철 역시 끈적이거나 딱딱한 음식을
자주 먹는 습관은 탈락으로 이루어질 수 있어 부드러운 음식 위주로 식사해주시고 평소 청결한 관리해주시길 바랍니다.

오늘도 상봉역 교정치과 의 글을 읽어주셔서 감사드리며 글 마칩니다.
감사합니다 ^^
치료기간 : 24.02.08 ~ 25.10.16
