안녕하세요, 상봉동 교정치과 김정은 원장입니다.
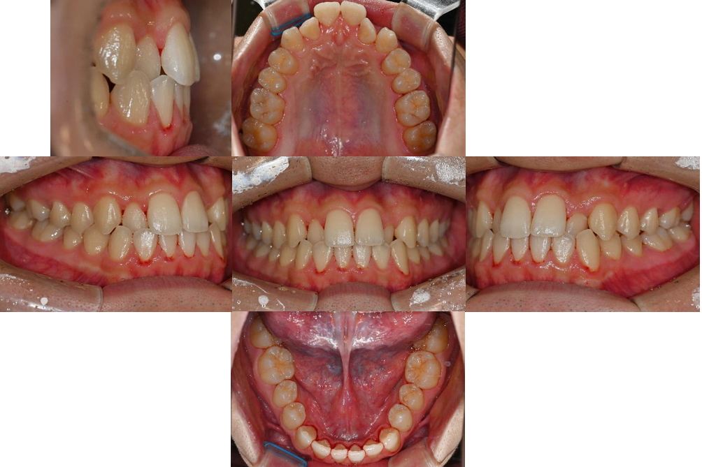
거울을 보며 웃을 때 아래 앞니가 위 앞니보다 앞으로 나와 보이거나, 옆에서 본 얼굴 모습이 아래턱이 돌출되어 보인다면 한 번쯤 고민해보신 적이 있으실 겁니다.
이렇게 치아나 턱의 관계가 정상적이지 않은 모습을 ‘부정교합’ 이라 부릅니다.

특히 아래턱이 위턱보다 크거나 앞으로 나와 있는 ‘골격성 3급 부정교합’은 단순히 치아 배열의 문제를 넘어 전체적인 얼굴 균형과 기능에까지 영향을 미치는 복합적인 문제입니다.
골격성 3급 부정교합의 특징과 진단과정
골격성 3급 부정교합이란, 위턱에 비해 아래턱이 상대적으로 크거나 전방으로 위치한 경우를 말합니다.

위 예시 사진을 보면 전후방적으로 위턱에 비해 아래턱이 큰 모습이죠?

바로, 전후방적으로 위턱에 비해 아래턱이 큰 골격적 특징 때문입니다.
이는 단순히 치아만의 문제가 아니라 상하악골의 크기와 위치 관계에서 비롯되는 것으로, 치료 계획 수립 시 반드시 고려해야 하는 중요한 요소입니다.

얼굴 분석 결과, 코끝과 턱끝을 이은 선을 기준으로 하여 입술이 후퇴되어 있었고, 얼굴의 길이가 수직적으로 짧은 편이었습니다. 또한 연조직 관련 계측치에서도 후퇴된 입술 경향을 보입니다.
치열 분석을 통한 세부적 문제점 파악
치열 분석에서도 여러 가지 복합적인 문제들이 발견되었습니다.

가장 눈에 띄는 문제는 위 앞니가 삐뚤빼뚤하며 위아래 측절치가 거꾸로 교합되는 앞니 반대교합이었습니다.
정상적인 교합에서는 위 앞니가 아래 앞니를 2-3mm 정도 덮어야 하는데, 이 환자분의 경우 위 앞니가 아래 앞니를 덮는 양이 현저히 부족했습니다.
구치부 관계에서도 양측 모두 3급 부정교합을 보였으며, 이는 전체적인 교합 관계의 부조화를 의미합니다.

특히 주목할 점은 골격에 대해 상악 치아는 전방으로, 하악 치아는 후방으로 기울어져 있다는 것입니다.
이는 부정교합을 보상(compensation)하려는 자연스러운 적응 과정에서 나타난 변화로, 실제 골격적 부조화가 치아 경사도에 의해 어느 정도 가려져 있음을 시사합니다.

또한 위어금니 간 폭경과 아래 어금니 간 폭경의 비율에서도 부조화가 관찰되었습니다.
정상적으로는 상악이 0-1mm 정도 더 큰 값을 보여야 하는데, 이 비율이 맞지 않아 전체적인 교합의 안정성에 영향을 미치고 있었습니다. → 상악 중절치 사이에 과잉치가 관찰되어 상악골 확장은 하지 않는 방향으로 결정했습니다. 과잉치의 존재는 치료 계획에 중요한 변수가 되며, 이를 고려하지 않은 확장 치료는 오히려 치료 결과에 부정적 영향을 미칠 수 있기 때문입니다.
치료 과정
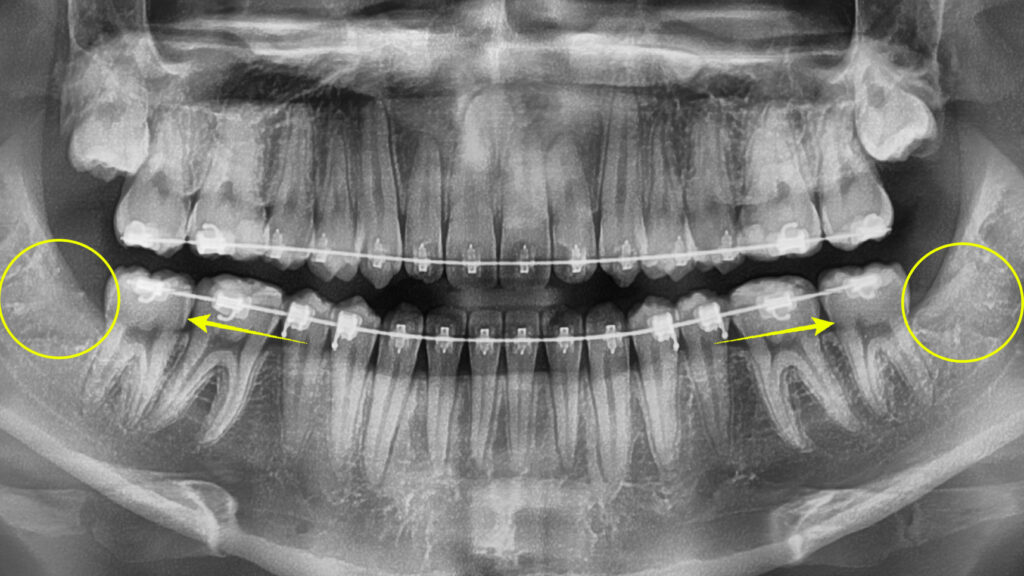
치료의 핵심은 비발치 교정을 통해 교합 관계를 개선하는 것이며, 골격성 3급 부정교합의 교정치료는 단순히 치아를 움직이는 것 이상의 의미를 갖습니다.
골격적 부조화가 있는 상황에서 치아의 위치를 조정하여 최적의 기능과 심미성을 달성해야 하므로, 치료 과정 전반에 걸쳐 세밀한 관찰과 지속적인 조정이 필요합니다.

또한 하악 사랑니 발치도 치료 계획에 포함됩니다. 사랑니는 아랫니를 후방으로 이동시키는 데 물리적 장애물이 될 수 있으며, 특히 3급 부정교합 환자에서는 하악 전치의 후방 이동을 위한 공간 확보가 매우 중요하기 때문입니다.


특히 앞니 반대교합의 해소 과정에서는 상하악 전치 간의 관계 변화를 단계별로 모니터링합니다.
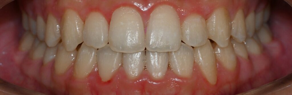
반대교합이 점차 개선되면서 환자분의 기능적, 심미적 만족도도 함께 향상되는 것을 확인할 수 있습니다.
성공적인 치료 결과와 향후 관리
치료 완료 후 반대교합이 완전히 해소되면서 안정적으로 맞물리는 교합을 달성할 수 있게됩니다. 이는 단순히 치아 배열의 개선을 넘어 전체적인 구강 기능의 향상을 의미합니다. 정상적인 교합 관계가 회복되면서 저작 기능이 개선되며 심미적으로도 자연스러운 미소를 만들 수 있습니다.

특히 주목할 점은 골격적 한계가 있는 상황에서도 적절한 치료 계획과 정밀한 실행을 통해 만족스러운 결과를 얻을 수 있다는 사실입니다.
아래턱이 큰 골격성 3급 부정교합으로 인한 앞니 반대교합은 복합적인 문제이지만, 정확한 진단과 개별 맞춤형 치료 계획을 통해 충분히 개선 가능한 문제입니다. 무엇보다 중요한 것은 환자 개개인의 특성을 정확히 파악하고, 그에 맞는 최적의 치료 방법을 선택하는 것입니다. 비슷한 고민을 가지고 계신 분들이라면 교정과 전문의와의 상담을 통해 자신에게 맞는 치료 방향을 찾아보시기를 권합니다.
치료기간 : 24.03.08 ~ 25.08.18
