안녕하세요 상봉동 치과 김정은 원장이빈다.
교정은 크게 1차와 2차교정으로 나눌 수 있습니다. 1차 교정은 성장이 진행 중인 혼합치열기 어린이를
대상으로 골격적인 부조화를 개선하고 영구치가 올바르게 자리잡을 수 있는 환경을 만들어주는 치료입니다.
반면 2차 교정은 영구치열이 완성된 이후 브라켓과 와이어를 이용해 치아의 배열과 교합을
정밀하게 맞춰가는 치료로, 흔히 우리가 떠올리는 일반적인 교정이 여기에 해당합니다.
1차 교정이 중요한 이유는 성장기에만 가능한 치료라는 점에 있는데요.
상하악의 성장 시기와 양상이 다르기 때문에 골격적인 문제가 보일 때 적절한 시기에
개입하면 턱뼈의 성장 방향과 속도를 어느정도 조절할 수 있습니다.
오늘은 가철식 교정장치를 통해 돌출입을 개선한 사례에 대해 상봉동 치과 에서 설명드리도록 하겠습니다.
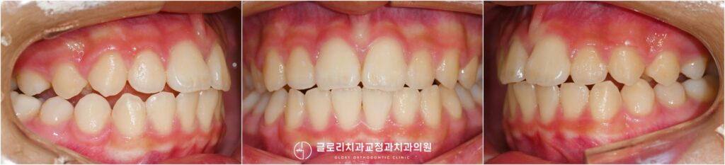
다물어지지 않는 구강

예시 사진을 보면 현재 구강이 자연스럽게 다물어지지 않고 벌어져있는 모습으로,
전형적인 돌출형 구강 양상을 확인할 수 있습니다.

세팔로 방사선 사잔을 통해 분석해본 결과, 현재 전후방적으로 위턱에 비해 아래턱이 상대적으로 작고
후방에 위치한 골격성 2급 안모로 진단되었습니다. 정상적인 교합 관계라면 상하악이 조화롭게 맞물려야 되지만,
이번 케이스의 경우 하악의 저성장으로 돌출되어 보이는 양상이 나타났다 판단됩니다.

이어서 치열도 살펴볼 수 있는데 윗니가 아랫니를 과도하게 덮고있는
과개교합 양상을 보이고 있고 앞쪽으로 경사져 있어 이로 인해 돌출이 더욱 두드러져 보입니다.
상봉동 치과 에서 설명드리길 골격성 2급은 상하악 골격의 부조화에서 비롯된 문제이기 때문에
성장이 진행중인 이 시기에 근본적인 개선이 가능합니다.
1차 교정

보다 정밀한 진단을 위해 수완부 방사선 사진을 기준으로 평가한 발달단계에서 11단계중 4-5단계로 성장 개시기를 지나 가속기 단계로 평가됩니다.
이 시기는 사춘기 성장 급증기에 해당하여 하악골의 잠재력이 활발하게 발현되는 구간이기도 한데요.
기능성 교정장치를 통한 성장 조절치료의 효과를 크게 기대할 수 있는 골든타임이라 할 수 있습니다.

따라서 상봉동 치과 에서 판단하길 해당 케이스의 경우 상악골의 전방 성장을 억제하고
후방으로 이동시키기 위해 헤드기어를 먼저 사용한 후 바이오네이터를 활용해 하악골의 전방 성장을
유도하면서 동시에 깊은 교합을 개선하는 방향으로 진행하는 것이 적합합니다.

페이스 마스크란 머리에 착용하는 형태의 구외 교정장치로, 외부의 힘을 이용해
상악골의 성장 방향과 속도를 조절하는 역할을 하는데요, 머리와 목 부위를 지지점으로 삼아
구치부에 후방으로 향하는 힘을 가하는 방식으로 작동합니다.
이를 통해 위턱의 전방 성장을 억제하고 어금니를 후방으로 이동시켜 전후방관계를 개선할 수 있습니다.
헤드기어는 가철식 장치로, 환자가 직접 착용하고 제거할 수 있다는 장점이 있지만 그만큼
착용시간이 치료 결과에 직접적인 영향을 미치게 됩니다.
일반적으로 하루 12시간 이상의 착용을 권장하며 협조도에 따라 치료 결과가 달라질 수 있습니다.

바이오네이터 역시 가철식으로 제작되는 기능성 교정장치인데 장치를 착용하면
하악이 앞쪽에 위치한 상태에서 저작과 같은 기능적인 자극이
반복적으로 가해지고 이를 통해 하악골의 전방 성장이 유도됩니다.
또한 바이오네이터는 상하 구치부의 맹출을 유도하면서 전치부의 과도한
교합을 완화시켜주기 때문에 이번 상봉동 치과 의 케이스처럼 골격성 2급 부정교합에 더욱 적합합니다.

중간 사진을 통해 서서히 치열이 변화되는 모습을 알 수 있고

구외사진을 통해 구강의 돌출감이 개선되고 있는 것을 확인하게 됩니다.
종결

상봉동 치과 에서 보여드리는 최종 구외사진을 통해 측면에서 바라보았을 때
돌출감과 안모가 자연스럽게 개선되었으며 입술이 무리 없이 자연스럽게 다물어지는 조화로운 측모를 보여줍니다.

오늘은 1차교정을 통해 골격성 2급 부정교합을 개선하는 사례에 대해 소개드렸습니다.
다만 가철성 교정장치를 이용한 치료를 개인의 협조도가 매우 중요합니다.
협조도가 떨어지거나 정해진 착용 방법과 시간을 지키지 못할 경우, 치료 효과를
얻기 어려울 수 있으며, 동일한 장치를 사용하더라도 결과에 차이가 생길 수 있습니다.
또한 1차 교정으로 골격적인 부조화는 개선되었지만, 영구치 맹출 이후의 배열과
교합 관계는 다시 한 번 평가가 필요합니다. 따라서 2차 교정 필요성 여부는 영구치가 모두 맹출하는 시점에 재평가될 예정이며,
그 결과에 따라 추가 교정치료 여부를 결정할 수 있겠습니다.
오늘 제가 전해드린 정보가 도움되셨기를 바라며 글 마치도록 하겠습니다.
상봉동 치과 김정은 원장이었습니다, 감사합니다.
치료 기간 : 25.03.26~26.04.20
