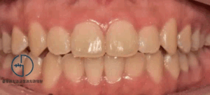
상봉동 교정치과 비발치교정 과정, 치아를 뽑지 않고도 불규칙한 치열 & 돌출입 개선할 수 있을까?

"교정 치료를 받으려면 무조건 치아를 뽑아야 하나요?"🙄 치아 교정 시 꼭 발치가 필요할것이라고 생각하시는 분들이 많습니다. 하지만 실제로는 건강한 치아를 보존하면서도 아름답고 기능적인 치열을 만들 수 있는 '비발치교정'이 있습니다! 오늘은…

Continue Reading상봉동 교정치과 비발치교정 과정, 치아를 뽑지 않고도 불규칙한 치열 & 돌출입 개선할 수 있을까?

상봉역 교정치과 좁은 악궁(V-shaped arch)으로 인한 심한 총생, 어떻게 해결할까?

사람을 처음 만나는 자리에서 미소를 지으면 호감도가 높아진다는 것은 누구나 아는 사실입니다.😊 하지만 치열이 콤플렉스인 경우, 앞니를 드러내며 환하게 웃는 것 자체가 큰 부담이 될 수 있습니다. 23.11.17 ➡ 특히…

Continue Reading상봉역 교정치과 좁은 악궁(V-shaped arch)으로 인한 심한 총생, 어떻게 해결할까?

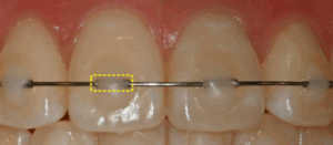
망우동 치과 앞니 부분교정 미니튜브(MTA), 짧은 기간 안에 자연스러운 미소 완성하기

안녕하세요, 망우동 치과 김정은 원장입니다. 혹시 사진을 찍을 때 무의식적으로 입을 다물게 되시나요? 또는 거울을 볼 때마다 삐뚤어진 앞니 때문에 웃음이 어색해지는 경험, 많은 분들이 공감하실 겁니다. 다행히 눈에 잘…

Continue Reading망우동 치과 앞니 부분교정 미니튜브(MTA), 짧은 기간 안에 자연스러운 미소 완성하기

중화동 치과 윗니가 아랫니를 너무 깊게 물어요. 전치부 과개교합(deep bite) 개선 증례

안녕하세요, 여러분~ 중화동 글로리 치과 김정은 원장입니다. ​ 날이 가면 갈수록 점점 더워지고 있네요. 봄이 온지 얼마 지나지 않은 것 같은데 벌써 여름이 찾아오고 있나 봅니다. ​ 지난번에 반대교합에 관련된…

Continue Reading중화동 치과 윗니가 아랫니를 너무 깊게 물어요. 전치부 과개교합(deep bite) 개선 증례

중화동 교정치과 투명하고 심미적인 브라켓 에스라인(S-line) 교정으로 티안나는 비발치교정 !

안녕하세요, 중화동 교정치과 김정은 원장입니다. "교정치료를 받고 싶지만 브라켓이 너무 티날까 봐 걱정이에요...😭" 네 맞습니다. 이는 교정치료를 고려하는 많은 분들이 공통적으로 갖는 고민입니다. 교정장치가 눈에 띄어 일상생활에서 자신감이 떨어질까 봐…

Continue Reading중화동 교정치과 투명하고 심미적인 브라켓 에스라인(S-line) 교정으로 티안나는 비발치교정 !

티 안 나는 인비절라인으로 오랜 콤플렉스 개선 완료! 면목동 교정치과

안녕하세요, 여러분! 면목동 글로리 교정치과 김정은 대표원장입니다. 『여러분들께서는 치열 개선을 '왜' 하고 싶으신가요?』 기능 회복이 이유인 분들도 계시지만, 거의 대부분은 외적인 콤플렉스를 개선하기 위해 본원에 오셔서 상담을 받곤 합니다. ​…

Continue Reading티 안 나는 인비절라인으로 오랜 콤플렉스 개선 완료! 면목동 교정치과

벌어지고 돌출된 치아, 비발치로 진행할 수 있을까?! 중랑구 교정치과

『안녕하세요, 중랑구 글로리 교정치과 김정은 원장입니다.』 벌어지고 삐뚤어진 앞니, 이런 증상이 발생하는데에는 다양한 원인이 있습니다. 원인 및 형태에 따라 치료 방법이 달라지게 되어 정밀 검진을 통해 꼼꼼히 확인해야 되죠. ​…

Continue Reading벌어지고 돌출된 치아, 비발치로 진행할 수 있을까?! 중랑구 교정치과

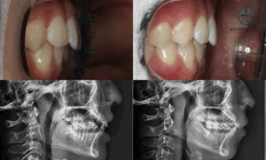
양원역 교정치과 : 반대로 물리는 치아 이렇게 바뀔 수 있어요!

반갑습니다. 글로리 교정치과 김정은입니다. 오늘 사례를 소개하기 전에 반대교합에 대해 간단히 설명을 드릴게요. 우선 입을 다물었을 때 위, 아래턱이 서로 맞물리는 걸 ​‘교합’이라 부릅니다. 맞물리면서 위턱 치아가 하악을 덮을 때…

Continue Reading양원역 교정치과 : 반대로 물리는 치아 이렇게 바뀔 수 있어요!

눈에 보이지 않는 불편함, 망우역 교정치과 가위교합 교정치료 실제 사례

안녕하세요 망우역 교정치과 김정은 원장입니다. "음식을 씹을 때 왜 이렇게 힘이 들까?" "고기나 딱딱한 음식을 먹을 때 항상 한쪽으로만 씹게 되는데..." 이런 경험이 있으시다면 한 번쯤 거울 앞에서 입을 크게…

Continue Reading눈에 보이지 않는 불편함, 망우역 교정치과 가위교합 교정치료 실제 사례