치아 총생이나 돌출, 덧니 등을 개선할 때
표면에 브라켓과 와이어를 부착하는 것을
꺼려 하는 분들이 생각보다 많습니다.
특히나 중년분들이 경우
이런 이유로 진료를 망설이는 분들도
꽤 많이 볼 수 있는데요.
『그렇다면 이럴 땐
아무런 방법도 없는 걸까요?』
저희 중랑구교정치과 에서는
이럴 때 ‘설측 장치’를 사용하여
치열 개선을 돕고 있는데요.
오늘은 이와 관련된 케이스에 대해
여러분들께 설명드리려 합니다^^
『1. 어떻게 오게 되었을까?』
어느 날 50대 여성 환자분께서
상담을 받고 싶다며
저희 중랑구교정치과 에 오셨습니다.
진료를 시작하기 전
충분한 대화를 나누고 있는 글로리에서는
어떤 것이 고민인지 얘기를 나눠봤는데요.
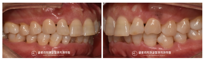
오래전부터 안쪽으로 들어가 있는
아래 앞니가 신경이 쓰인다고 말을 하셨죠.
시간이 지나면 지날수록
삐뚤어짐이 더 커지는 거 같다고 하셨습니다.

실제 구강 사진을 확인해 보니
안쪽으로 배열되어 있는
하악 전치부 일부 치아를 볼 수 있었습니다.

하악에 비해 상악은 돌출되어 있는 듯한
느낌을 주고 있었는데요.
환자분께 여쭤보니 튀어나온 입매는
크게 신경 쓰이지 않지만,
틀어지고 안쪽으로 들어가 있는 치열을
꼭 고치고 싶다는 말씀을 하셨습니다.

2. 이렇게 진료를 돕기로 했습니다.
저희 중랑구교정치과 에서는
진료를 진행하기 전
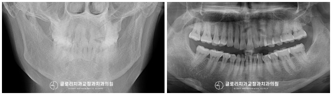
방사선 촬영으로 정밀검진을 시행하여
치근흡수나 치주 질환 등
다른 문제들이 없는지 꼼꼼하게 확인하는데요.


다행히 치열 개선을 진행해도
문제가 없을 거라는 판단이 들어
본격적으로 계획을 세우기로 했습니다.
환자께서는 중년 나이에 치료를 받는 것도
꽤나 부담스러운 일인데..
남들에게 티가 나지 않았으면
좋겠다는 말씀을 하셨는데요.
글로리에서는
1) 아랫니 개선만을 원하고 계신다는 것.
2) 티 나는 장치가 부담스럽다는 것.
『이 두 가지를 고려하여
설측 부분 치료로
개선을 도와드리기로 했습니다.』
『3. 어떤 모습으로 바뀌었을까?』
중랑구교정치과 에서는
앞서 계획했던 대로 눈에 띄지 않는
혀쪽 표면에 장치를 부착하여
본격적인 치아 이동을 도왔는데요.


눈에 띄지 않아 심미성은
매우 좋은 편에 속하지만,
초기에는 적응을 하기 어렵고
발음에 문제가 생길 수 있습니다.
물론 시간이 지남에 따라
차차 해결이 되지만요^^
다행히 꾸준한 월내원 및 관리로
적응을 잘 하셨는데요.
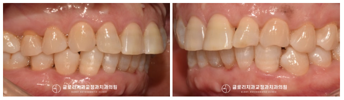
『그렇게 8달이 흐르고
모든 과정을 마칠 수 있었습니다!』

안으로 들어가 있던 하악 치아가
올곧게 자리를 잡아 고르게 배열되어 있는데요.
이때 벌어진 틈새를 메꾸기 위해
레진 수복도 함께 도와드렸더니
심미성이 배가 되어 훨씬 건강한 모습으로
바뀐 것을 볼 수 있었습니다.

무엇보다 삐뚤어진 곳이
고르게 펴지게 되어 위생관리가
훨씬 편해지셨다는 말씀을 하셨는데요.
네, 맞습니다!
틀어진 치열을 바로잡으면
외적인 개선은 물론이며,
이렇게 위생관리도 편해져서
추후 치주 질환이나 충치의 확률도
현저히 줄어들게 됩니다^^

중랑구교정치과 에서는
고정식 고정 장치를 부착하여
모든 과정을 마쳤는데요.
치료가 끝났어도
꾸준한 관리를 진행하여
다시 틀어지지 않도록
관리를 도와드리기로 약속드렸습니다.

중년 환자들의 경우
시기에 대한 고민 그리고 이분처럼
겉으로 보이는 부담감 때문에
진료를 미루는 분들이 정말 많습니다.
그러나 한 가지 알아두셔야 될 것은
중랑구교정치과 에 내원하는 시기가
빠르면 빠를수록 추후 발생할 수 있는
문제들의 확률이 낮아진다는 점!
이와 관련하여 문의할 내용이 있는 분들은
아래 댓글 혹은 글로리로 연락 남겨주시기 바랍니다.
긴 글 읽어주셔서 감사합니다.
김정은 원장이었습니다.
