망우동 교정치과 개방교합과 돌출입, 에스라인 교정 으로 함께 개선하기

You are currently viewing 망우동 교정치과 개방교합과 돌출입, 에스라인 교정 으로 함께 개선하기

안녕하세요, 망우동 교정치과 김정은 원장입니다.😊

치아를 꽉 다물어도 앞니끼리 닿지 않아불편하거나 고민이신 분들이 계십니다.

23.07.04

어금니는 잘 맞물리는데 유독 앞니 부분만공간이 떠 있는 상태를 개방교합(openbite)이라고 합니다.

개방교합이 있으면 앞니로 음식을 끊어먹기가 어렵기에 면 종류나 김밥처럼 앞니로 끊어야 하는 음식을먹을 때 불편함을 느끼는 경우가 많죠.

23.07.04

개방교합이 있는 분들 중에는 옆모습에서 돌출감이 함께 나타나는 경우가 있습니다.

앞니가 제대로 맞물리지 않으면서 입술 쪽으로 지지되기 때문인데요.

이처럼 개방교합과 돌출입이 함께 나타난다면 두 가지 문제를 동시에 해결하는 방향으로 치아교정 계획을 세우는 것이 좋습니다.

개방교합과 돌출입의 원인

개방교합은 다양한 원인에 의해 발생할 수 있습니다.

어릴 때 손가락 빨기나 혀 내밀기 습관이 오래 지속되면 위아래 앞니가 서로 벌어지면서 개방교합으로 이어질 수 있습니다.

23.07.04

혀가 삼킬 때마다 앞니 사이로 밀려나오는 습관이 있는 경우에도 마찬가지입니다.

이런 습관은 성장기에 치아 배열에 영향을 주어 앞니가 앞으로 기울어지거나 벌어지게 만듭니다.

골격적인 요인도 있습니다.

위턱과 아래턱의 성장 방향이 수직적으로 과도하게 발달하면 어금니만 먼저 닿고 앞니는 맞물리지 않는 상태가 됩니다.

개방교합과 돌출입은 서로 독립적으로 나타나기도 하지만, 함께 동반되는 경우도 적지 않습니다.

23.07.04

앞니가 앞쪽으로 경사져 있으면 치아끼리 제대로 맞물리지 않으면서 입술을 앞으로 밀어내는 형태가 됩니다.

입을 다물 때 입술 주변 근육에 긴장이 생기고 턱끝이 뭉쳐 보이는 느낌이 들기도 합니다.

옆에서 봤을 때 입이 앞으로 나와 보이면서 코끝과 턱끝을 이은 선보다 입술이 튀어나와 보이는 것이 특징입니다.

이 두 가지 문제가 함께 있다면 단순히 치아 배열만 가지런하게 하는 것보다 전체적인 안모 라인까지 고려한 교정 계획이 필요합니다.

치료 계획 수립

개방교합과 돌출입을 함께 개선하려면 발치교정을 고려하게 됩니다.

앞으로 기울어진 앞니를 뒤쪽으로 이동시키기 위해서는 공간이 필요하기 때문이죠.

23.11.29

일반적으로 첫 번째 작은어금니를 발치하여 배열을 위한 공간을 마련합니다.

작은어금니는 앞니와 큰어금니 사이에 위치하여 발치 후 공간 활용이 용이합니다.

이 공간을 이용해 앞니를 후방으로 당기면 자연스럽게 정상적인 교합을 만들 수 있습니다.

앞니가 뒤로 들어가면서 입술의 돌출감도 완화되는 효과를 기대할 수 있습니다.

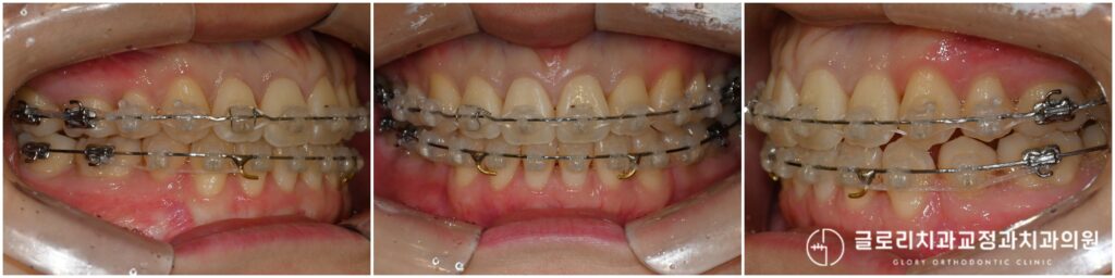
에스라인 교정 의 특징과 장점

최근 치아교정 장치가 발전하면서 심미성과 기능성을 모두 갖춘 장치들이 등장하고 있습니다.

그중 에스라인(s-line) 브라켓은 국내 회사인 바이오세텍에서 제작한 제품입니다.

한국인이 개발했기 때문에 한국인의 치아 색상과 형태에 맞게 설계되었습니다.

25.03.04

투명한 올세라믹 소재의 자가결찰 브라켓으로 브라켓 본체뿐 아니라 도어 부분까지 흰색 세라믹으로 제작되어 심미성이 뛰어납니다.

기존의 일부 자가결찰 브라켓은 도어 부분이 금속으로 되어 있어 눈에 띄는 경우가 있었는데 에스라인 교정 은 이런 부분까지 세라믹으로 처리하여 더욱 자연스럽습니다.

에스라인 교정 브라켓에는 윙이 달려 있어 파워체인 같은 고무줄을 걸기 수월합니다.

파워체인은 치아 사이 공간을 닫거나 치아를 이동시킬 때 사용하는 탄성 고무줄인데 윙이 있으면 이를 쉽게 걸 수 있어 다양한 치료 옵션을 적용할 수 있습니다.

또한 도어가 넓게 설계되어 치아의 회전 조절에 유리한 구조입니다.

회전된 치아를 바르게 돌려놓을 때 브라켓과 와이어 사이의 마찰이 적어 효율적인 치아 이동이 가능합니다.

자가결찰 방식이라 브라켓에 달린 도어가 스스로 와이어를 잡아줍니다.

기존의 결찰 방식은 철사나 고무링으로 와이어를 브라켓에 묶어야 했는데 자가결찰 방식은 도어를 열고 닫는 것만으로 와이어를 고정할 수 있습니다.👍👍

전용 오프닝 툴로 열고 닫는 방식이며 세라믹 도어 부분에 형상이 잡혀 있어 개폐가 용이합니다.

MBT, Roth 타입 등 다양한 옵션이 있어 발치 케이스와 비발치 케이스 모두 적용 가능합니다.

자가결찰 브라켓은 이 과정에서 와이어 교체가 간편하여 내원 시 체어 타임을 줄일 수 있다는 장점도 있습니다.

25.09.01

정리하자면, 장치가 눈에 잘 띄지 않아 교정 기간 동안 심미적인 부담을 줄여주기 때문에 직장인이나 대인 관계가 많은 분들에게 좋은 선택이 될 수 있습니다.

교정 후 변화와 유지관리

에스라인 교정 을 통해 개방교합이 개선되면 앞니로 음식을 끊어먹는 기능이 회복됩니다.

앞니가 정상적으로 맞물리면 발음도 명확해지는 효과를 기대할 수 있습니다.

25.12.01

개방교합이 있을 때 특정 발음이 새는 느낌이 들었다면 이런 부분도 개선될 수 있습니다.

동시에 돌출입이 완화되어 옆모습 라인도 자연스러워질 수 있습니다.

25.12.01

입술이 편하게 다물어지고 턱 끝 라인이 살아나면서 전체적인 안모 균형이 좋아집니다.

심미적으로 티가 적은 장치로 교정 기간 동안의 부담도 줄일 수 있어 일상생활과 교정을 병행하기에 좋습니다.

교정 치료가 끝난 후에도 유지장치 착용이 중요합니다.

치아는 원래 위치로 돌아가려는 성질이 있어 유지장치 없이 방치하면 재발할 수 있습니다.

특히 개방교합의 경우 혀 습관이 남아 있다면 재발 가능성이 높아질 수 있으므로 혀 위치를 바르게 유지하는 습관도 함께 들이는 것이 좋습니다.

유지장치는 고정식과 가철식이 있으며 담당 교정 전문의와 상담 후 본인에게 맞는 방식을 선택하면 됩니다.

교정 후 정기적인 검진을 통해 치아 상태를 확인하고 관리하는 것이 오래도록 건강한 교합을 유지하는 방법입니다.

이상으로 망우동 교정치과 김정은 원장이었습니다 감사합니다😄

치료기간 : 23.07.04 ~ 25.12.01