웃을 때 이가 잘 보이지 않거나
음식을 먹을 때 턱이 불편하면서
앞니가 잇몸을 찌르는 느낌이 든다면
‘과개교합 또는 딥바이트(Deep bite)’를 의심해 봐야 되는데요.
이런 증상이 방치했을 때
어떠한 문제들을 일으키며
이에 대한 치아 교정 방법은 어떻게 되는지에 대해서
설명 도와드리도록 하겠습니다.
『Q. 정상 교합과는 어떻게 다른가요?』
일반적으로는 위아래 앞니가
적절한 정도로 겹쳐져 있어
2~3mm 정도 가리는 것이 정상이라고
말씀을 드리고 있습니다.
여기서 중요한 포인트는 피개량이라 알려드리는데요.


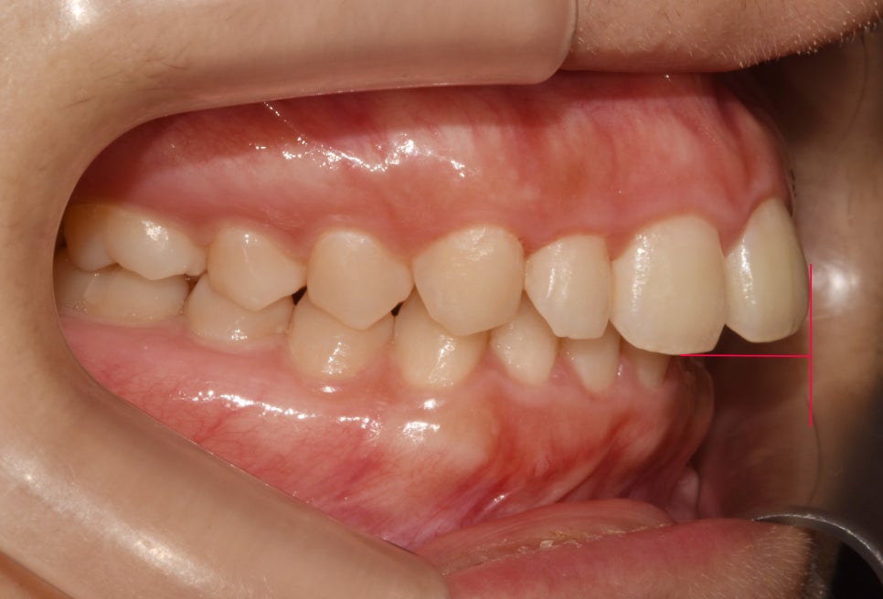
“그러나 딥바이트 (deep bite)를
가졌을 경우에는 아래쪽 앞니를
4mm 이상 깊게 덮으며,”
심한 경우에는 위에 있는 사진처럼
아랫니가 거의 보이지 않을 정도로
깊게 겹쳐 보여질 수 있습니다.
심미적인 부분과는 별개로 턱 건강에도
좋지 않은 영향을 미칠 수 있어
면밀한 검진 후 과개교합은
치아 교정 치료가 필요할 수 있습니다.
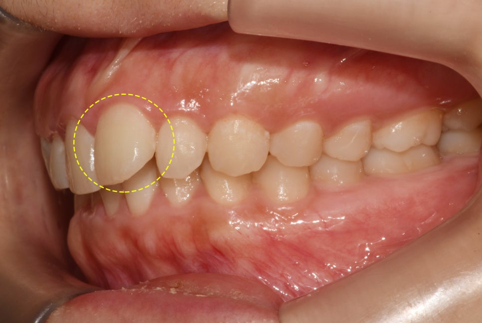
사진을 보면 왼쪽 큰 앞니인
21번 중절치가 유독 높게 올라가 있어
위치적으로 맞지 않다는 것을 볼 수 있습니다.

측면에서 보았을 때는 21번만 다른 곳들에 비해
형태가 틀어져 있어 뻐드러진 느낌으로
튀어나와 있음을 관찰할 수 있습니다.
교합면을 보면 좀 더 명확히 드러납니다.
유독 21번만 돌출되어 있는 느낌에
심미적으로도 보기에 좋지 않았습니다.
이렇게 봤을 때 외관 부분 외에
물리는 형태도 점검해 볼 필요가 있습니다.

앞서 설명드린 딥바이트의 형태를
가지고 있어 깊게 물리는 느낌이 듭니다.
윗니에 비해 이미 아랫니는
80% 정도가 깊게 가려져 있어
과개교합 교정이 필요하네요.
이와 같은 진단을 바탕으로
진료 계획을 수립하여 해결하면 되겠습니다.

개선에 앞서 치열을 본래 위치로
정렬시키기 위해서는 이동시켜줘야 되는데요.
이동에 필요한 공간은 주로 소구치 발치로 형성합니다.
교정 발치의 경우에는
양쪽 위아래에 있는 소구치 하나씩을 뽑아
이동을 돕곤 합니다.

그런데 여기 사진을 보면 알 수 있듯이
양쪽 상악 소구치를 하나씩만 뽑는
‘편악발치’를 시행했음을 볼 수 있습니다.

이처럼 한 쪽 이만 심하게 돌출이 되어있을 때
편악발치 방법을 이용해볼 수 있습니다.
물론 환자마다 가진 치아 개수와 형태, 특징들이
모두 다르기 때문에 정확한 진단 후
계획을 결정하는 게 좋습니다.

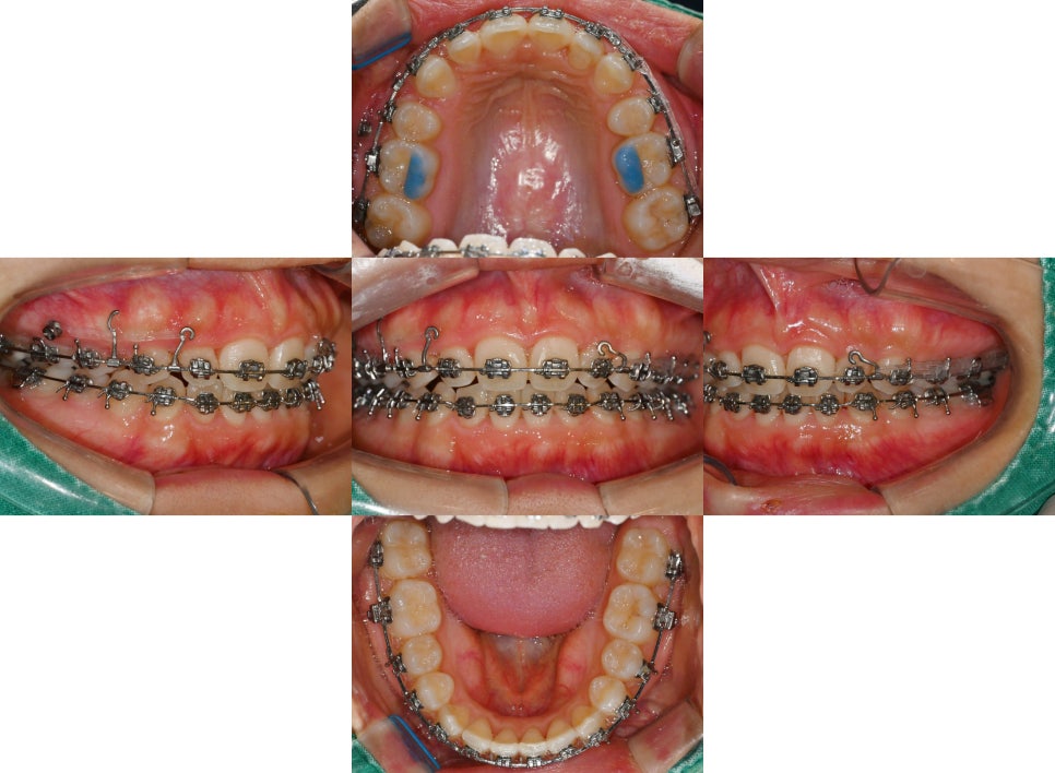
편악 발치를 통해 위쪽의 14번과 24번을 뽑은 뒤,
치아를 이동시켜 조정하고 있는 모습을 볼 수 있습니다.
치료를 시작한 지 얼마 안 된 시점에서는
아직 유격이 존재해 다소 빈 느낌이 들지만,
서서히 치열 개선이 되면서 유격된 부분은 폐쇄됩니다.

그와 동시에 딥바이트에 관한 부분도
함께 개선을 해줍니다.
위아래의 교합 상태를 파악하고 어금니를 올려
전체적인 높이를 증가시켜 맞물림을 맞춰 나갑니다.
이번 내용과 별개로 치아 문제를 넘어서
턱 크기 차이가 심할 경우에는
과개교합 교정만으로 해결이 되지 않습니다.
그땐 양악이나 하악 전진술과 같은
수술이 권해질 수 있으므로
의료 전문가와 면밀한 상담이 필요합니다.

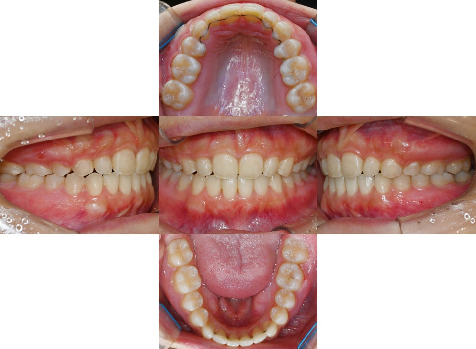
모든 치료 과정이 끝나고 나면
아랫니가 거의 덮여 보이지 않던
초진 때와 달리 예쁜 아래 앞니가 잘 보입니다.
이에 맞춰 어금니 맞물림 역시
어긋남과 불편함 불편함 없이
올바르게 작용할 수 있도록 잘 맞춰져 있습니다.
또한, 돌출되어 나와 보였던 21번도
이제는 후방으로 잘 견인되어
틀어짐 없이 잘 정렬되어 있습니다.

구외 사진을 보면 정중선이 맞고
깔끔히 정리된 모습을 볼 수 있습니다.
이번 과개교합 딥바이트 문제는
어떤 상태냐에 따라 편악발치로도
해결해볼 수 있음을 알려드렸습니다.
다음번에도 유익한 주제로 찾아뵈어
도움드리도록 하겠습니다.
교정과 전문의 김정은이었습니다.
감사합니다.

치료 기간: 22.12.11~24.12.13
