안녕하세요, 망우동치과 김정은 원장입니다 🙂
오늘은 이가 다물어지지 않는 개방교합에 관해
여러분들께 소개해 드리려 합니다.
우선 Open bite가 생기는 원인과 증상에 대해
간략히 설명을 드리려 하는데요.

많은 분들이 잘 알고 계시다시피 사진과 같이
위, 아래 치열이 다물어지지 않는 부정교합 양상입니다.
유전적인 요인으로 인해 발생하는 경우도 많으며
손가락을 빨거나 혀로 치아를 미는 행위도
위와 같은 문제의 원인이 되기도 합니다.
개인마다 발생 원인이 다르기 때문에
제일 정확한 것은 의료진이 있는 곳에 가셔서
검진을 받는 것이라 할 수 있죠!
처음에는 존재를 명확하게 인지하지 못할 수 있는데요.
이를 방치하게 되면 턱관절 문제나 구강 건조와 같은
다른 문제로도 이어질 수 있기 때문에
어릴 때부터 검진을 습관화하는 것이 좋습니다!
자 그럼 실제 환자분의 치료 과정을 함께 보며
좀 더 자세한 내용을 설명드리겠습니다ㅎㅎ
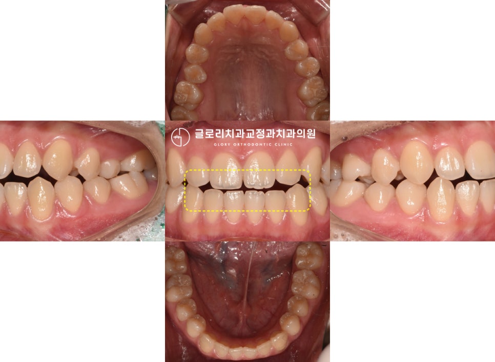
1. 초진
위, 아래 이가 긴밀하게 붙지 않고
떨어져 있는 것을 확인할 수 있었습니다.
표시해둔 곳을 보면 윗니가 아랫니의
1/3 정도 덮고 있어야 되는 게 정상이지만,
아예 붙어 있지 않은 것을 볼 수 있는데요.

다행히 다른 곳은 크게 틀어지거나
삐뚤어진 곳 없이 양호한 편에 속하네요ㅎㅎ
환자께서는 입이 다물어지지 않아
면 음식을 먹기도 불편하고
입이 계속 건조한 느낌이라며 말씀을 해주셨는데요.
이처럼 여러 질환의 원인이 될 수 있기 때문에
우리 아이 혹은 나의 치열이 올바르게 물리지 않는다면
하루빨리 망우동치과 에 오셔서
검진을 받으셔야 됩니다.
아직 이분은 성장이 끝나지 않은 적절한 시기에
저희 병원을 찾아오셨더라고요ㅎㅎ
오랜 고민을 해결해 드리기 위해
글로리에서는 아래와 같은 계획을 세웠습니다.
2. 계획
계획은 생각보다 간단합니다.
고정식 장치를 부착한 뒤 이동방향을 조절하여
올바른 배열을 유도하는 방식으로 진행됩니다.
별다른 발치나 부가장치도 필요하지 않죠!
그러나 중요한 것은 ‘체계적인 계획’인데요.
위 분석 내용을 토대로 환자에게 맞는
맞춤 과정을 세워 진료를 시행해야 됩니다.
그래야 비로소 좋은 결과를 얻게 되는 것이죠^^
망우동 치과 교정 과정을 함께 살펴보겠습니다.
3. 교정 과정
앞서 계획한 내용을 토대로
고정식 장치를 부착하여 치아 이동을 도왔습니다.
배열을 더 고르게 바꿔주는 동시에
올바른 피개 양상을 유도하여
정상 교합이 될 수 있도록 바로 잡기로 했죠!

약속드린 월 내원일자를 잘 지켜주셨기에
빠른 속도로 제위치를 찾아가고 있는
치열을 볼 수 있습니다.
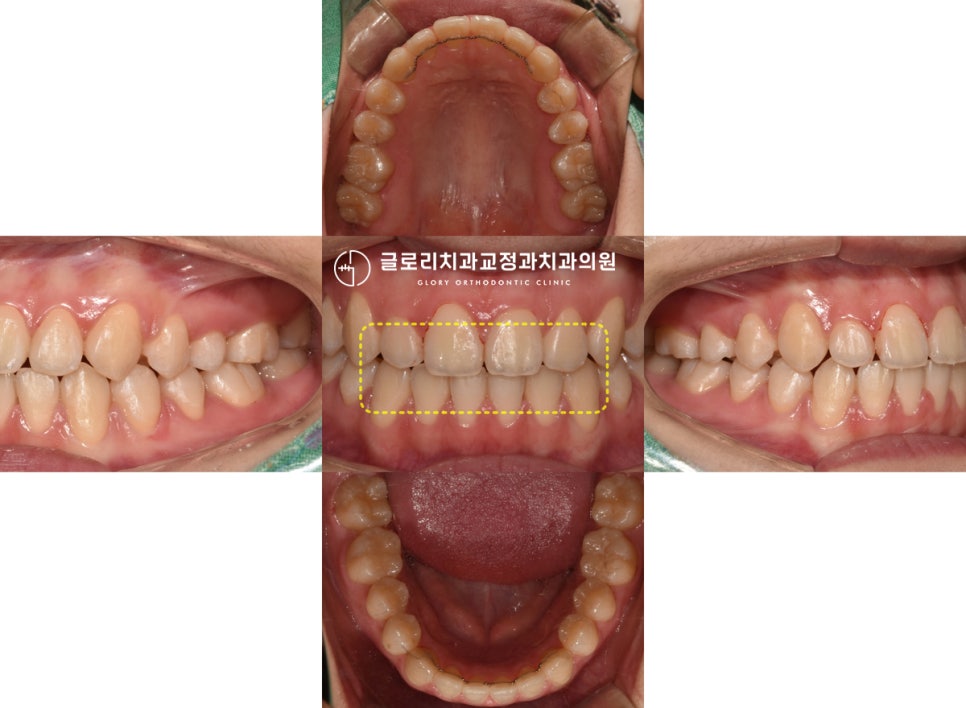
드디어 망우동치과 의 모든 과정이 끝났는데요
초진과 같은 곳을 표시해 놓았습니다ㅎㅎ
어떤가요? 훨씬 안정적인 모습을 보여주고 있죠?

배열도 더 고르게 바뀌었으며,
윗니가 아랫니
를 덮는 이상적인 모습이 되었네요.
몇 번 물어보시더니 너무 편하다며
말씀을 해주셨던 환자분,
끝으로 유지관리에 대한 중요성을
다시 한번 꼼꼼히 설명드리며 모든 과정을
마칠 수 있었습니다^^

오늘 소개해 드린 개방교합을 갖고 있으면
저작에 어려움은 물론이며 심미적인 문제
심지어는 돌출까지 동반되는 경우가 많습니다.
이런 문제는 더 큰 질환의 원인이 될 수 있는데요.
최대한 빠른 시일 내에 망우동치과 에 오셔서
검진을 받고 교정을 시작하는 것이
나의 구강건강에 있어서도 좋은 방법이며,
시간과 비용 면에서도 단축을 시킬 수 있죠!
이와 관련하여 문의할 내용이 있는 분들은
아래 댓글 및 글로리로 연락 남겨주세요.

