안녕하세요, 망우동 교정치과 김정은 원장입니다:)
어금니는 Class I, 치성 1급 형태로 잘 물리지만
유독 앞니 부분만 공간이 떠 있는 상태인 분들이 있습니다.
이를 ‘개방교합'(opne bite)이라고 합니다.
개방교합이 있으면 앞니로 음식을 끊어먹기가 어렵기 때문에
면 종류나 김밥처럼 앞니로 끊어야 되는 음식을 먹을 떄 불편을 느끼는 경우가 많습니다.


나아가 개방교합을 가지고 있는 분들 중 대부분
미세하더라도 입술이 튀어나온 돌출감이 함께 나타난 경우가 있습니다.
위 사진에서 코 끝과 턱 끝을 이은 선(E-line)을 보시면
심한편은 아니지만 입술의 돌출이 있는 것을 확인할 수 있죠.
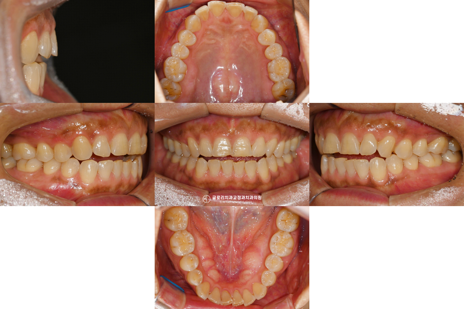
초진 단계 – 개방교합과 상,하악 총생
개방교합은 다양한 원인에 의해 발생할 수 있으며,
그 중 주로 지목되는 것이 어릴 적 구강 악습관입니다.
손가락 빨기, 혀 내밀기 습관이 오래 지속되면
위,아래 앞니가 서로 벌어지면서 개방교합으로 이어지는 것이죠.

또한 수직적으로 과도하게 발달한 골격 상태와
상, 하악 전치의 전방 경사도 원인이 됩니다.


망우동 교정치과 에서 앞서 확인한 구강 모습과 골격적인 모습을 관찰해 보면,
Normodivergent pattern으로 정상적인 수직 골격 패턴을 보여줍니다.
즉, 세로로 과도하게 긴 유형(High angle)이 아니므로,
어금니 과맹출로 인한 전형적인 골격성 개방교합의 가능성은 아닌 것으로 판단됩니다.
다만, Skeletal Class II 관계를 보이고 있으며,
이는 상악의 전방 위치와 하악의 후퇴가 동반된 전후방 부조화를 의미합니다.
치아 각도를 살펴보면 상악 전치는 후방 경사를 보이는 반면,
하악 전치는 과도한 전방 경사를 보이고 있습니다.
이러한 전치부의 불균형은 절단면 간의 정상적인 수직적 접촉을 방해하게 되며,
그 결과 수직 피개(overbite)가 감소하고 전치부 개방교합이 형성된 것으로 판단됩니다.
또한 상·하순이 E-line 대비 전방에 위치해 있어,
전치의 전방 위치와 연조직 돌출이 함께 나타난 상태로 해석할 수 있습니다.
치료 계획 수립 단계
일반적으로 개방교합의 경우,
발치를 통해 구강 내 공간을 확보한 뒤
그 공간을 이용해 전치의 위치와 각도를 조절하면서
수직 피개를 회복하는 방식으로 개선을 도모할 수 있습니다.
다만, 이미 구강 내에 충분한 공간이 존재한다면
반드시 발치를 선택할 필요는 없습니다.
기존의 공간을 활용하여 전치의 경사와 위치를 재조정하고,
필요 시 수직적인 치아이동을 병행함으로써 개방교합을 개선할 수 있습니다.

망우동 교정치과 사진을 보면 구강 내 공간이 비교적 충분하며,
특히 상악은 필요시 사랑니 발치를 통해
추가적인 후방 여유 공간 확보도 가능한 상황입니다.
따라서 전치의 배열과 토크 조절을 중심으로 한
비발치 교정 치료 계획을 수립할 수 있을 것으로 판단됩니다.
인비절라인 투명 교정
개방교합은 투명교정 장치를 통해서도 충분히 개선이 가능하며,
특히 Invisalign은 치아의 수직적 이동과 토크 조절을 정밀하게 설계할 수 있다는 장점이 있습니다.


치료 전 3D 시뮬레이션을 통해 전체 치아 이동 경로를 계획할 수 있으며,
치료 완료 후 예상되는 모습을 미리 확인할 수 있습니다.
어떤 치아가 어느 방향으로 얼마나 이동하는지 시각적으로 확인할 수 있기 때문에
환자의 치료 이해도와 순응도를 높이는 데에도 도움이 됩니다.

치아 표면에 작은 돌기인 어태치먼트를 부착한 모습입니다.
현재는 치아 배열과 전치 경사가 주요 원인이기 때문에
어태치먼트를 활용하여 전치 배열과 토크 조절을 중심으로
치아 자체를 움직여 개방교합을 폐쇄할 수 있습니다.
하지만 하악 전치가 전방으로 기울어져 있고,
전치만 뒤로 눕히면서 수직으로 들어 올려야 하는 경우에는,
주변 치아를 지지점으로 사용할 경우 원하지 않는 치아까지 움직이거나 힘이 분산될 수 있습니다.
따라서 이러한 경우에는 미니스크류(TAD)를 고정점으로 삼아,
치아를 정확한 방향과 힘의 크기로 이동시켜 교정 효과를 높일 수 있습니다.
추가로, 구강 정면에서 보이는 치아 사이 검은 공간(블랙 트라이앵글)은
전치의 수직 이동, 토크 조절, 치아 배열 변화 등으로 발생할 수 있는데,
이는 치료가 마무리되는 시점에 치간삭제(IPR, Interproximal Reduction) 등을 통해
치아 사이 공간을 조정하여 심미적으로 개선할 수 있습니다.
치료 중 주의 사항

인비절라인 투명 교정장치는 탈착이 가능한 가철식 장치입니다.
즉, 치아에 고정되는 브라켓 장치와 달리
환자가 직접 장치를 착용하고 빼야 하기 때문에,
치료 효과를 높이려면 환자의 협조와 착용 시간이 매우 중요합니다.
교정 후 변화와 유지관리

개방교합이 개선되면서 전반적으로 치열이 가지런해진 모습을 확인할 수 있으며,
앞서 망우동 교정치과 에서 말씀드렸던 블랙트라이앵글도 함께 개선되면서
심미적으로 한층 더 향상된 모습을 볼 수 있습니다.


또한, 입술이 편하게 다물어지고 전체적인 안모 균형이 좋아졌습니다.

교정 치료가 끝난 후에도 유지장치 착용이 중요합니다.
치아는 원래 위치로 돌아가려는 성질이 있어 유지장치 없이 방치하면 재발할 수 있습니다.
특히 개방교합의 경우 구강 악습관이 남아 있다면
재발 가능성이 높아질 수 있으므로
혀 위치를 바르게 유지하는 습관도 함께 들이는 것이 좋습니다.
유지장치는 고정식과 가철식이 있으며 담당 교정 전문의와 상담 후 본인에게 맞는 방식을 선택하면 됩니다.
교정 후 정기적인 검진을 통해 치아 상태를 확인하고 관리하는 것이 오래도록 건강한 교합을 유지하는 방법입니다.
이상으로 망우동 교정치과 김정은 원장이었습니다 감사합니다.!
치료기간 : 24.05.31 ~ 25.12.16
