반갑습니다, 망우동 글로리 치과
교정과 전문의 김정은 원장입니다.
우리의 자연치는 서로 맞닿아 물려있는 형태로
배열을 유지하고 있습니다.
그로 인해 정상적인 교합이 가능해지기 때문에
저작활동 또한 할 수 있게 되는 것이죠.
그러나 여러 치아들 중 하나라도 상실하게 된다면
위치 및 교합이 흐트러지게 될 수 있다는 것을
알고 계셨나요?
따라서 한 곳이라도 문제가 생기게 되었다면
최대한 빠른 시일 내에 개선을 하는 것이
전체 구강 건강에 있어 좋은 방법이라 할 수 있습니다.
오늘 망우역 치과 에서 소개해 드릴 내용은
삐뚠 치열과 쓰러진 치아로 인해
활짝 웃지도 못하고 식사가 불편하다며
내원을 하셨던 분입니다.
진료 과정을 함께 살펴보며
좀 더 자세한 내용을 설명드리겠습니다.
초진
『“선생님, 저 이가 너무 삐뚤고
어금니 하나가
제대로 자라지 않은 것 같아서요.”』
망우동 치과 를 내원하셨던 환자께서는
삐뚠 배열 및 어금니 때문에 고민을 갖고 계셨는데요.
본격적으로 환자의 구강 상태를 살펴보며
하나씩 설명을 드리겠습니다.
1) 정면

한눈에 봐도 삐뚠 치열을 갖고 있었습니다.
양쪽 송곳니는 정상 배열보다 위로 올라가 있었으며
여기저기 겹쳐있는 치열이 관찰됩니다.
2) 측면

구치부 쪽을 살펴보면 들쑥날쑥한 치열과 더불어
환자께서 말씀하셨던 문제를 확인할 수 있었는데요.
왼쪽 아래 대구치가 쓰러져있었습니다.
또한 # 12 와 # 22를 보면
위,아래가 거꾸로 물리는 반대교합(crossbite)이
나타난 것을 확인할 수 있었습니다.
3) 교합면

악궁 형태도 심하게 찌끄러져 있네요.
쓰러진 곳도 사진에서 보니
더 확연하게 드러나있었는데요.
배열 공간이 모자라서 여기저기 겹쳐 있는
치아들을 확인할 수 있었습니다.
▶ 위 내용을 종합해서 살펴보았을 때,
모자란 공간으로 인해
전체적으로 심한 총생(crowding)이 관찰되었으며
쓰러진 어금니가 관찰되고 있었습니다.
계획
망우동 치과 에서는 위 진단 내용을 토대로
소구치 발치를 통해 모자란 배열 공간을 확보한 뒤
고르게 펴주는 과정을 진행하기로 했습니다.
쓰러진 것을 계속해서 방치하게 될 경우
편측 저작 습관으로 인해 턱관절에 무리가 갈 수 있으며
심지어는 안면 비대칭으로도 이어질 수 있습니다.
따라서 교정을 통해 일으켜 세운 뒤
올바른 교합 관계로 회복시키기로 했습니다.
* 업라이팅 (uprighting)
: 누워있는 치아를 세워서 제자리로 위치시키는 것.
주로 미니 스크류를 사용하여 진행
진료 과정
계획했던 대로 소구치를 발치했습니다.
* 왜 많고 많은 치아들 중 소구치를 뽑는 걸까요?
-> 비교적 기능이 덜! 중요한 치아이기 때문입니다.
대구치(어금니)들은 저작 기능을 갖고 있으며,
전치부는 절단 및 심미성이 중요한 곳이기 때문에
미적이나 기능의 중요성이 비교적 덜한
소구치를 발치하는 것이죠.

겹쳐 있거나 정상 배열에서 벗어난 곳들을
말끔하게 펴주는 과정을 진행했는데요.
다행히 월 약속도 잘 지켜주셨으며
알려드린 주의사항 및 청결 관리도 잘 해주신 덕분에
예상했던 기간 보다 단축될 수 있었습니다^^
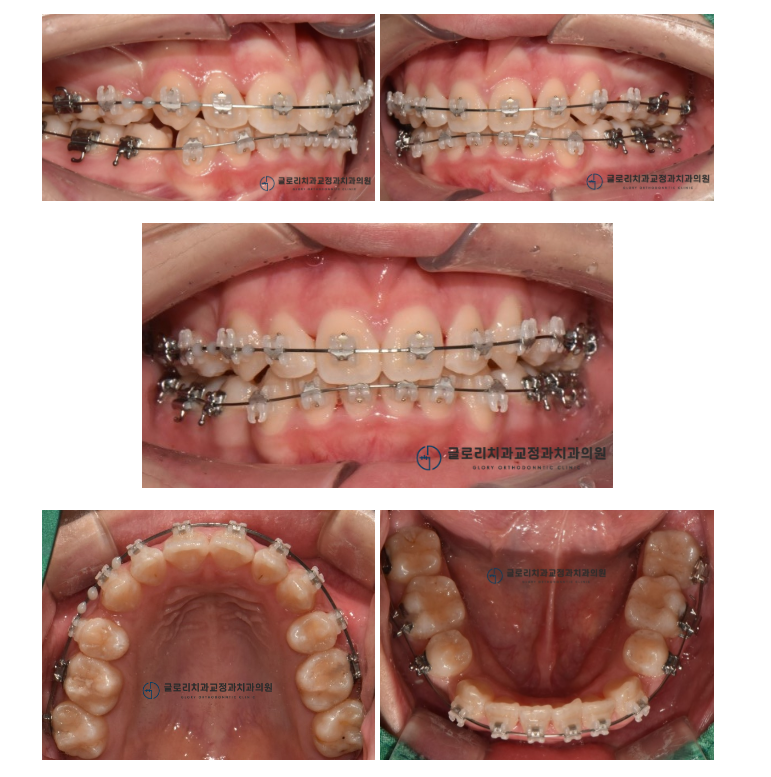
결과
드디어 망우동 치과 의 모든 과정이 마무리되었습니다.
자, 과연 어떻게 변했을지 함께 확인해 볼까요?

전과는 달리 삐뚤어져 있었던 치아들이
매끈하게 펴진 것을 확인할 수 있었습니다.
어금니 교합 또한 톱니바퀴의 형태처럼
맞물려 있는 것을 확인할 수 있었는데요.

무엇보다 중요한 쓰러진 어금니!
과연 제위치를 찾을 수 있었을까요?

다행히 원하던 대로
알맞게 자리를 잡고 있는 것이 관찰됩니다.
파노라마로 확인을 하면
그 차이가 더 크게 느껴지실 텐데요.

쓰러져 있던 전과는 달리,
올곧은 형태로 맹출 되어 있는 것이 관찰되었습니다.

전 – 중 – 후
뻗쳐 있던 앞니도 긴밀하게 배열이 됨에 따라
자연스레 개선이 된 것을 확인할 수 있네요.
이후 망우동 치과 에서는
전처럼 돌아가려는 성질을 막기 위해
고정식 유지 장치를 부착한 뒤 마무리를 도왔습니다^^
하나의 그림을 보고도
떠오르는 생각이 제각각 다르듯이,
같은 케이스라도 의료진마다
추구하는 계획이 달라지게 됩니다.
쓰러진 치아의 개선 방법도
망우동 치과 처럼 일으켜 세울 수도,
아니면 발치 후 보철을 심을 수도,
뽑고 난 후 사랑니를 견인해서 사용할 수도..
여러 방법으로 나뉘게 되는 것이죠.
환자가 원하는 니즈와 의료진의 계획이
딱 맞아야 보다 좋은 결과로 이어질 수 있다는 것을
다시 한번 강조 드리며 이만 글 마무리 짓겠습니다.
이와 관련하여 문의할 내용은
아래 댓글 및 망우동 글로리 치과 로 연락 남겨주시면
친절하고 자세한 설명 도와드리겠습니다.
감사합니다.
