안녕하세요 망우역 교정치과 김정은 원장입니다.

자녀의 덧니가 눈에 띄기 시작하면 부모님 마음이 조급해지기 마련입니다.
“우리 아이도 발치를 해야 할까요?” “위아래 4개 다 뽑아야 하나요?”
이런 걱정을 안고 내원해 주시는 분들이 많습니다.
하지만 모든 경우에 상하악 발치가 필요한 것은 아닙니다.
아이의 골격 상태와 치아 배열에 따라 한쪽 악궁만 발치하는 ‘편악발치’가 적합할 수 있습니다.
오늘은 망우역 교정치과 에서 자녀 덧니 교정 시 고려할 수 있는 편악발치에 대해 안내해 드리겠습니다.
1.덧니 교정, 정밀 진단이 먼저입니다
교정 치료를 시작하기 전에는 반드시 정밀 진단 과정을 거칩니다.

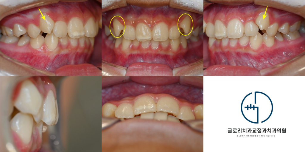
먼저, 정면에서 구강을 관찰하면 송곳니가 위로 솟아 있는 덧니 형태가 눈에 띌 수 있습니다.

그리고 교합면에서 살펴보면 치열이 고르지 못한 상태를 확인할 수 있습니다.
망우역 교정치과 에서는 골격 분석도 함께 설명드리는데요.

위턱과 아래턱이 전후방적으로 조화로운 경우를 ‘골격성 1급’이라고 부릅니다.
그러나 골격이 조화롭더라도 치아끼리의 위치 관계는 다를 수 있습니다.
예를 들어 아래 큰어금니가 위쪽 큰어금니보다 뒤쪽에 물리면 이를 ‘2급 부정교합’이라고 합니다.
이처럼 골격과 치아 교합 상태를 종합적으로 분석해야 적절한 치료 방향을 설정할 수 있습니다.

망우역 교정치과에서 성장기 환자의 교정상담을 진행할 때는 성장판 검사를 안내드립니다.
이 검사는 주로 ‘성장기 교정’을 계획하는 어린이와 청소년에게 적용됩니다.
대략 만 7세 전후부터 사춘기 성장 급성기까지가 주요 대상 연령대입니다. (여아 약 10–13세, 남아 약 11–15세)
성장 시기를 파악하면 골격 교정의 가능성과 치료 시기를 판단하는 데 도움이 됩니다.
만약 성장이 거의 완료된 상태라면 치아 배열에 집중하는 교정 치료를 계획하게 됩니다.
3.편악발치란 무엇인가요?
일반적으로 발치 교정이라고 하면 상하 좌우 작은 어금니 4개를 발치하는 경우가 많습니다.
그러나 모든 환자에게 4개 발치가 필요한 것은 아닙니다.
환자의 골격 상태, 치아 크기, 배열 공간 등을 고려하면 상악만 발치하는 방법이 효과적일 수 있습니다.

이렇게 한쪽 악궁에서만 치아를 발치하는 방식을 ‘편악발치’라고 부릅니다.
망우역 교정치과에서 편악발치를 선택하는 경우는 주로 다음과 같습니다.
2급 부정교합 상태에서 위턱에 공간이 부족하고 아래턱 치열은 양호할 때, 상악 발치만으로도 좋은 결과를 기대할 수 있습니다.
“윗턱만 발치하면 교합이 이상해지지 않을까요?” 라는 질문을 하시는 분들이 많이 계십니다.
결론부터 말씀드리면, 정확한 진단과 치료 계획이 있다면 편악발치로도 안정적인 교합을 형성할 수 있습니다.

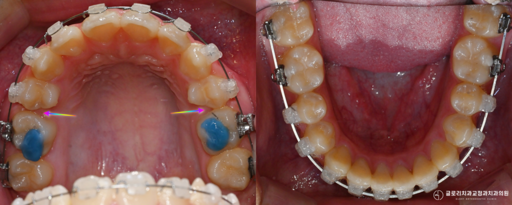
본격적인 치아이동과 함께 상악 좌우 작은 어금니를 발치하면 공간이 확보되는데,
이 공간을 활용해 위로 솟아 있는 송곳니를 정상 위치로 배열할 수 있습니다.
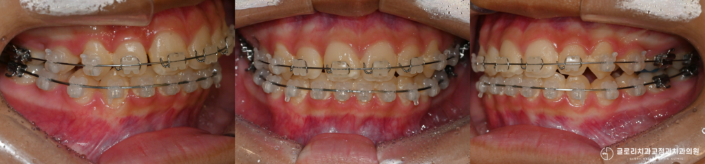
이때 보통 어금니는 2급 관계로, 송곳니는 1급 관계로 교합을 형성하게 됩니다.

2급이나 3급 교합 등 특정 상황에서는 편악발치가 오히려 효율적인 선택이 될 수 있습니다.
4. 교정 치료, 개인별 맞춤 계획이 중요합니다.
사람마다 구강 환경이 다르기 때문에 모든 분에게 동일한 방법을 적용하기는 어렵습니다.
어떤 분에게는 4개 발치가, 또 어떤 분에게는 편악발치가, 때로는 비발치 교정이 적합할 수 있습니다.

정확한 진단 없이 치료 방법을 결정하면 예상치 못한 결과로 이어질 수 있습니다.
따라서 덧니나 부정교합으로 고민이 있으시다면 교정과 전문의에게 정밀 검진을 받아보시길 권합니다.
자녀의 덧니 교정이나 본인의 치열 교정을 고려 중이시라면 전문가와 상담을 통해 정확한 정보를 얻어보시기 바랍니다.
지금까지 망우역 교정치과 김정은 원장이었습니다 !
치료기간:24.08.28~25.10.27
