안녕하세요,
교정과 전문의 김정은입니다.
여러분들은 치아 문제로 인해
마음껏 웃지도, 씹지도 못한다면
어떠실 거 같으신가요?
제가 만일 그런다면
상상만 해도 답답할 것 같습니다.
특히 여러 개의 치아 문제가
동시에 나타난다면
그 불편함은 더욱 클 수밖에 없겠죠.
특히 뼈 속에 묻혀 나오지 못한 이가 있고,
동시에 앞니가 제대로 물리지 않으며,
치아 중심선이 맞지 않을 뿐만 아니라
사랑니 때문에 어금니가 손상되었다면?
생활에서의 불편함은
이루 말할 수 없을 거예요.
음식을 제대로 먹기 어려울뿐더러
웃을 때마다 신경이 쓰이고,
말할 때도 부자연스러움을 느끼게 되죠.
불편은 여기서 그치는 게 아니라
턱관절에도 무리가 가고
소화에도 영향을 미칠 수 있습니다.
이러한 복합적인 양상을 보이는 케이스를
복합 부정교합 이라 일컫습니다.
그렇다면 이런 복잡한 문제들은
어떻게 해결할 수 있을까요?
먼저 각각의 문제가 무엇인지
정확히 알아보는 것부터 시작해볼게요.
| 각 문제별 전문 용어 설명

<매복치>
뼈나 잇몸 속에 묻혀서
정상적으로 나오지 못한 치아를 말해요.
특히 작은 어금니가 매복되면
전체 치아 배열에 큰 영향을
미칠 수 있답니다.
<치근 흡수>
사랑니가 앞쪽 치아를 압박하여
치아 뿌리가 녹아 없어지는 현상이에요.
방치하면 해당 치아를 잃을 수도 있는
심각한 문제입니다.

<절단연 교합>
위아래 앞니가 끝과 끝으로
맞물리는 상태예요.
정상적으로는 윗니가 아랫니를
약간 덮어야 하는데,
이런 교합에서는 앞니에 과도한 힘이
집중될 수 있어요.
<정중선 불일치>
윗니와 아랫니의 중심선이
일치하지 않는 상태로,
기능적 문제와 함께 심미적인 문제도
동반하게 됩니다.
이제 각 문제들이 무엇인지 알았으니,
실제로는 어떤 과정을 통해 해결하는지
단계별로 살펴볼까요?
오늘은 준비한 예시 자료를 보면서
자세하게 설명해드리도록 하겠습니다.
| 1. 검진
초진 검사에서는
정밀한 진단이 가장 중요해요.


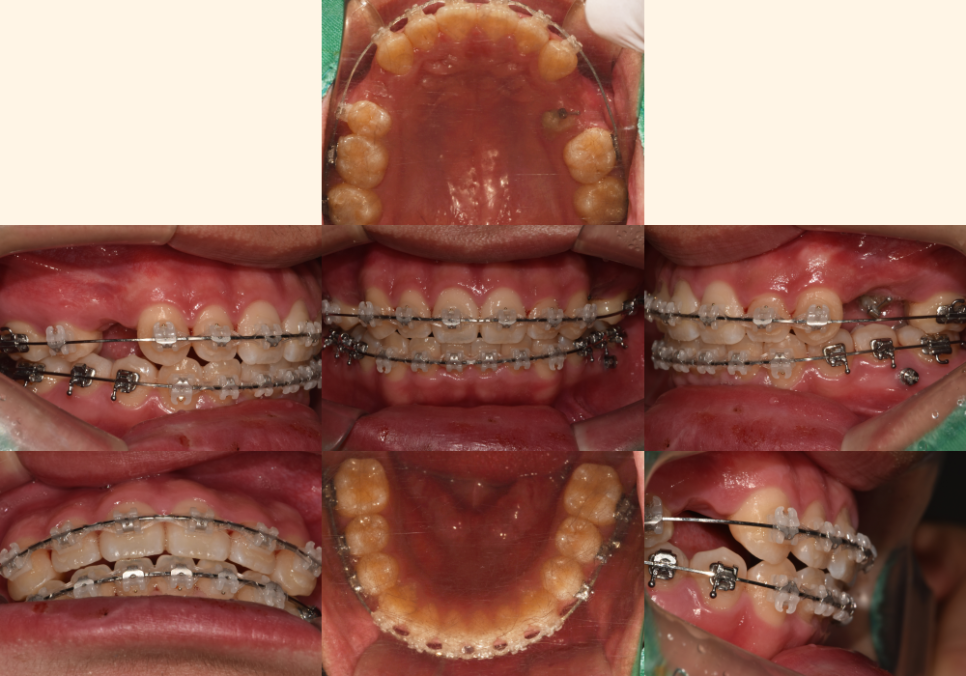
22.03.26
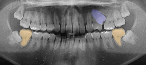
먼저 구내 촬영과 파노라마 촬영을 통해
매복된 치아의 정확한 위치와 방향을 파악합니다.
또한 3D CT 촬영으로 뼈의 상태와
주변 조직과의 관계도 정확히 분석하죠.

22.03.26
절단연 교합의 경우,
단순히 치아 배열만의 문제인지
아니면 골격적인 문제를 동반하는지
감별해야 됩니다.
골격적인 문제를 동반하면
치료 방법이 달라질 수 있거든요.
정중선 불일치는
윗니와 아랫니 각각의 문제인지,
아니면 전체적인 안면 대칭과 관련된 문제인지
종합적으로 판단합니다.
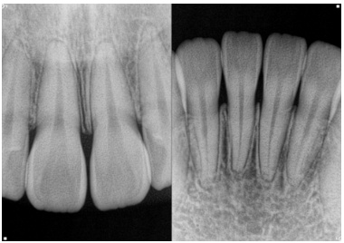
심각한 치근 흡수 문제는
흡수 정도를 정확히 측정하여
해당 치아를 살릴 수 있는지 여부를
결정해야 됩니다.
[공간 확보]

22.08.12
매복된 치아를 끌어내기 위한
공간을 만드는 과정입니다.
첫 번째 작은 어금니를 발치하여
필요한 공간을 확보해요.
이 치아는 저작 기능이 상대적으로 낮고,
발치 후 공간을 닫기에도 유리한 위치에 있습니다.
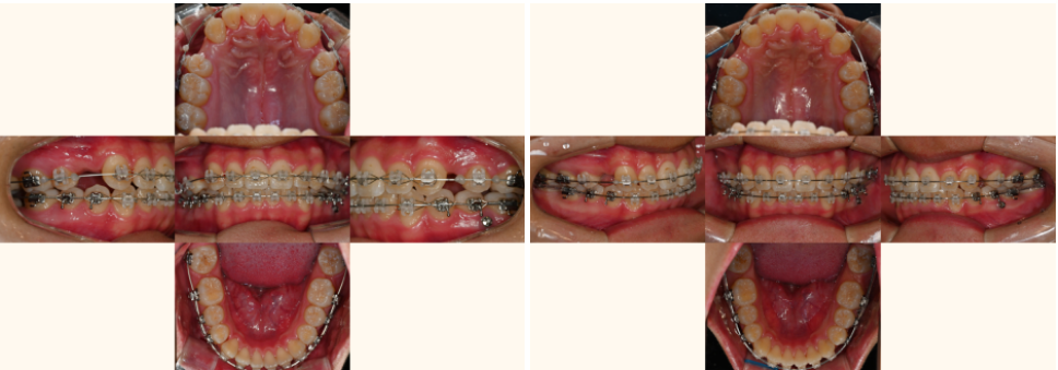
[매복치 견인]

23.02.25
잇몸을 살짝 절개하여 매복된 치아에
교정 장치를 부착하고,
미니스크류나 기타 고정원을 이용해
서서히 정상 위치로 끌어내는 과정이죠.

23.06.23 // 23.11.25
이 과정에서는
이가 올바른 방향으로 나오도록
정기적인 조정과 관찰이 필수입니다.
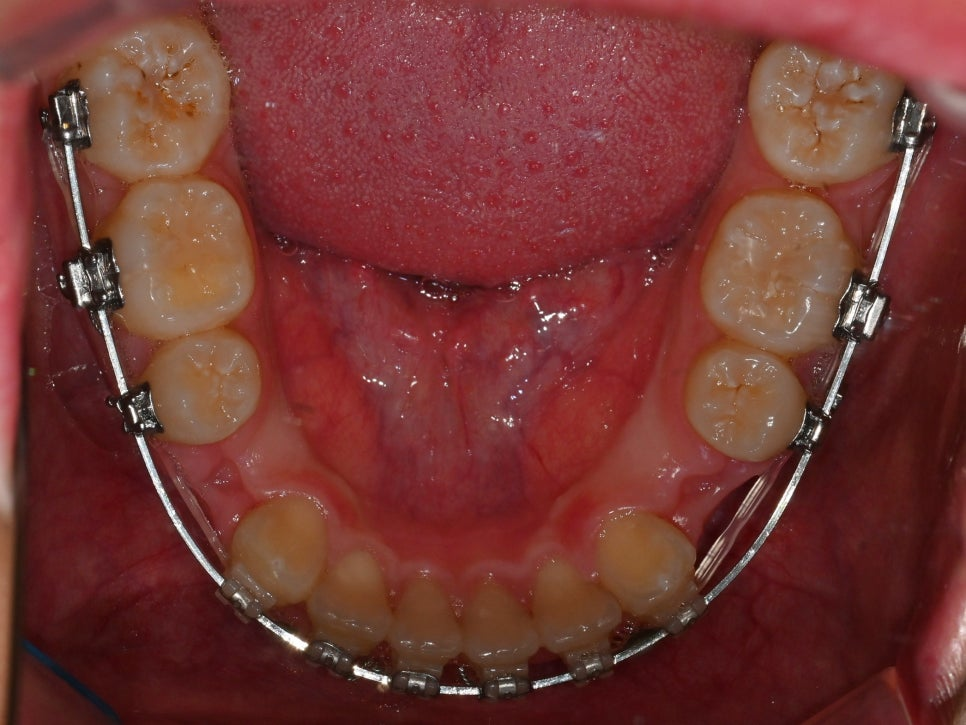
[사랑니 이동]

24.05.01
손상된 어금니 대신
건강한 사랑니를 앞쪽으로 이동시켜
어금니 역할을 하도록 하는 과정입니다.
이는 임플란트나 브릿지 없이도
자연치만으로
문제를 해결할 수 있습니다.

24.09.05//25.01.10
동시에 절단연 교합과 정중선 문제도
전체적인 치아 이동 과정에서 같이 개선됩니다.
치아들이 올바른 위치로 이동하면서
자연스럽게 교합 관계도 정상화되죠.
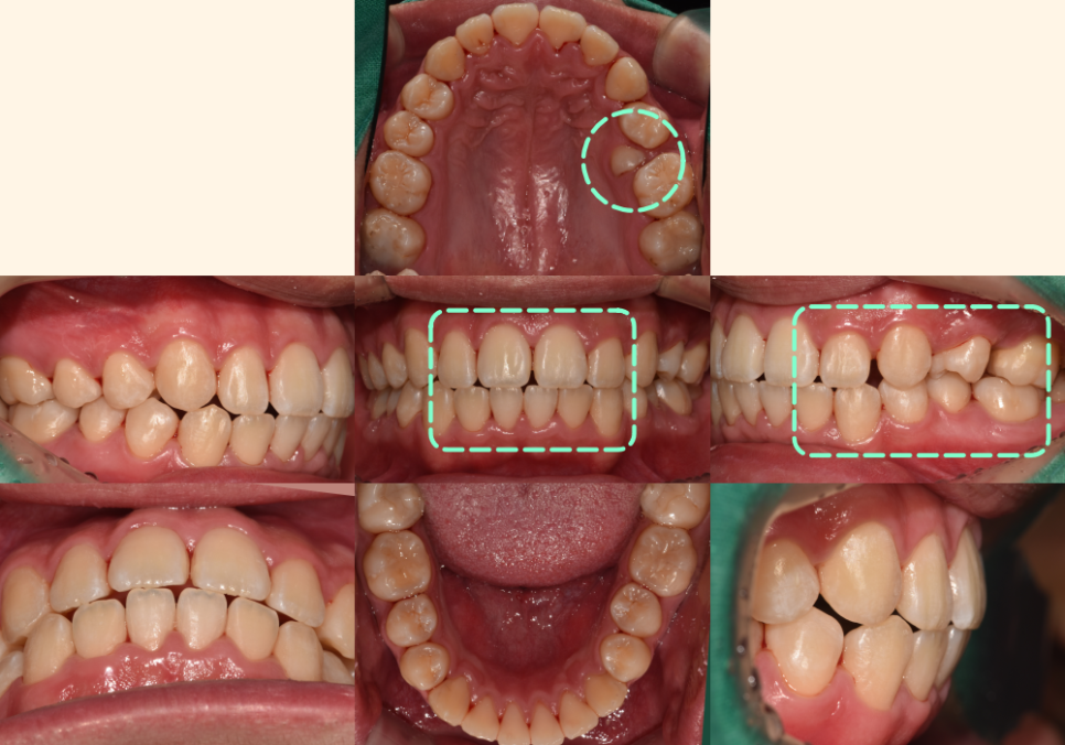
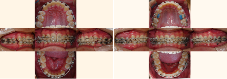
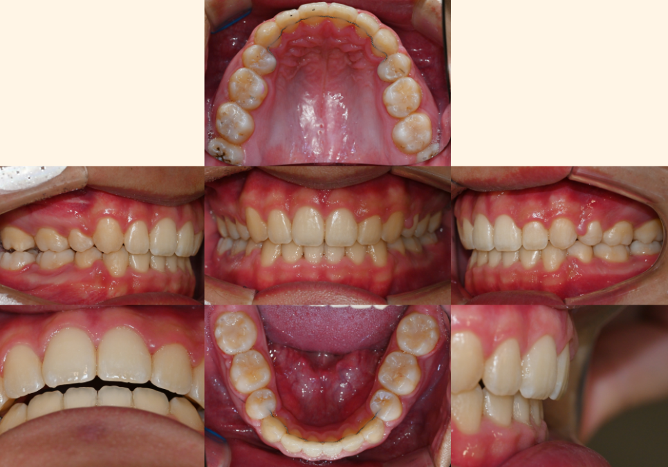
| 3. 종결 단계
25.06.12
매복되었던 치아는
완전히 정상 위치로 나와서
제 기능을 다하게 되었고,
사랑니도 성공적으로
어금니 자리에 정착하여
저작 기능을 담당하게 되었습니다.
특히 주변 치조골도 자연스럽게 재생되어
마치 원래부터 그 자리에 있었던 것처럼
건강한 상태를 보인다는 거예요.

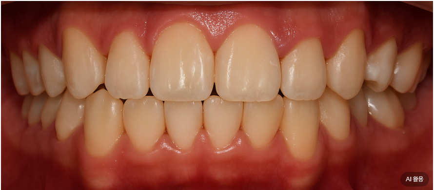
25.06.12
절단연 교합은 완전히 개선되어
윗니가 아랫니를 적절히 덮는
정상적인 교합 관계가 확립되었고,
정중선도 완벽하게 일치하여
기능적으로나 심미적으로나
만족스러운 결과를 얻었습니다.
지금까지 복합 부정교합의 비보철적 해결 방법에
관련된 정보를 공유해 드렸습니다.
통상적인 내용이라 개인의 구내 환경에 따라
달라질 수 있답니다.
특히 매복치나 사랑니 문제,
절단연 교합이나 정중선 불일치 등
복합적인 치아 문제를 가지고 계신다면,
관련 증상이 있다면,
한 번쯤 전문의와 상담받아보시는 게
어떨까 싶습니다.
임플란트나 브릿지 같은 보철치료 없이도
자연치만으로 충분히 해결 가능한 경우가
많습니다.
무엇보다 조기 발견과 알맞은 치료 계획이
성공적인 결과의 열쇠라는 점,
꼭 기억해 주세요!
지금까지 교정과 전문의 김정은이었습니다.
긴 글 읽어주셔서 감사합니다.

치료기간 : 22.03.26 ~25.06.12
