『안녕하세요!
교정과전문의 김정은입니다.』
오늘 소개해드릴 의학 정보는
많은 분께서 고민하고 있으실
‘이 사이 벌어짐’ 입니다.
간격이 좁다면 크게 신경쓰지 않을 겁니다.
그러나, 눈에 띌 정도로 넓다면
자꾸만 개선하고 싶겠죠.
특히 입을 벌렸을 때 바로 보여지는
전치부라면 더더욱 그러합니다.
오래 방치할수록 스트레스는 계속 받고
콤플렉스가 생길 수 있습니다.
때문에 전체 교합에 문제가 없다는 가정하에
부분교정을 통해 해결해볼 수 있습니다.

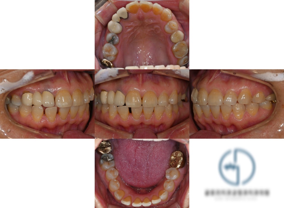
이와 같이 아래 앞니 사이 벌어짐은
말할 때, 밥 먹을 때 잘 보입니다.
살짝 다문다 하더라도
이와 같이 형성된 공간을 찾을 수 있습니다.
간격이 어느 정도 있는 편이라
눈에 크게 띌 수밖에 없는데요.
전반적으로 봤을 때,
전체 교합은 괜찮습니다.
부분교정을 통해 개선해볼 수 있습니다.
그런데 심미적으로 크게 신경 안쓴다 하여
진료를 받지 않아도 문제가 생깁니다.
왜냐하면 치간이개는 시간이 갈수록
점점 더 심해질 가능성이 높습니다.
나이가 들어서 치주질환의 발병률이 높아져
그 영향을 받는 것 역시,
이같은 상황을 일으키는 원인이 됩니다.

간격이 커질 경우,
이처럼 치석이 쌓일 가능성이 높습니다.
때문에 빠르게 진행하는 게 구강 건강에 좋은데,
나이가 들었다 하더라도 필요하다면 하는 게 좋습니다.
간혹 연령이 치료에 중요한 요소다
그렇게 여기실 겁니다.
빨리 진행할수록 좋은 결과를 볼 수 있긴 하나,

이처럼 부분 교정이 필요한 경우에도
연령에 상관없이 할 수 있다면 하는 게
구강 건강과 관리 측면에서 봤을 때 좋습니다.
『기간은?』
전체를 움직이지 않으므로
짧게는 6개월, 길게는 12개월이 걸릴 수 있습니다.

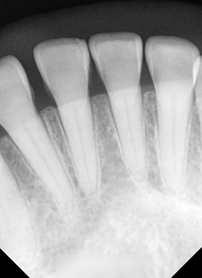
다른 곳들은 문제가 없는지
전체 파노라마 사진을 통해 확인해볼 수 있습니다.
다행히 크게 벌어짐이 있지 않으며
오밀조밀 잘 붙어있습니다.
아래 앞니 쪽만 개선이 필요합니다.

하악 전치부의 간격에 의하여
Space가 눈에 띄게 도드라집니다.
특히 41번과 42번에서의 간격이
넓은 편이었기에 진행되는 과정을 파악해
기간을 결정해야 될 것으로 사료됩니다.
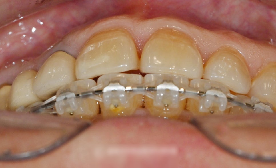
진단이 이뤄졌다면 하악 전치부 6개,
33번부터 43번에 해당하는 치아에
브라켓을 붙이는 과정을 선행합니다.

전체에 브라켓을 붙이는 과정이 아니기에
통증에 대한 부분은 심하지 않을 겁니다.
그러나 브라켓을 붙인 첫날이나
고무줄에 텐션을 준 날에는
조금 불편감이 느껴지실 수 있습니다.

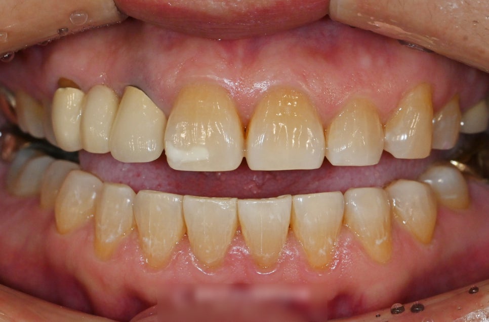
서서히 힘을 주면서 시간을 두고
경과를 지켜보면,
벌어져있던 앞니 공간은 닫힙니다.
물론 42번과 43번의 간극을
메꿔줘야 되기에
좀 더 힘을 주고 움직여야 되는데요.
어떻게 힘을 주면서 움직일지
계속해서 추이를 지켜보며 진행합니다.

그렇게 수 개월에 걸쳐서
아래 앞니 벌어짐은 닫히게 되었습니다.

가지런해짐과 동시에
전반적으로 정리도 되어있습니다.
이처럼 긴 시간이 아닌 짧은 기간 내에도
충분히 부분교정을 통해 개선할 수 있습니다.
벌어진 틈에 의하여 스트레스를 받는다면,
가까운 치과에서 검사를 받으시는 게 좋습니다.
방치할수록 치열이 어지러뜨려질 수 있습니다.
빨리 찾아갈수록
오히려 더 쉽게 끝낼 가능성이 높습니다.
더 많은 시간, 비용을 들이는 것보다
빠른 시일 내에 찾아가셔서
검사라도 받아보셨으면 합니다.
오늘의 글도 읽어주셔서 감사드리며,
도움이 되셨으면 합니다.
감사합니다, 교정과전문의 김정은이었습니다.
.jpg?type=w966)
치료 기간 : 21.10.20~24.10.09
