안녕하세요,
교정과 전문의 김정은입니다.
오늘 제가 소개해 드릴 치료 과정은
삐뚤빼뚤한 치열 교정 에 대한 내용을
알려드리려 합니다.
먼저, 비발치로 진료를 할 수 있는 경우와
그렇지 않은 경우에 대해서
설명해 드리겠습니다.
이를 빼내지 않고
치아 배열을 올곧게 하는 것을
비발치로 진행을 했다 하는데요.
이를 빼내지 않고
기존의 자연치들을 이동시켜
공간을 확보하거나 재배열을 하는 것이죠.
하지만 모든 케이스에서
이것이 가능한 것은 아닌데요.
심하지 않게 치열이 틀어져 있거나
정상적으로 턱뼈 발달이 되어 있거나
경미한 부정교합이 있을 때는 가능합니다.
다만, 심하게 공간이 부족하거나
치아와 턱의 크기가 불일치가 심하거나
복잡한 교합 이상이나 턱 기능 이상이
동반되었을 때에는 어려움이 있습니다.
오늘은 이와 관련된 치료 과정을
소개해 드리도록 하겠습니다.

치료기간 : 23.11.24 ~25.01.31
| 1. 검진

23.11.24
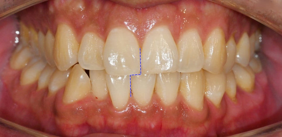
안면 얼굴 분석을 해본 결과,
활짝 웃었을 때 삐뚤빼뚤한 치열이 보이는데요.
위턱 치열과 입술이 오른쪽으로
높게 기울어져 있었습니다.

23.11.24
눈 아래선을 기준으로
골격의 비대칭은 심하지 않았으며,
세팔로 전면 모습에서도
대칭적인 것을 확인할 수 있습니다.

23.11.24
얼굴의 길이가 수직적으로 정상적이고
위아래턱이 조화로운 골격성 1급이었습니다.
더불어 골격에 대한 위아래 앞니의 각도가
알맞은 것을 알 수 있었습니다.

23.11.24
다만, 위 아랫니가 삐뚤빼뚤하고
정중선이 틀어져 있고

23.11.24

23.11.24
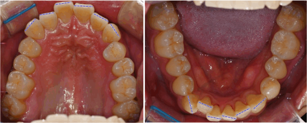
맹출 공간이 부족하여
조금 치열이 안 좋습니다.

23.11.24
엑스레이를 분석해 보았을 때는
남아 있는 사랑니는 3개로
위턱 왼쪽에만 없었습니다.

23.11.24
위아래 어금니 간 폭경의 비율이
부조화를 보인 것을 볼 수 있습니다.
더불어, 왼쪽 비강의 협착과
상악동 염증 소견이 보입니다.

23.11.24
추가로 턱관절 검사를 시행했습니다.
턱관절은 측두골과 하악골을 역할을 하며,
음식을 먹거나 말을 할 때
움직이면서 사용하게 되는데요.
자연치의 교합 상태와 밀접한 관련이 있어
배열이 틀어질 경우 턱관절 관계에
문제가 생길 수 있습니다.
따라서, 이것은 이가 이동하였을 때
어금니끼리 맞물리는 위치가 변하게 되면
턱에도 영향줄 수 있기에
턱관절 검사를 같이 하는 것이 좋습니다.

23.11.24
치근의 길이는 양호한 것까지
확인한 뒤 다음과 같은
계획을 수립할 수 있습니다.
|2. 계획
검사 결과를 토대로
다음과 같은 진료를 할 수 있었습니다.
앞서 말씀드렸듯이
비발치는 심하지 않게 치열이 틀어져 있거나
정상적으로 턱뼈 발달이 되어 있거나
경미한 부정교합이 있을 때는 가능합니다.
이 케이스는 이 조건에 부합되었기에
이를 빼내지 않고 교정을 할 수 있습니다.
교합을 맞추기 위해서
미니 스크류를 심을 수 있으며,
위아래 앞니 사이 블랙 트라이앵글이
예상될 수 있으며, 치료를 완료하였을 때
자연치 사이를 다듬는 치간 삭제가 필요합니다.
교정 치료 중 턱관절 불편 시
물리 치료와 약물치료가 필요할 수 있으며,
총생이 완화되면서
입술 돌출감이 생길 수 있으나
심하지 않을 것으로 예상되었습니다.
다만, 배열을 완료한 뒤
입을 조금 더 넣고 싶을 경우
사랑니를 발치하여 후방 이동을
시킬 수 있습니다.

23.11.24
현재의 치열을
모의 시뮬레이션을 통해
가상 결과를 확인한 뒤
상담을 진행한 후 진료를 시행합니다.
| 3. 과정
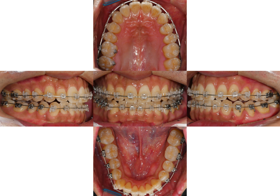
장치는 클리피씨 장치를 사용했습니다.
이것은 자연치 이동 시 마찰력을 줄이며
통증 정도가 경감될 수 있습니다.
더불어, 음식 끼임이 덜하고
심미적입니다.
추가로 자가 결찰을 하기에
내원 시 진료 시간을 줄일 수 있습니다.

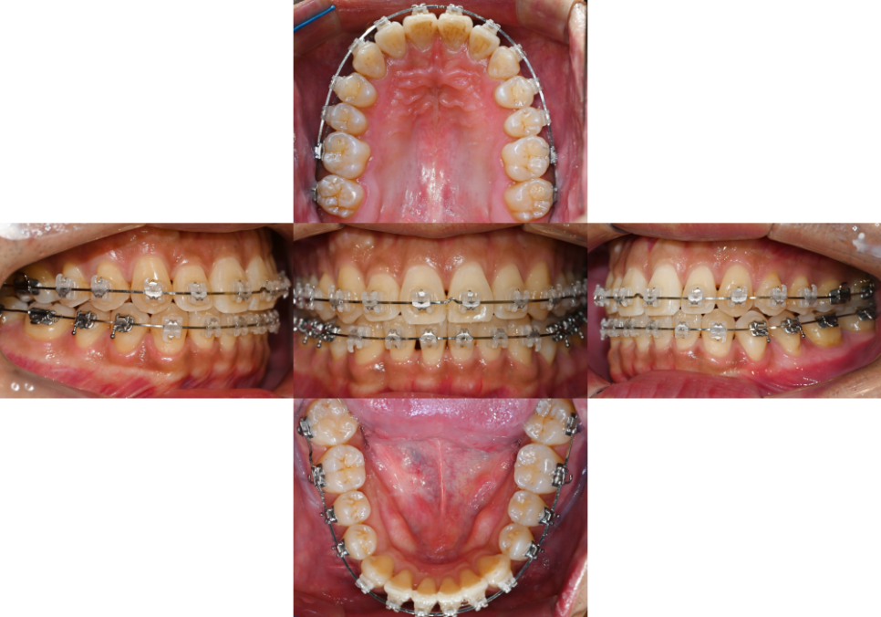
24.03.23
브라켓을 부착한 뒤
정확한 치아 맞물림을 위해
위턱 오른쪽 구치부에 버튼을 부착한 것을
보실 수 있습니다.

24.07.15
이러한 과정 덕분에
치열과 아래 악궁의 형태 개선이 된 것을
확인할 수 있었습니다.
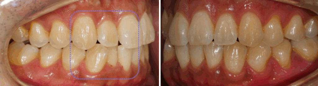
치열이 어느 정도 올곧게 변하면서
치아 사이 공간이 나타난 것을
볼 수 있는데요.
이는 앞서 계획에서 말씀드렸듯이
치아 사이를 삭제하여
미세 조정을 하면서 맞출 수 있습니다.
| 4. 완료

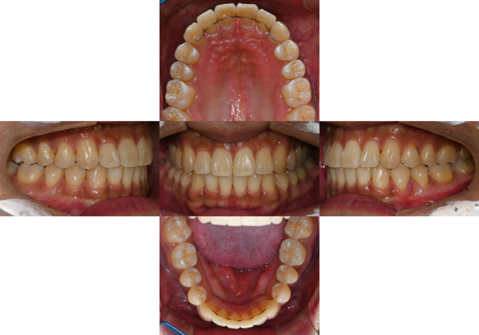
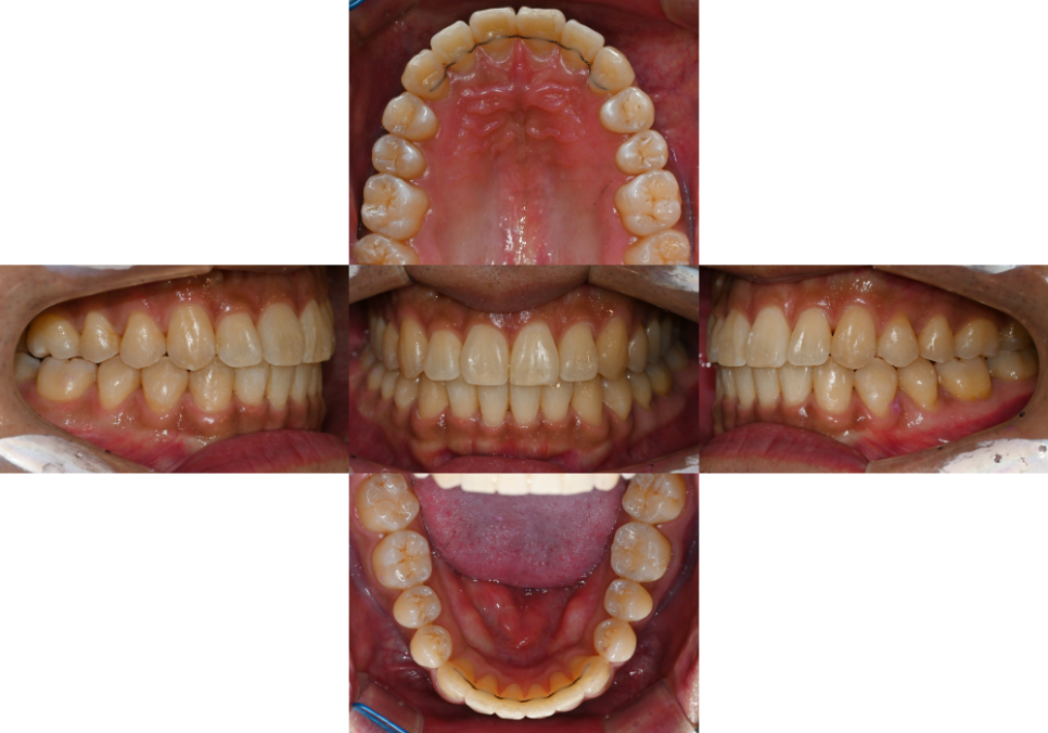
25.01.31
총 14개월의 치아 교정 결과
위아래 맞물림이 자연스러우면서도
위아래 정중선이 알맞게 맞는 것을
확인할 수 있습니다.

25.01.31
실제 치열을 보았을 때도
정중선이 딱 맞는 것을 볼 수 있으며
이후 치열이 다시 되돌아가지 않도록
유지 장치를 부착한 것을 볼 수 있었습니다.
오늘 제가 소개해 드린 치료 과정은
삐뚤빼뚤한 치열 교정 에 대한 내용이었습니다.
이와 관련된 내용이 궁금하셨던 분들께
도움이 되었으면 좋겠습니다.
이번 주도 고생 많으셨습니다.
교정과 전문의 김정은이었습니다.
감사합니다.
