성인 이소맹출, 어금니 반대교합 총생(덧니)가 있을 때 치아 교정

You are currently viewing 성인 이소맹출, 어금니 반대교합 총생(덧니)가 있을 때 치아 교정

안녕하세요,

교정과 전문의 김정은입니다.

모든 영구치가 알맞은 자리에 나오면 좋겠지만,

그렇지 못하고 제 위치가 아닌 자리에

자라날 때도 있는데요.

이것은 보통 턱뼈가 작거나

이가 나올 공간이 부족할 때 많이 발생되며,

특히 앞니와 위 어금니에서

자주 나타납니다.

이러한 증세는

혼합치열기에 개선하는 것이 좋지만

어른이 되고 나서도 개선할 수 있는데요.

오늘은 이러한 문제를 개선할 수 있는

치아 교정 과정에 대해

소개해 드리도록 하겠습니다.

치료기간 : 23.04.26 ~25.03.07


이 글을 의학정보를 제공하기 위해

작성된 글임을 안내드립니다.

23.04.26

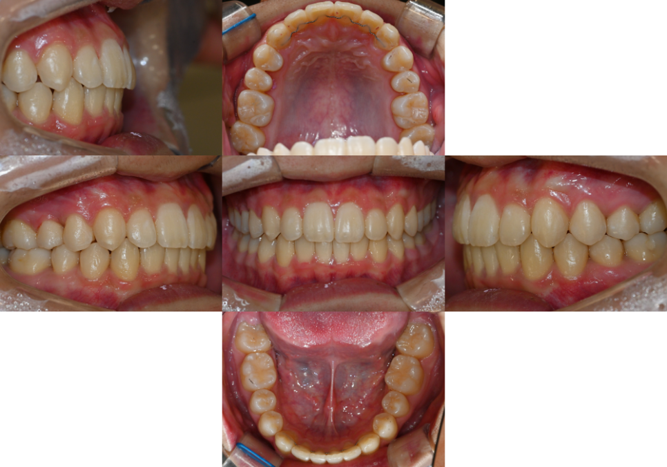
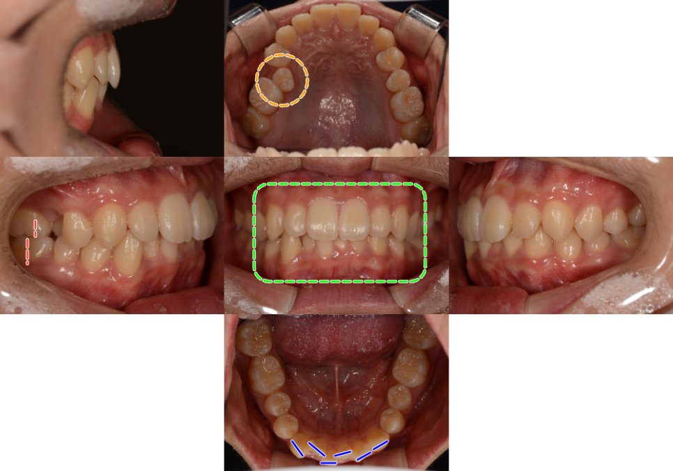
구강 내 모습을 보면

위아래 전치부 치열이

삐뚤빼뚤한 덧니가 나타났습니다.

특히 아래쪽의 총생이

더 심하게 나타나 있었는데요.

더불어, 오른쪽 위 작은 어금니 하나가

정상적인 치열보다 안쪽으로

이소맹출된 것을 관찰할 수 있었습니다.

그로 인해 오른쪽 위아래

작은 어금니 부위에

반대 교합이 나타나 있었습니다.

23.04.26

추가로, 위 아랫니의 관계를 살펴보았을 때

윗니가 아랫니를 과하게 덮고 있는

과개 교합으로 판독할 수 있었습니다.


23.04.26

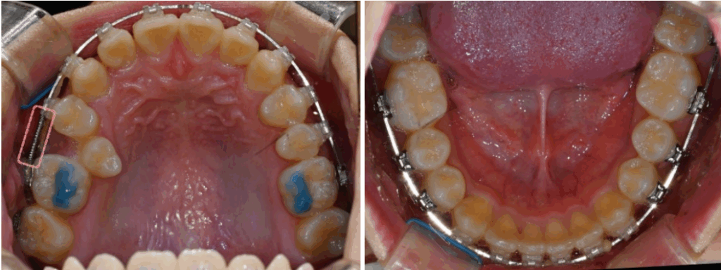
치아 배열을 하기 위해

1개의 위턱 미니 스크류와

오픈 코일 스프링을 활용한

비발치 교정을 계획하였으며,

배열 이후 기존 상태의 안모를

유지하는 방향으로 계획했습니다.


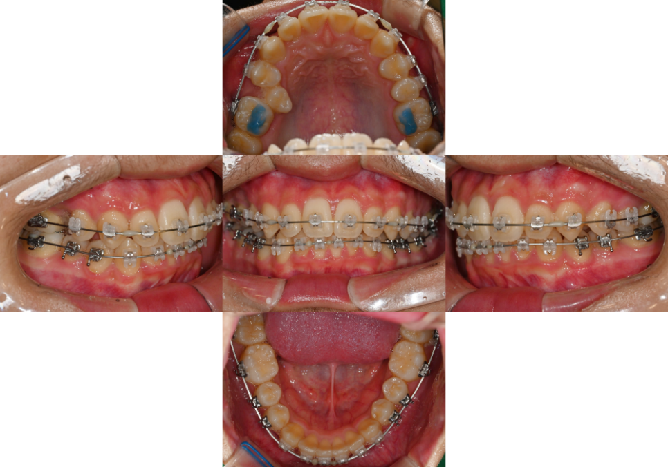
23.09.08

이소맹출된 오른쪽 위 작은 어금니 하나를

제외한 자연치 겉면에

클리피씨 브라켓을 부착했습니다.

삐뚤 빼뚤한 치열을

1차로 배열합니다.

24.01.22

치열이 1차적으로 개선되었을 때

오른쪽 위 작은 어금니가

이동될 수 있는 공간을 만들어 주는데요.

24.01.22

이후 미니 스크류를 식립하여

오픈 코일 스프링으로 인해

오른쪽 전치부의 치열이

이동되지 않도록 고정합니다.

24.05.13

24.09.24

이후 어느 정도 당겨졌다면

브라켓을 부착해

세부 조정을 진행합니다.

25.03.07

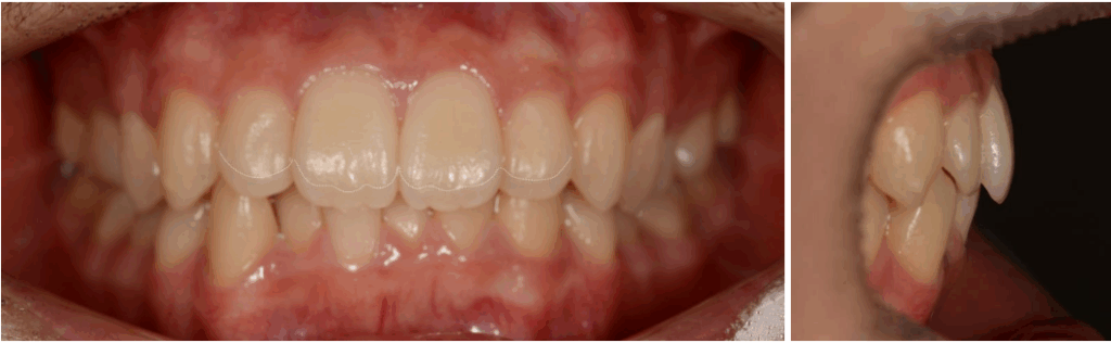
치료 후 모습을 보면

위아래 전치부 덧니와

이소맹출 어금니가 개선되었으며,

윗니가 아랫니를 과하게 덮고 있는

과개 교합이 해결되었습니다.

오늘 제가 소개해 드린 치료 과정은

성인 이소맹출, 어금니 반대교합,

총생(덧니)가 있을 때 치아 교정 에

대한 내용이었습니다.

이와 관련된 내용이 궁금하셨던 분들께

도움이 되었으면 좋겠습니다.

교정과 전문의 김정은이었습니다.

감사합니다.