안녕하세요!
교정과 전문의 김정은입니다^^
오늘은 많은 분들이 고민하고 계실
치아 결손과 무턱 문제에 대해
자세히 말씀드리려고 해요.
혹시 거울을 보실 때
“내 턱이 너무 들어가 보이는 것 같은데…”
하는 생각이 드신 적 있으실까요?
특히 여러 개의 치아를 잃으신 후에
얼굴 형태가 변한 것 같아서
걱정이 많으실 텐데요.
오늘 함께 살펴보실 내용이
많은 도움이 되실 거라 생각합니다^^
| 1. 치아 결손?
먼저 안심하셔도 되는 것이,
치아 결손은 생각보다
흔한 구강 문제라는 점입니다.
한두 개 정도의 치아가 없는 경우는
전체 인구의 1-2% 정도에서 나타납니다.
하지만 7-8개나 되는
여러 개의 치아가 동시에 결손된 경우라면
조금 더 세심한 관리가 필요해요.
이런 상황에서는 단순히 치아가 없다는 것
이상의 문제들이 연쇄적으로
나타나게 되거든요
먼저 나타나는 변화는
남아있는 치아들의 위치가
변하는 겁니다.
빈 공간으로 치아들이 기울어지거나
이동하면서 교합이 무너지고,
치아 사이가 벌어지고,
깊게 물리는 현상이 나타납니다.
결과적으로 음식을 제대로 씹기 어려워지는
저작 기능의 저하까지
겪게 되시는 거죠.
더 걱정스러운 것은
얼굴 형태의 변화입니다.
턱의 높이가 낮아지면서
입 주변이 함몰되어 보이고,
이른바 ‘무턱’ 현상까지 나타날 수 있습니다.
하지만 걱정하지 마세요!
이런 복합적인 문제들도
체계적인 치료를 통해
충분히 개선할 수 있습니다.
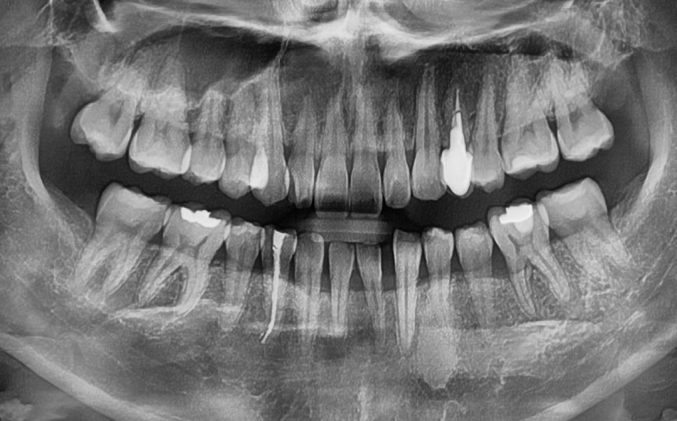
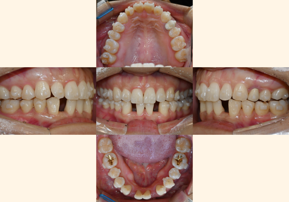
| 2. 정밀한 초진 검사가 성공의 첫걸음


23.10.20
먼저 구강 내 전체 상황을
파악하는 것부터 시작합니다.
위 사진을 보면
전체적으로 치열이 틀어져 있는 것을
확인할 수 잇었으며
결손된 부위로 인해
아랫니가 벌어져 있는 것을
확인할 수 있습니다.

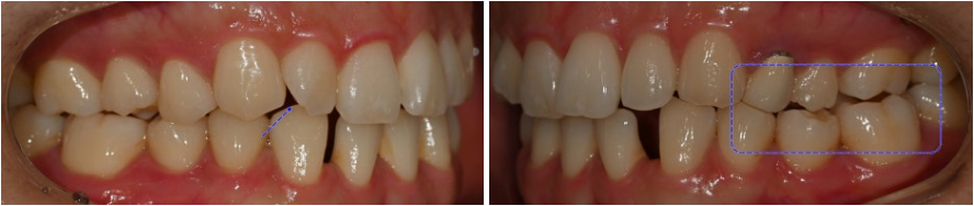
23.10.20
양쪽 교합을 확인해 보면
왼쪽 어금니 부위가
반대교합이 확인됩니다.
윗니는 삐뚤빼뚤하며
위 앞니가 아랫니를 덮는 양이 부족합니다.

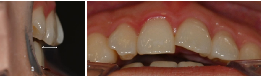
23.10.20
교합면을 보았을 땐
아래 앞니 2개가 결손되어 있으며
사이 공간이 있습니다.

23.10.20
위아래 앞니 사이 거리가 과도합니다.


23.10.20
얼굴 분석을 통해서는
전체적인 얼굴 형태의 변화를 관찰합니다.
턱끝이 뒤로 들어가 있는 무턱 형태인지,
코와 입술, 턱끝의 상대적 위치 관계가
어떻게 변화했는지를
세밀하게 평가하는데요.
입술의 지지가 부족하여
함몰되어 보이는 정도도
같이 확인하게 됩니다.
| 3. 체계적인 치료 계획이 핵심입니다
다수 치아 결손과 무턱을 동반한
복합적인 상황에서는
체계적이고 단계적인 치료 계획이
무엇보다 중요합니다.
결손된 부위에 임플란트 를 심는다면
기울어지고 벌어진 이들을
올바른 위치로 이동시키고,
과도하게 맞물린 부분을
적절한 높이로 조정하는 과정이
우선되어야 됩니다.
따라서 교정 치료를 먼저 진행합니다.
이는 향후 임플란트 가 식립될 공간을 확보하고,
전체적인 교합 관계를
조화롭게 만들기 위한
기초 작업이라고 할 수 있습니다.
교정 방법으로는
인비절라인과 같은 투명 교정 장치를
활용할 수 있습니다.
투명 교정 장치는
심미적으로 우수할 뿐만 아니라,
임플란트 식립 과정에서도
비교적 방해가 되지 않는
큰 장점이 있어요^^
교정 치료가 어느 정도 진행된 단계에서
임플란트를 의뢰를 통해 식립하고,
즉시 저작 기능을 도울 수 있는
임시 치아를 제작해드립니다.
| 4. 단계별 치료 과정
첫 번째 단계

24.03.07
치료는 인비절라인 투명 교정 장치 제작 후
단계별로 장착합니다.
기울어지고 벌어진 치아들을
점진적으로 올바른 위치로
이동시키는 과정입니다.

24.08.12
초기에는
주로 치아들 사이의 공간을 정리하고,
과도하게 깊게 물리는 부분을
해소하는 데 집중하게 됩니다

25.02.10
교정 장치는
2주마다 새로운 단계로 교체 하면서
치아들을 조금씩 원하는 위치로 유도해요.
이 과정에서 점차 얼굴 형태의
개선 효과도 나타나기 시작한답니다^^
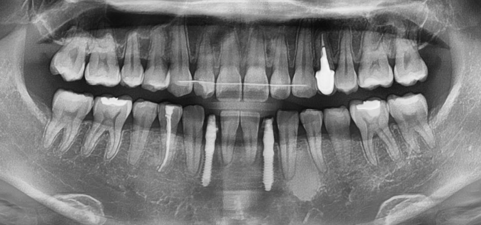
두 번째 단계

25.03.27
교정 치료가 어느 정도 진행되어
임플란트 식립에 알맞은 공간이 확보되면,
중간 단계에서 임플란트 의뢰를 통해
식립된 것을 관찰할 수 있습니다.

25.03.20
임플란트를 식립하고,
즉시 임시 치아를 제작하여
장착한 모습입니다.
임시 임플란트 보철이 장착된 후에도
교정 치료는 계속 진행됩니다.
임플란트 를 제외한
남은 치아들의 이동이 이루어집니다.
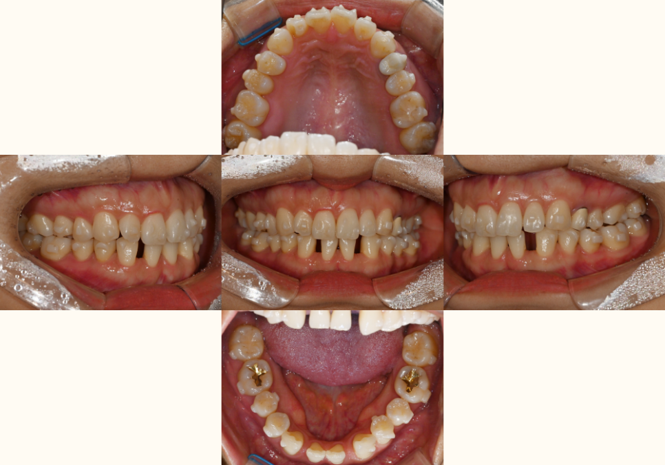
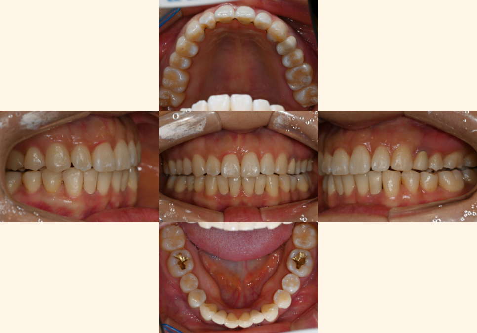
| 5. 치료 완료 후 모습

25.05.22
교정 치료의 완료로
모든 이들이 올바른 위치에 배열되고,
상하 치아의 맞물림 관계가
이상적으로 조화를 이루게 됩니다.
과거에 벌어져 있던
치아들 사이의 공간이 완전히 해소되고,
깊게 물렸던 부분도 알맞은 높이로 조정됩니다.
교정과 전문의 김정은이었습니다.
긴 글 읽어주셔서 감사합니다^^

치료기간 :23.10.20~25.05.22
