안녕하세요,
치과교정과 전문의 김정은입니다.
요즘 진료를 보다 보면
예전보다 훨씬 쉽게 마음을
정하시는 것 같은데요.
“여기만 살짝 정리하면 금세 깔끔해지죠?”
“이 부분만 바로잡고 싶어서요”처럼
구체적으로 원하시는 부위를
정확히 알고 방문하시는 분들이 늘기도 하였습니다.
하지만, ‘과개교합’과 ‘옥니’, ‘덧니’가
같이 나타나는 복합 케이스를 마주하셨을 때
어떻게 접근해야 될지
막막해 하실 때가 많습니다.
오늘은 이와 관련된 예시 사진을 보면서
‘비발치 교정’을 활용한 진료 과정을
소개해 드리겠습니다.
| 1. 검진
위 글의 의학 정보 제공을 위해
작성된 글임을 안내드립니다.

23.07.27
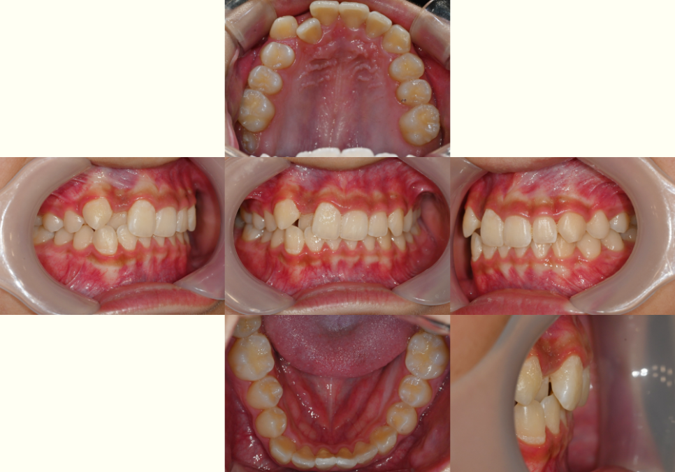
구강 내 모습을 보면
위아래 치열이 삐뚤빼뚤하며
윗니가 아랫니의 1/2~2/3 이상
덮어있는 과개교합(deep bite)으로
보였습니다.
더불어, 치아 사이 치석과 구강 위생 상태가
좋지 않아 본격적인 교정 전 스케일링과
구강 관리 교육을 우선 시행이 필요해 보였습니다.

23.07.27
안모 모습을 보았을 때도
위아래 치열이 고르게 맞지 않는 것을
확인할 수 있었는데요.

23.07.27
측면 세팔로 엑스레이에서는
앞니 각도가 안쪽으로 기울어져 있는
옥니 상태였습니다.
더불어, 오른쪽 위 측절치는 반대교합,
송곳니는 덧니처럼 맹출 되어
기능과 심미 모두에 문제가 있었죠.

23.07.27
수완부 촬영 검사를 통해
성장이 끝났는지, 남았는지 그리고
어느 단계쯤에 와있는지를 파악할 수 있습니다.
종자골(sesamoid bone)은
엄지손가락의 하단부에 위치해 있으며
아직 자라지 않은 것으로 보아
성장기 피크 직전으로 판단되었습니다.
| 2. 계획
교정 치료 목표는 다음과 같이
수립할 수 있습니다.
• 가지런한 치열
• 반대교합의 개선
• 총생의 완화
• 정상적인 어금니 교합
윗니의 과개교합과
옥니, 덧니 개선을 위해
먼저 위턱만 교정을 시행한 뒤
아래턱도 비발치로 교정을 진행합니다.

23.07.27
그리고 요즘에는 의료 기술력이 좋아져
미리 예측 시뮬레이션을 돌려,
지금 가지고 있는 치열에 대한 부분에서
오른쪽과 같이 개선이 될 수 있음을
눈으로 확인해 볼 수 있습니다.
| 3. 과정

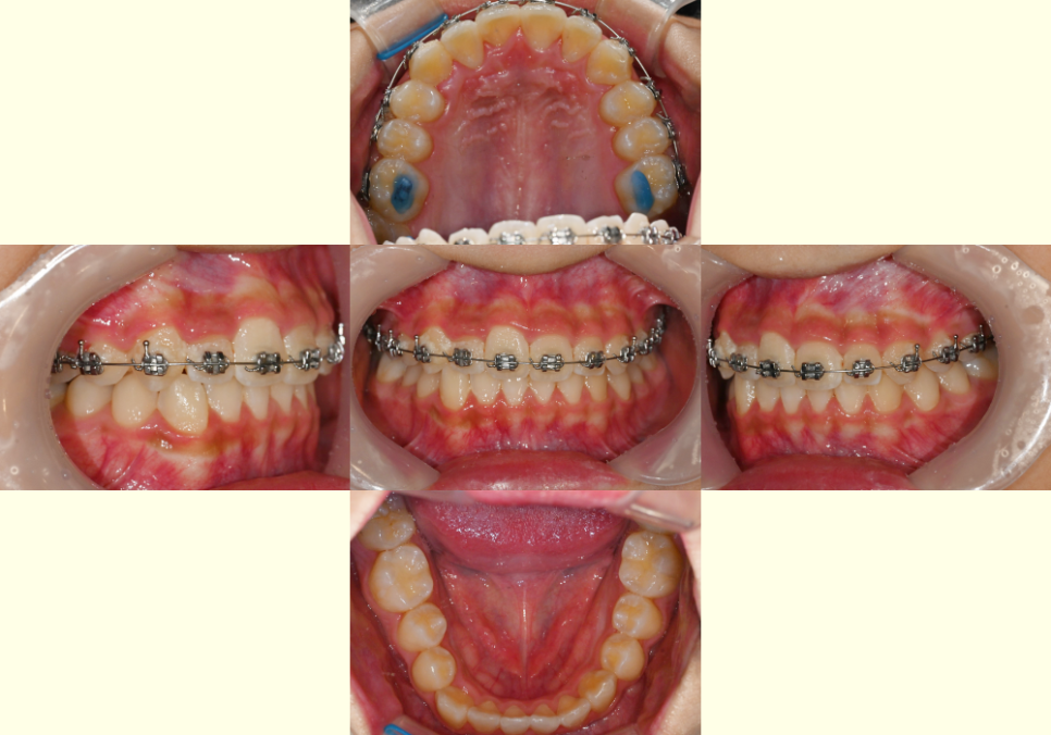
23.12.14
앞서 계획한 것과 같이 브라켓을 부착한 뒤
서서히 자연치가 이동할 수 있도록
지속적인 진료를 진행합니다.
이때, 위턱 양쪽 어금니에
바이트 블록을 쌓아 교합을 올려준 뒤
이를 이동시킵니다.

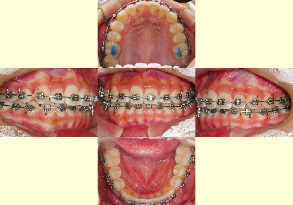
24.05.17
이후 아랫니에도 브라켓을 부착하여
이를 이동하여 치열 개선합니다.

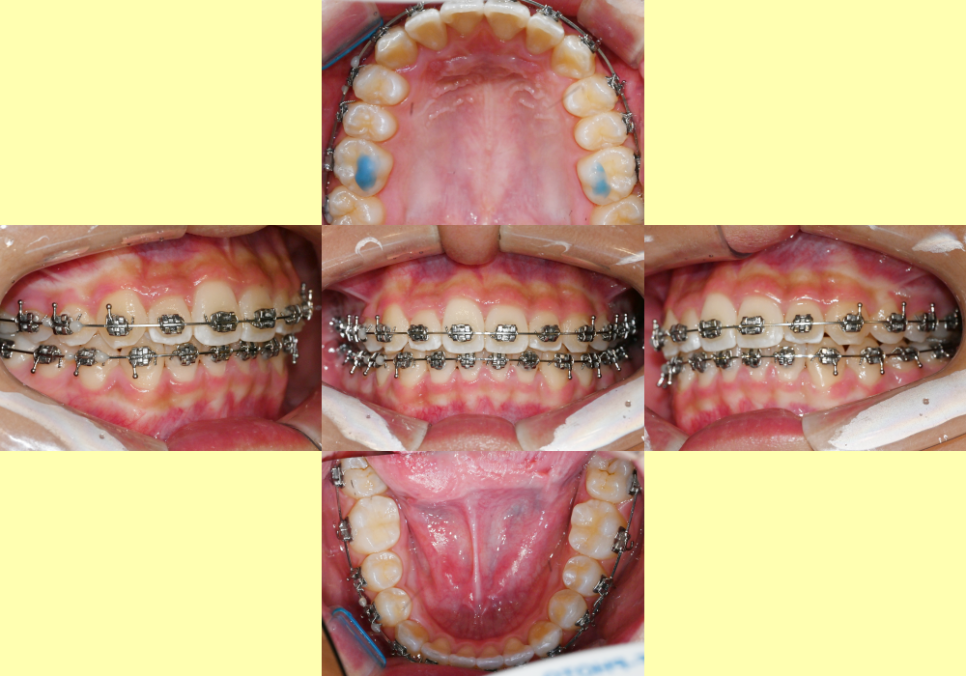
24.12.14
그 결과 기존에 틀어져 있던 앞니와
덧니가 심했던 오른쪽 측절치와 송곳니에
치열이 개선되었음을 확인할 수 있습니다.

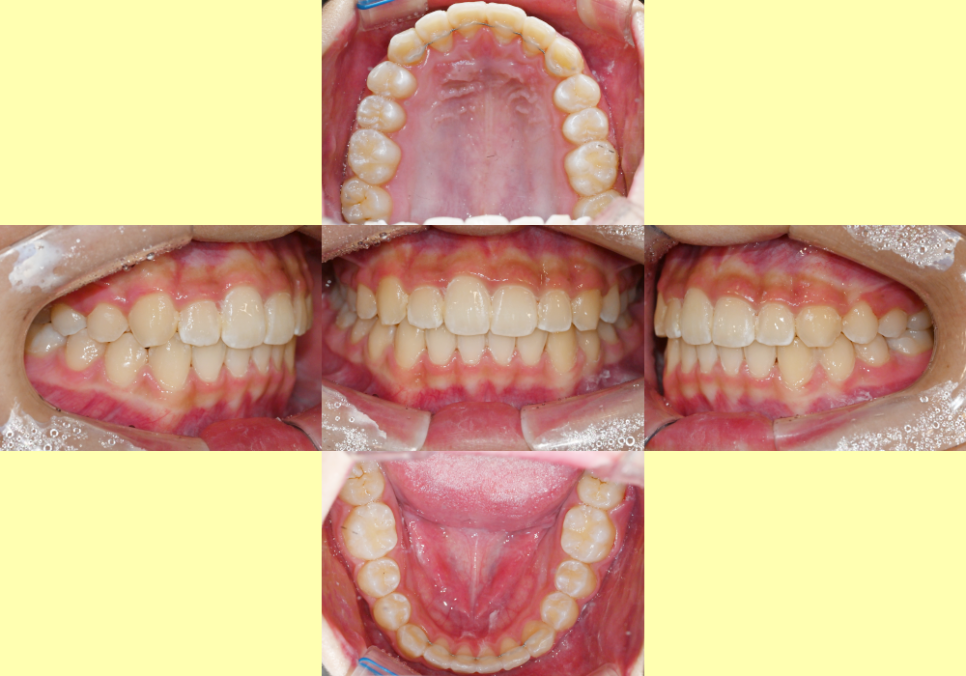
25.01.13
위아래 세부 조정을 진행한 뒤
모든 과정이 끝난 후에는
이렇게 가지런한 배열을 보실 수 있는데요.
앞니 틀어짐 및 비대칭으로 레벨이 달랐던 부분들도
가지런한 형태로 잘 개선된 형태를 볼 수 있습니다.
이번 사례를 통해
과개교합, 옥니, 덧니가 동시에
나타나는 복합 부정교합도
비발치 교정을 활용하여 개선할 수 있음을
알 수 있습니다.
긴 글 읽어주셔서 감사합니다.
치과교정과 전문의 김정은이었습니다.

치료기간 : 23.07.27 ~25.01.13
