입을 열었을 때 치열이 어지럽게 놓여있다면
여러모로 신경이 쓰이게 됩니다.
외적으로 안 좋은 영향을 줄 뿐만이 아닌,
기능적 측면에도 악영향을 줘서
건강을 해칠 수 있습니다.
비뚤어져 있는 치열을 가지고 있다면
검진을 받고 나서 상태에 맞는 교정치료를
진행해보는 게 도움이 될 수 있습니다.
근데 만약에 앞니 뻐드렁니, 총생, 반대교합 등
여러 가지 문제를 가지고 있다면
어떻게 해결할 수 있을까요?
이와 관련된 정보를 전달드리는 포스팅을 진행해보겠습니다.
『교정치료 받아야 될까?』
먼저 비뚤어진 치열을 가지고 있는 분들께서는
이와 같은 생각이 떠오를 수 있습니다.
개인에 따라 느끼는 정도의 차이가 있다보니
굳이 해야 될까? 라는 생각을 할 수 있죠.
할 필요가 없는 분들께서는
굳이 하지 않으셔도 된다 말씀드리긴 합니다.
그런데 치아를 고르게 만드는데
여러 가지 이유가 있습니다.
가지런하고 예쁜 치열을 가지고 있다면
더 활짝, 크게 웃을 수 있습니다.
외모와 자신감을 높이는
긍정적 영향을 줄 수 있습니다.
또, 올바른 교합이 이뤄질수록
음식을 섭취할 때 잘 먹을 수 있습니다.
비뚤어져 있으면 윗니와 아랫니가
잘 맞물리지 못합니다.
그럼 음식을 작게 분해하기 힘들며
소화 불량으로 이어질 가능성이 높습니다.
그리고 양치질이 잘 되니까
충치와 치주질환을 예방하는데 도움됩니다.
여기저기 비뚤어져 있다면
양치질이 올바르게 되지 않고,
남아있는 음식물은 점차 치석으로 변형되어
치주질환을 발생시킬 가능성이 높아집니다.
이와 같은 이유로 여유가 있어 가능하다면
교정치료를 받는 게 좋을 수 있습니다.

실제로 이렇게 앞니 뻐드렁니와 총생 등
갖가지 문제를 가지고 있는 분들께서는
평소 구강 관리가 어렵습니다.
제대로 칫솔질이 되지 않으니
치석도 자주 쌓여 잇몸에 염증 발병률도 높아집니다.

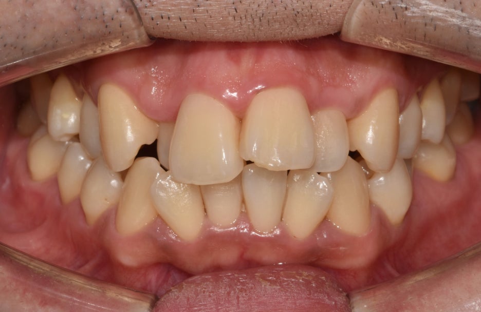
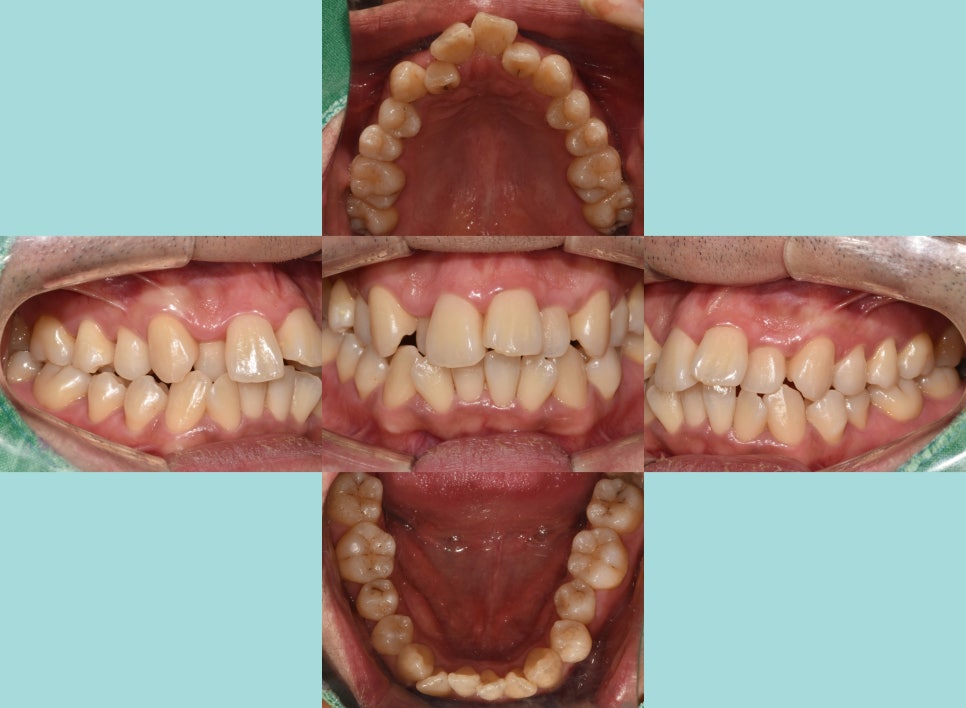
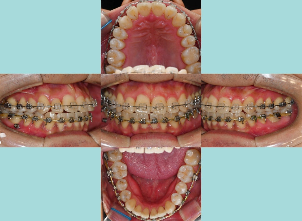
좀 더 자세히 내부를 들여다봤을 때,
되게 어지럽게 배열되어있는 모습을 볼 수 있습니다.
특히나 전치부에 집중된 총생(crowding)은
배열을 들쑥날쑥하게 만듭니다.
사진에서 보여지듯이 12번은
반대교합의 형태도 나타내고 있었는데요.
다른 곳들은 윗니가 아랫니를 덮는 반면에
오른쪽 아랫니 송곳니 부분이 위쪽의 12번을
덮고 있는 형태로 반대교합을 보여줍니다.
이러한 총생은 이가 올바르게 자리 잡지 못하고
겹치거나 삐뚤어지게 나온 상태를 말합니다.
오래 방치할수록 턱뼈의 크기와 치아 크기의 불균형을
만드는 원인이 됩니다.
이렇게 좁은 공간 안에서
이들이 비정상적으로 배열되는 것이 특징이며,
주로 전치부에 자주 나타납니다.
맹출 할 공간의 부족으로 인해 총생이 생겨나면서
이로 인해 앞니 뻐드렁니도 자연스럽게
만들어져 돌출된 느낌을 줍니다.
이처럼 복합 문제들을 가지셨다면
정밀 검사를 통해 계획을 꼼꼼히 수립하여 진행하는 게 좋습니다.
『문제 개선』

총생과 반대교합, 앞니 뻐드렁니는
방치를 하게 될 경우 추후 교합에도
큰 영향을 미칠 수 있는데요.
위아래가 잘 맞물리지 않아 저작 기능이 점점 떨어지고
이 때문에 턱관절에도 무리가 되어
장애를 만들어낼 수 있습니다.
턱관절 장애는 처음에는 단순한 통증이나
두통으로 시작될 수 있지만,
시간이 가면서 점차 클릭킹 사운드(clicking sound)나
극심한 통증을 만들어 낼 수 있어
초기에 관리가 필요합니다.

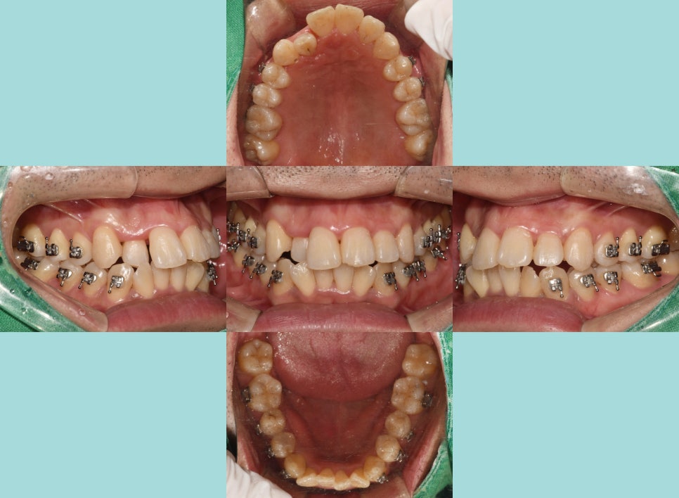
비발치로 진행 시,
비뚤어져 있는 이를 가지런히 맞춰줄 공간이 필요합니다.
치면에 브라켓을 붙여 어금니를 뒤로 이동시키며
공간을 형성합니다.

틀어져 있던 부분들이 서서히 이동을 시작하며
11번과 13번 사이에 간격을 줌으로써,
12번이 전방으로 나올 수 있는 길을 만들어
반대교합을 서서히 개선해 나갈 수 있습니다.

이에 따라 앞니 뻐드렁니 양상도
점점 후방으로 견인되어 들어가
돌출감을 줄여줄 수 있습니다.

복합 문제들이 있는 만큼
오랜 기간에 걸쳐 부작용없이
이동시키는 게 중요합니다.
빠른 개선을 위하여 무리하게 진행했다가
오히려 부작용을 겪을 수 있으니
상황에 맞게 진행하는 게 좋습니다.

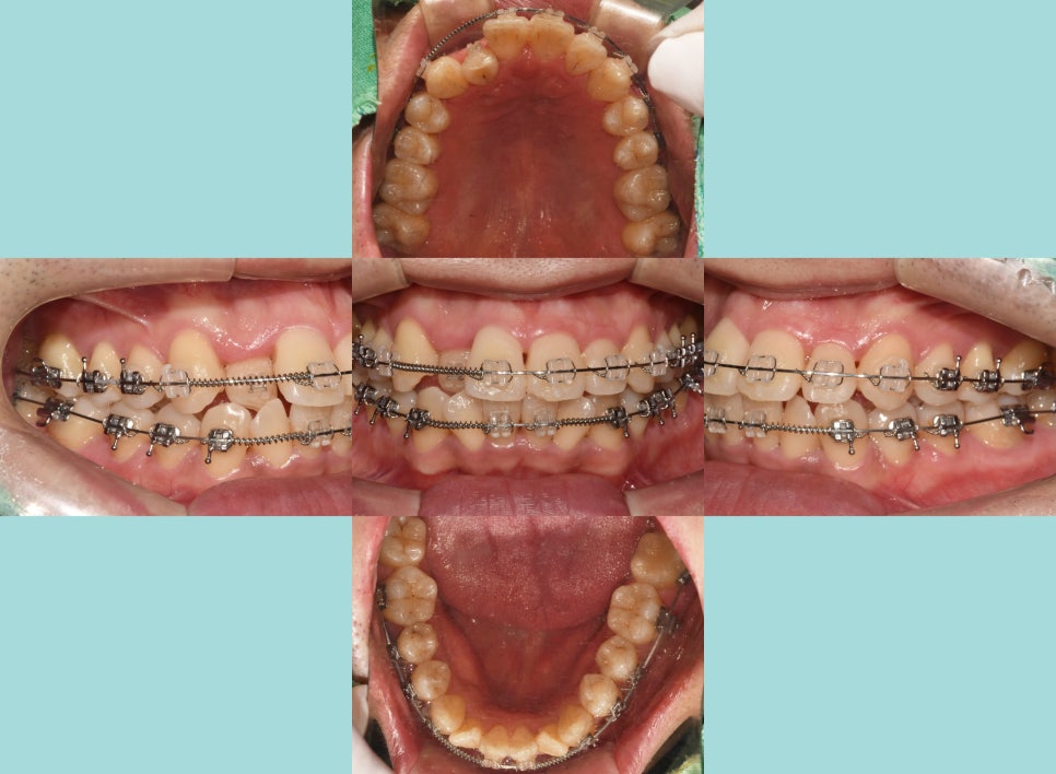
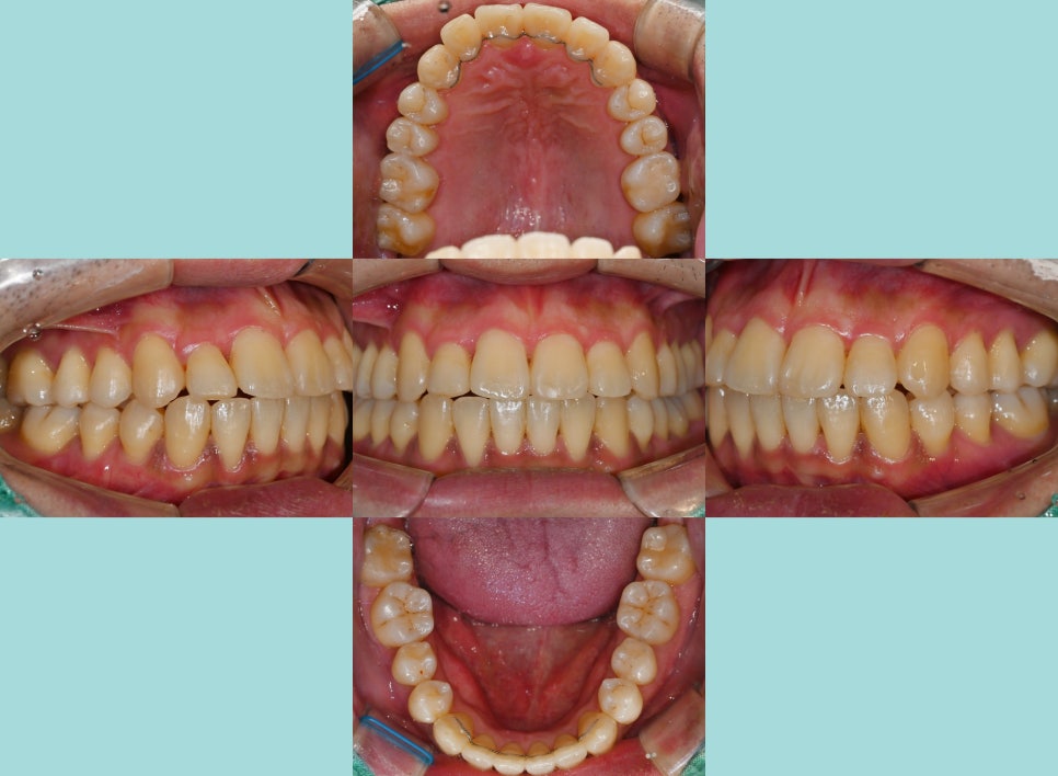
최종 완료된 모습에서는
전과 달리 가지런해진 배열로
많이 깔끔해진 느낌이 드는데요.
반대로 물리고 있었던 12번도
이제는 전방으로 이동이 잘 되어
현재는 윗니가 아랫니를 피개하는 형태로
잘 유지를 하고 있습니다.
앞니 뻐드렁니로 돌출되어 나왔던 부분도
후방 견인 과정을 통해
자연스러운 아치를 가질 수 있도록
마무리하면 모든 과정은 끝납니다.

전반적인 총생 치료로 인해
구강 내 많은 좋은 변화들이 일어나
인상 또한 밝고 깔끔해진 느낌을 받습니다.
진료가 끝난 이후부터
꾸준한 정기검진이 필요합니다.
관리를 소홀히 할수록
치열은 또 틀어질 수 있습니다.
재치료를 받지 않으려면
주기에 맞춰 검진 잘 받으시면서,
꾸준히 검진을 받는 게 중요함을 안내드리며
오늘의 포스팅을 마치도록 하겠습니다.

치료 기간: 22.12~24.09
