앞니 살짝 틀어짐 MTA 부분 교정 치료를 통해 해결이 가능할까요?

You are currently viewing 앞니 살짝 틀어짐 MTA 부분 교정 치료를 통해 해결이 가능할까요?

거울 속 비친 내 모습에서

‘여기 앞쪽에 있는 이만 고쳐주면 괜찮을 텐데..’

라는 생각을 하신 적 있으실까요?

그렇기 때문에 정확한 진단을 베이스로

그에 대한 철저한 계획이 필요한데요.

만약에 정말 사소하게

앞니 살짝 틀어짐 정도라면,

부분 교정 치료를 통해 해결할 수 있는지

설명드리는 시간을 가져보려 합니다.

『진단 과정』

먼저 부분교정을 진행하려면

간단하게 생각할 수 있습니다.

근데 쉬울 수 있고 그렇지 않을 수 있습니다.

전체적으로 이를 움직이게 된다면

원하는 방향으로 이동시킬 수 있기 때문에,

기간이 오래 걸린다 하더라도

좀 더 쉬울 수 있습니다.

그런데 앞니 틀어짐만 해결하려면

제한된 공간 내에서 수정이 필요합니다.

그래서 더 어려울 수 있습니다.

그렇기에 2가지를 체크해봐야 되는데요.

윗니와 아랫니 교합이 어떻는지,

중철치가 뻐드러져 있지는 않은지

꼼꼼히 확인을 해봐야 되겠습니다.

경미하게 틀어졌다면 부분교정으로 진행 가능합니다.

실행이 가능하다는 전제 하에

아래와 같은 장치를 생각해볼 수 있습니다.

『1. 클리피씨 or S-line

2. 인비절라인 or 세라핀

3. 설측

4. MTA』

오늘은 MTA에 대해 설명드리려 합니다.

MTA는 ‘Mini Tube Appliance’

약자로 줄인 단어를 말합니다.

짧은 기간 내에 원하는 치아만

이동할 수 있도록 하는 장치입니다.

3mm 이내의 얇은 튜브 형태로

이물감은 적은 편에 속하며,

위생 관리하기 편합니다.

게다가 크기 또한 조그맣기 때문에

심미성도 좋죠.

그래서 짧은 기간으로 진행 가능한

부분교정 에서 많이 활용할 수 있습니다.

이처럼 치열 자체가 크게 틀어지지 않았다면

한 번쯤 상담을 받아볼 수 있습니다.

많이 틀어졌다면 전체적으로 손을 볼 수밖에 없겠죠.

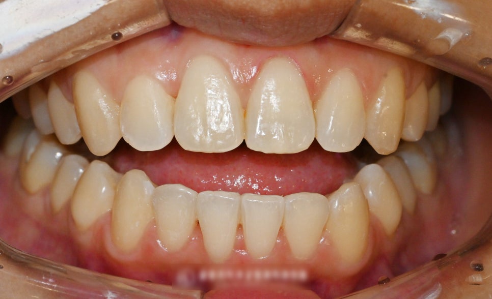
전체적으로 구강 내 구조를 살펴보면

구치부(어금니 쪽) 부분의 교합은 문제 없습니다.

단, 전치부(앞니 쪽) 으로는

치열 문제를 콕 집어볼 수 있죠.

그래서 앞 치아 위아래는

교합이 잘 이뤄지지 않죠.

게다가 겹쳐있는 부분도 있다보니

음식물도 자주 끼일 것이며,

칫솔질도 올바르게 잘 되지 않을 겁니다.

이처럼 이가 서로 겹쳐져 있는 형태를

‘총생(Crowding)’이라 합니다.

대체로 유전 영향을 받는 경우가 크며,

좁은 악궁 형태로 되어있을 경우에

발생하기 쉽습니다.

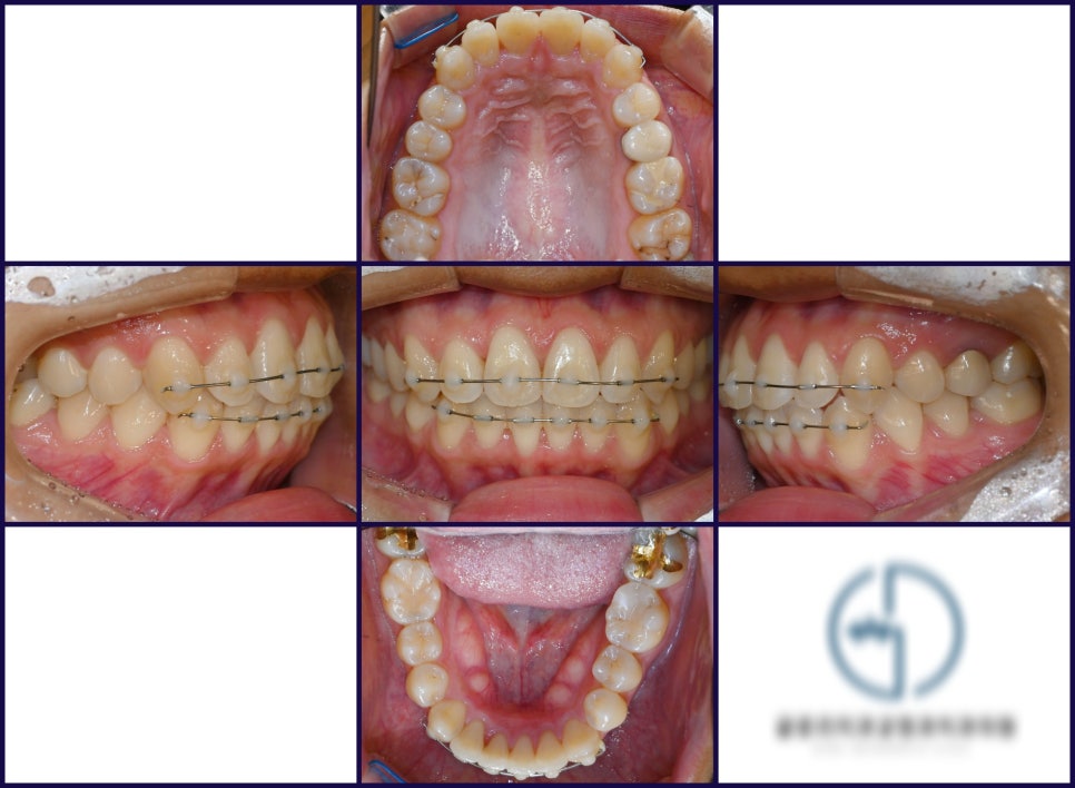
이처럼 중절치부터 견치까지

6개 치아에만 장치를 부착합니다.

사진에서 보이듯이 얇은 와이어로 연결하고

브라켓 크기는 작으며 색상은 치아와 비슷합니다.

실제로 눈여겨 봐야 인지할 수 있을 정도로

크게 티가 나지 않습니다.

짧으면 3개월, 길면 8개월 가량 소요될 수 있습니다.

면접, 미팅, 결혼식, 유학 등

여러 가지 중요한 일정을 고려해볼 수 있을 때,

앞니 틀어짐만 있다면 진행해봐도 괜찮습니다.

너무 심하면 적용 불가할 수 있기에

가려는 집 근처 교정치과에서 검진을 받는 게 우선입니다.

또한, 윗니 아랫니 모두 움직이는 속도가 다르기에

한 번에 끝내지 못할 수 있습니다.

저렇게 윗니가 먼저 끝나면 제거하고,

나머지 아래는 계속해서 이어나갈 수 있습니다.

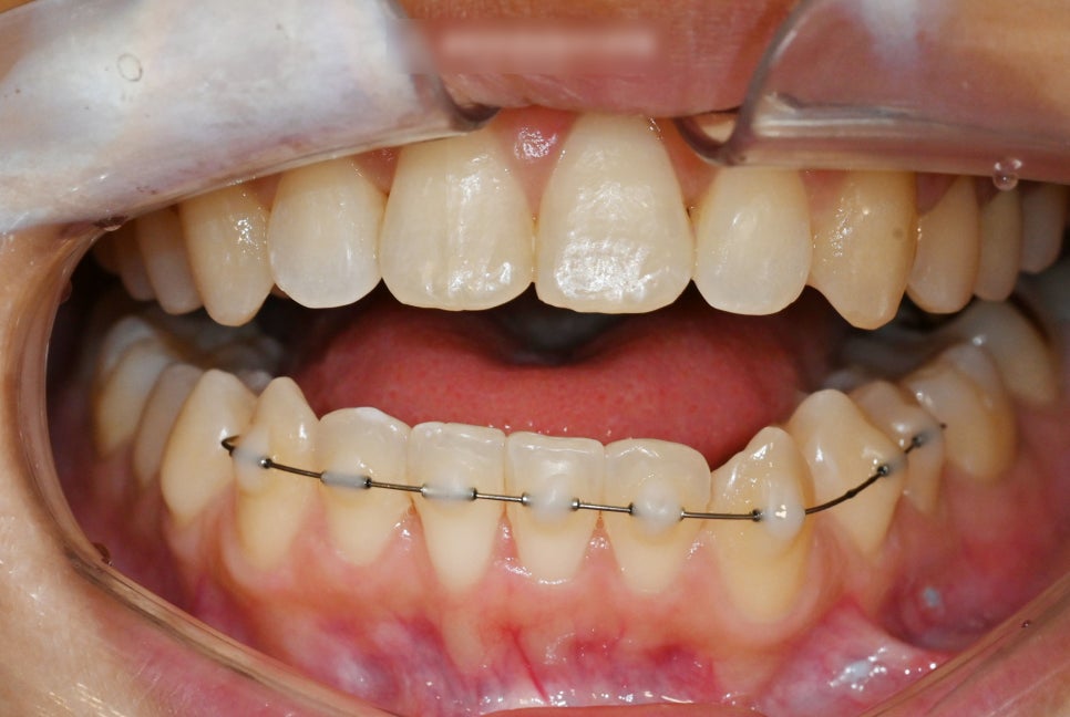
확실히 처음에 보여드렸던 사진에서

아랫니가 틀어지고 겹쳐졌었는데,

가지런해진 모습을 볼 수 있습니다.

해당 부분이 총생이 좀 심했기에

더 오래 진행된 것으로 보여집니다.

아래도 깔끔하게 정리되고 나서는

모든 장치는 제거해줍니다.

이때 뒷면에 ‘Retainer’라는 유지장치를 붙여줍니다.

그 이유는 주변 조직이 재형성 되기까지와

그 상태로 유지하는데 오랜 기간이 소요됩니다.

Retainer를 제거해버리면

또다시 틀어짐이 발생할 수 있습니다.

즉, 회귀현상이 나타날 수 있다는 거죠.

이를 방지할 수 있는 목적으로 붙여주므로

떨어지지 않도록 잘 관리해주셔야 되겠습니다.

오늘의 앞니 틀어짐

부분교정 관련 글은 잘 보셨을까요?

비뚤어짐이 큰 편이 아니라면,

충분히 해당 방법을 통해

개선해볼 수 있습니다.

나중에 가야지라며 방치하는 것보다,

주말에 한 번쯤 시간을 내셔서

집 근처 교정치과에서 검사를 받아보셨으면 합니다.

이번 포스팅도 읽어주셔서 감사합니다.

다음에도 유익한 주제로 찾아뵙겠습니다.

교정과 전문의 김정은이었습니다. ^^

치료 기간 : 24.03.25~24.11.07