전체적으로 브라켓을 붙여
이를 이동시키는 치아교정은
비용뿐만 아니라 심리적 부담감도
따르기 마련입니다.
저희 글로리 신내동 치과 를
내원하시는 환자들께서도
마음은 먹고 오셨지만,
시작하기에 앞서 이런 걱정거리들을
얘기해 주시곤 하시는데요.
케이스마다 모두 방법은 달라지지만,
이런 고민을 해결할 수 있는
방법이 있어 설명을 도와드리려 합니다.
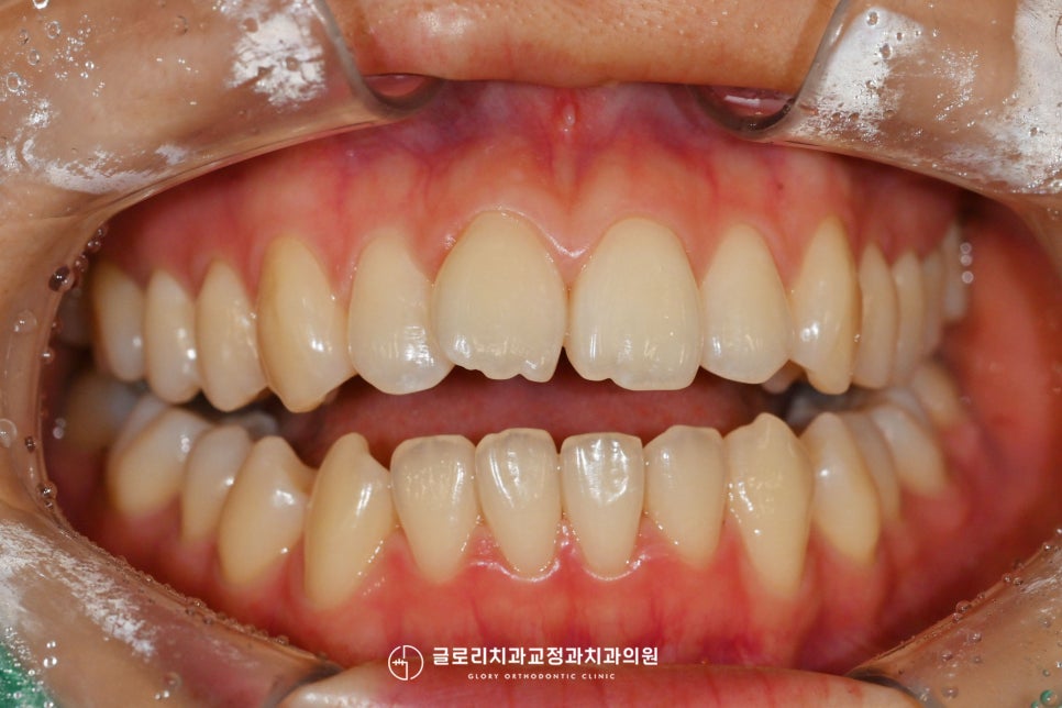
1. 초진
“위에 앞니 틀어짐이 딱 보여요.
이곳만 치료할 수는 없을까요?”
위의 주소로 저희 신내동 치과 를
찾아오신 20대 남성 환자의 증례를
소개해 드리겠습니다.
정면에서 구내를 보았을 때
위 전치부의 틀어짐이 관찰되는데요.
크게 회전된 양상은 아니었지만,
정중선이 일직선으로 맞지 않아
조금 눈에 띄는 정도였는데요.
이렇게 전치부가 틀어졌거나
살짝 불규칙한 느낌이 드는 경우에는
주로 앞니 부분교정을 시행합니다.
이렇게 윗니만 개선이 필요할 경우에는
브라켓을 전체 부착하지 않고
필요한 범위에만 이동을 진행하는데요.

물론 개인마다 가진 구강 구조부터
턱뼈의 위치가 달라 모두 같은 조건으로
치료를 시작할 수는 없습니다.
그렇기 때문에 신내동 치과 에서는
개인 맞춤별로 꼼꼼한 진단을 시행해
알맞은 치료 방법을 설계하고 있는데요.

치료를 시작하기 전
전체 교합이 모두 잘 맞으며,
일부만 수정이 필요할 경우에는
앞니 부분교정을 시행할 수 있습니다.
2. 윗니 부분교정
” 저는 앞니가 잘 안 물리고,
돌출이 많이 된 편인데
가능할까요?”
간혹 이런 질문을 주실 때가 있습니다.
아무래도 빠르고 간단하게 끝나는
부분교정을 좀 더 선호하십니다.

그러나 모든 치료에 대해서는
정확한 진단이 기초가 되어야 되는데요.
앞서 설명드렸다시피
교합에 큰 문제가 없으며,
돌출도 심하지 않은 정도라면
진행이 가능합니다.

간혹 복잡한 배열 문제나,
수술적 개선이 필요한 곳은
기간을 넉넉히 생각하신 뒤
알맞은 방법을 진단받으시길 권해드립니다.
신내동 치과 에서 시행한
개선 과정을 보여드리겠습니다.
환자가 가지신 문제점이
앞니 틀어짐이었기 때문에

전치부를 포함한 소구치 부위까지
8개를 부착해 와이어로
연결을 도와드렸습니다.
윗니 부분교정의 큰 이점은
기간이 짧다는 것인데요.
전체로 할 경우
수년간의 시간이 필요할 수 있는 반면,
이 방법은 몇 개월 내외로 완료되는
케이스가 많습니다.
또한 장치의 크기와 형태 또한
작고 눈에 덜 띄기 때문에
심미 부담도 적은 편인데요.
그렇기 때문에 중요한 일정을 앞둔
예비 신랑 신부,
취업을 앞둔 환자들께서
많이 진행을 하고 계십니다.
관리 또한 쉬운 편인데요.
어금니 부위까지 모두 부착하지 않으니
식사를 하실 때도 편하고,
양치질을 할 때에도
비교적 자유로워 관리에 용이합니다.
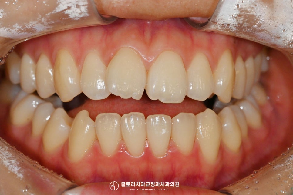
3. 완료

치료 기간은 4개월이 소요되었습니다.
생각보다 빠르게 완료가 되었죠^^
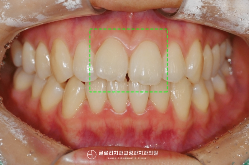
완료된 사진을 보시면
처음의 문제들이 잘 해결되었는데요.
틀어져 보였던 전치부가
이제는 가지런히 정렬이 되었고,
보기에도 더 예뻐진 느낌이 듭니다.

완료된 후 환자께서도
이렇게 빠르게 완료될 줄 몰랐다며
바뀐 모습도 마음에 드신다고
연신 말씀해 주셨는데요^^
신속하게 문제를 해결할 수 있으며
비용도 낮은 편이라
신내동 치과 에서도 자주 권해드리는 방식입니다.
최종 완료는 입천장 쪽으로
유지 장치를 제작해 붙이는 것으로
도와드렸는데요.
개선을 진행하실 때처럼
부착은 윗니에만 시행을 했습니다.
앞으로는 정기 검진으로
이동이나 틀어짐이 더 진행되지는 않았는지
꼼꼼히 체크해 드릴 예정입니다.
지금 이 글을 보시는 분께서도
오늘 소개해 드린 케이스와 유사한 경우가
많으실 텐데요.
치아는 시간이 지나면서 점점 이동을 하기 때문에
타이밍에 맞춰 개선하지 않으면
큰 틀어짐으로 이어질 수 있습니다.
그렇기 때문에 환자 본인 스스로
문제점을 파악하고
신속한 진단을 받는 것이 중요한데요.
그에 맞춰 신내동 치과 에서는
여러 경험을 토대로
세밀한 1:1 맞춤 케어를 진행하고 있어,
오늘 소개해 드린 케이스와 유사하거나
여러 개선 받으실 곳이 있으시다면
언제든 예약 후 내원해 주신다면
친절하게 상담 도와드립니다^^
자세한 사항은 댓글이나
유선 전화 연결로 안내해 드리겠습니다.
글로리 의 김정은 원장이었습니다.
감사합니다.

치료 기간: 24.03.07~24.07.05
