안녕하세요, 양원역 교정치과 김정은 원장입니다.
부정교합은 위아래 턱의 관계에서 비롯되는 골격성 문제인지, 아니면 치아 배열
위치의 문제인 치성원인인지에 따라 진단과 치료방향은 달라질 수 있습니다.
쉽게 말하면 턱뼈 자체의 크기나 위치가 문제인지
치아가 나야될 자리에서 벗어나 배열된 것인지를 구분하는 과정이라 볼 수 있습니다.
예를 들어 턱이 뒤로 들어가있거나 상대적으로 돌출된 경우라면 골격적인 접근이
필요하고 턱의 위치는 정상 범위안에 있지만 치아가 겹쳐 나거나 기울어져있다면 치성 교정으로 해결이 가능한 경우가 많습니다.
진단 과정에서 이 구분이 정확해야 발치여부는 물론 치료 방향과 기간에 대한 예측까지 달리지게 됩니다.
진단

엑스레이를 보면 현재 왼쪽 턱이 좌측으로 약간 편위되어있는 것을 확인할 수 있습니다.

이어서 구강사진도 살펴봅니다. 위아래 치열이 전체적으로 삐뚤빼뚤하며 총생양상이 보여집니다.
또한 측면에서 보면 윗니가 아랫니를 과도하게 덮고있는데
이처럼 극심한 과개교합이 지속되면 아랫니 절단연이 보이지 않을 정도로
덮이게 되고 전치부에 과도한 하중이 집중되면서 마모나 치은손상이 동반될 수 있습니다.
경우에 따라서는 개구시 불편감이나 턱관절의 부담으로도 이어질 수 있어 적절한 치료가 필요한데요.

현재 총생과 과개교합을 동반한 케이스로 심미적인 부분에서도 치열의 불균형이 두드러지지만
기능적인 측면에서도 안정된 교합을 형성하지 못하고 있다 보여집니다.

대표적으로 좌측으로 편위되어있는 골격으로 인해 17번은 치아가 어긋나 물려있는 가위교합을 20번대는 반대교합을 띄고있죠.
이러한 교합의 불균형은 저작 시 힘이 한쪽으로 쏠리는 편측 저작 습관을 유발하고 안모비대칭을 만들 수 있습니다.
따라서 양원역 교정치과 에서는 문제가 되는 총생과 교합불균형을 개선하여
가지런한 치열을 만들고 조화로운 얼굴형을 만드는 것에 목표를 둘 수 있습니다.
비발치 교정으로 가능할까?
그렇다면 이렇게 총생이 심하고 과개교합까지 동반된 케이스에서 비발치로 개선할 수 있을까요?
사전에 정확한 진단을 통해 세팔로 분석과 치열, 공간 분석을
종합적으로 시행한 결과 현재 전후방 골격 관계는 1급에, 치성요인은 2급에 해당되는 것을 파악하게 됩니다.
이에 따라 발치 공간을 확보한 이동보다는 치열을 확장시키고 경사를 조절하여
개선하는 비발치 계획을 수립할 수 있습니다.

예시 사진처럼 우선 상악에 교정장치를 부착해 배열을 시작합니다.
초기에는 좁은 치열과 겹쳐있는 이로 와이어가 원활히 들어가지 않기때문에 비교적 가느다란 철사를
사용해 단계적으로 레벨링을 진행합니다.
이 과정에서 치열폭을 점진적으로 넓혀주고 기울어져있던 치아들이
경사를 바로잡으면서 총생을 완화하고 공간을 확보해나가게 된답니다.
과개교합 역시 점차 개선되기 시작하는데 양원역 교정치과 에서 보여드리는
교합면 사진을 보면 현재 전치부 내면에 파랗게 재료가 있는 것을 알 수 있습니다.
이는 교합 거상용 레진으로 이번 케이스처럼 오버바이트가 심하면 위아래 앞니가
너무 물려 장치가 정상적으로 작용하기 어렵고 치아의 이동에 방해가 될 수 있습니다.
이러한 상황을 방지하기 위해 일시적으로 교합을 살짝 높여줌으로써
구치부 위주로 교합을 먼저 형성하도록 유도하도록 전치부의 과도한 물림을 완화해 수직적 교합 개선이 이루어지도록 돕게 됩니다.
아래 역시 와이어를 연결해 서서히 배열을 만들어줍니다.
비발치 교정 시 중요한 점

양원역 교정 치과 에서 설명드리길 비발치 교정 시 중요한 점은 공간을 억지로 만들어
배열하는 것이 아니라 치아가 놓일 수 있는 한계 안에서 안전하게 확장과 경사조절을 시행하는 것인데요.
무리한 확장은 치은 퇴축이나 치조골문제를 유발할 수 있어 치근의 위치와 치조골의
범위를 지속적으로 확인하면서 점진적으로 이동시키는 것이 핵심이 됩니다.

서서히 어긋나있던 치열이 가지런히 배열되고 좌우 교합의 균형도 회복됩니다.
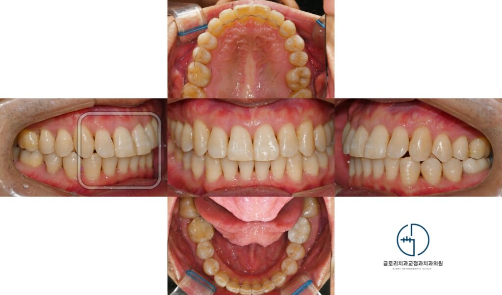
종결

모든 치료가 마무리 된 구강의 모습을 살펴보겠습니다.
장치를 떼고 매끈해진 치면의 모습으로 초진시에 눈에 띄었던 총생과 과개교합이 모두 개선되어 조화로운 치열을 완성합니다.

안모사진도 살펴보니 입매와 턱선의 균형이 자연스럽게 정리된 모습으로
좌우편위도 개선되었음을 알 수 있습니다.
치열이 가지런해지면서 표정의 인상도 부드럽고 안정적으로 변화되었죠.
오늘 양원역 교정치과 에서 전해드린 내용처럼 교정전에는 골격성과 치성요인을
정확히 분석하는 과정이 중요한데요. 개인의 전후방 관계와 수직적 교합, 공간 분석을
종합적으로 고려한 맞춤형 계획이 필요할 수 있습니다.
교정 후 주의사항은 반드시 지켜주셔야되는 거 알고계시죠?
치열이 다시 흐트러지지않도록 유지장치 착용과 꾸준한 정기검진 잊지 마시길 바라겠습니다.
오늘도 양원역 교정치과 글을 읽어주셔서 감사드립니다. 글 마치겠습니다.
치료기간 : 23.02.03~26.02,07
