안녕하세요 양원역 교정치과 김정은 원장입니다 ~
자녀의 영구치가 모두 올라와야 할 시기인데 유독 송곳니만 보이지 않는다면 단순히 늦게 나오는 것이 아닐 수 있습니다.
이런 경우 매복치일 가능성을 염두에 두고 정밀한 검사를 받아보는 것이 좋습니다.
또한 돌출입, 부정교합 등 여러 문제가 동시에 존재할 경우 치료 계획 수립 시 더욱 세밀한 접근이 필요하며 진단 단계에서부터 체계적인 분석이 이루어져야 합니다.
➡양원역 교정치과에서 진단과정부터 차근차근 설명드리도록 하겠습니다:)
매복 송곳니와 돌출입, 정밀 진단이 먼저입니다

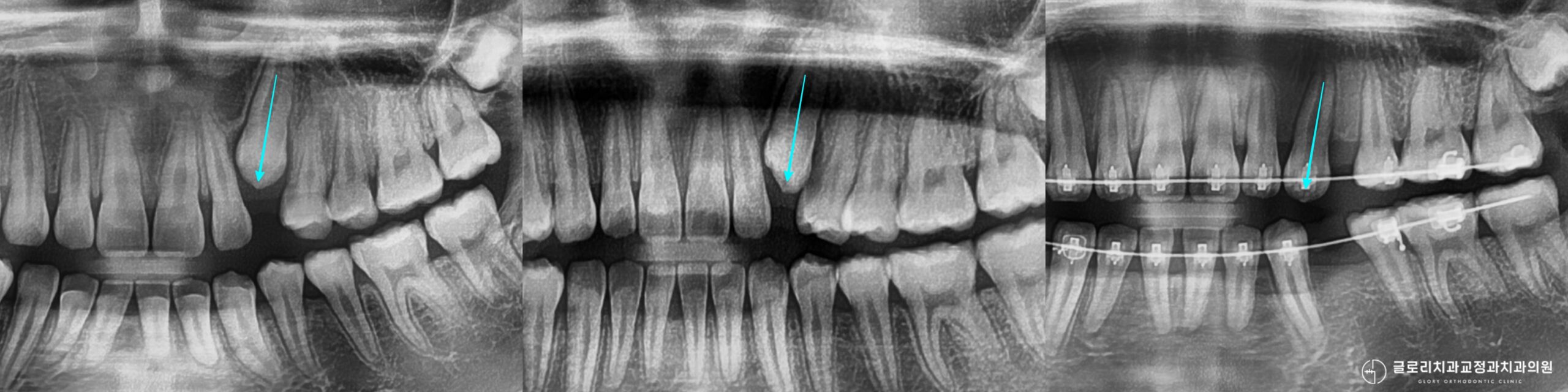
위 사진에서 확인할 수 있듯이 파노라마 엑스레이를 통해 치아 전체의 맹출 상태를 파악할 수 있습니다.

그러나 매복된 송곳니의 정확한 위치와 주변 치아 뿌리와의 관계를 확인하려면 CT 촬영이 필수적으로 병행되어야 합니다.

3차원 영상 자료를 통해 매복치가 입천장 쪽에 위치하는지 아니면 입술 쪽에 매복되어 있는지를 명확하게 구분할 수 있습니다.
이 위치에 따라 치료 방향이 달라지기 때문에 초기 진단의 정확성이 중요합니다.
돌출입 여부를 평가할 때는 다음과 같은 측면 자료들을 활용합니다.

코끝과 턱끝을 이은 선을 기준으로 입술이 얼마나 앞으로 나와 있는지 측정하며,

골격 대비 치아의 각도가 과도할 경우 연조직 계측에서도 돌출 경향이 확인됩니다.
성장기 환자라면 골성숙도 검사가 필요합니다
아직 성장 중인 연령대라면 손목 엑스레이를 통한 성장판 검사를 함께 진행하는 것이 일반적입니다.
실제 나이보다 골연령이 치료 시기 결정에 더 중요한 기준이 되기 때문입니다.

SMI 단계라고 불리는 골성숙 지표는 1단계부터 11단계까지로 구분됩니다.
- 낮은 단계(SMI 1–2): 사춘기 전, 큰 성장 급증 전
- 중간 단계(SMI 3–7): 사춘기 성장 급증기
- 높은 단계(SMI 8–11): 성장 급격히 감소 또는 거의 종료
발치 교정을 통한 공간 확보와 돌출입 개선
돌출입 개선이 함께 필요한 경우라면 소구치 발치를 동반한 교정이 고려됩니다.

일반적으로 상하악 첫 번째 소구치 네 개를 발치하여 공간을 확보하고 이 공간을 활용해 앞니를 뒤로 이동시킵니다.
사진에서 보이는 것처럼 발치 후 생긴 공간은 돌출된 앞니를 후방 이동시키는 데 사용되며 동시에 매복된 송곳니가 나올 자리를 마련하는 역할도 하게 됩니다.
한 번의 치료 과정에서 두 가지 목표를 함께 달성할 수 있는 것입니다.
양원역 교정치과에서 설명드린 진단 과정은 이처럼 복합적인 상황을 종합적으로 분석하여 효율적인 치료 계획을 수립하는 데 초점을 맞출수 있습니다.
매복 송곳니의 자연 맹출 유도

공간이 충분히 확보되었다면 매복된 송곳니가 스스로 내려오는지 일정 기간 관찰하는 단계를 거칩니다.
주변에 방해 요소가 없어지면 자연스럽게 맹출되는 경우도 있기 때문입니다.
(그러나 공간이 마련되었음에도 송곳니가 움직이지 않는 경우라면 외과적 노출술이 필요할 수 있습니다.)

다만 견인에 소요되는 기간은 매복 깊이와 각도에 따라 달라질 수 있어 전체 치료 기간에 영향을 미치게 됩니다.
치료 후 기대할 수 있는 변화

교정이 완료되면 측모 라인에서 눈에 띄는 변화를 확인할 수 있습니다.
입술의 돌출감이 줄어들면서 코와 턱의 균형이 자연스러워지고 전체적인 안면 조화가 개선됩니다.

매복되어 있던 송곳니 역시 교정장치를 통해 정상적인 치열 내에 자리 잡게 되어 저작 기능과 심미성을 모두 회복하게 됩니다.
송곳니는 치열에서 중요한 역할을 담당하므로 제 위치에 배열되는 것이 장기적인 구강 건강에도 유리합니다.
송곳니가 제때 나오지 않거나 돌출입으로 인한 고민이 있다면 조기에 전문 상담을 받아보시기 바랍니다.
정확한 진단이 선행되어야 효과적인 치료 계획 수립이 가능하며 불필요한 시간 낭비를 줄일 수 있습니다.
지금까지 양원역 교정치과 김정은 원장이었습니다 !
치료기간 : 23.07.25 ~ 25.10.21
