『반갑습니다, 면목동 글로리 교정치과
김정은 원장입니다.』
오늘 소개해 드릴 케이스는 하나의 문제가 아닌,
여러 문제들을 복합적으로 갖고 있었던
환자의 스토리인데요.
치료를 시작해야 될지 고민이 참 많으셨던 분입니다.
과연 어떤 이유로 기나긴 시간 동안 고민을 하셨던 거고,
결국에는 어떤 모습으로 개선이 되었을지!
실제 진료 과정을 살펴보며
좀 더 자세한 내용을 설명드리겠습니다.
환자와 대화를 나눠보았습니다.
처음 상담을 오셨을 때
긴 고민 끝에 오게 되었다는 말씀을 해주셨는데요.
과연 어떤 문제가 있었던 건지
면목동 교정치과 에서 알아보았습니다!
“안녕하세요, 선생님.
저 치열이 좀 삐뚤긴 한데..
요즘 들어 불편함이 더 커졌어요.”
“안녕하세요!
어떤 불편함이 느껴지시나요?”
“외적인 건 오래전부터 인지하고 있어서
그냥 그러려니 하고 있는데..
요즘엔 이 물리는 게 너무 불편하고 힘들아요.
어금니가 약간 뒤틀리는 느낌도 들고요.”
“혹시 위, 아래가 잘 닿지 않는 느낌이신가요?”
“네 맞아요! 계속 어긋나는 느낌이에요.”
오래전부터 외적으로 신경이 쓰였던 건 맞지만,
생활하는데 큰 불편함은 없으셨다는데요.
그러나 시간이 지나면 지날수록
위아래가 잘 물리지 않고
교합이 어긋난듯한 느낌이 들었다던 환자분..
면목동 교정치과 에서는
환자의 초진 사진을 보며 계획을 세우기로 했습니다.
글로리의 계획
면목동 교정치과

첫 번째,
뒤틀린듯한 느낌이 생기는
주원인을 찾을 수 있었습니다.
저작활동에 중요한 역할을 하는 어금니(# 17)가
아예 협측쪽으로 돌아가 있었습니다.
-> # 17 가위교합(sissors bite)
두 번째,
앞쪽으로 기울어진 전치 각도가 관찰됩니다.
전방으로 뻗친듯한 느낌도 동반되고 있네요.
세 번째,
뻗친 각도 때문인지 돌출입도 동반되었는데요.
튀어나온 구강구조로 인해
일부로 힘을 줘야 입을 다물 수 있었습니다.
네 번째,
치아들이 고르지 않고
삐뚤빼뚤 겹쳐있는
치아 총생(crowding)이 발견되었습니다.
가위교합은 제대로 저작활동을 할 수 없을뿐더러
한쪽으로 음식을 씹는 편측 저작,
다른 인접치들의 치열 변화까지 일으킬 수 있으며
추후 턱관절 문제까지 생길 수 있습니다.
따라서 면목동 교정치과 에서는
위 4가지 문제를 해결하기 위해
아래와 같은 계획을 세웠습니다.
『상하악 소구치 발치를 통해
배열 공간을 확보한 뒤,
브라켓-와이어 장치를 사용하여
치열 개선
plan.』
어떻게 바뀌었을까?
면목동 교정치과
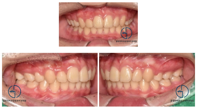
면목동 교정치과 의 모든 과정이 마무리되었는데요!

정중선도 잘 맞고 있는 모습이며,
돌출 및 전치 각도 또한 개선이 되었습니다.
고르고 건강한 느낌의 치열로 바뀌었는데요.
안모도 전과 비교해 봤을 때
더 안정적이고 세련된 모습으로 개선되었습니다.

『자! 이제 엇갈려 물리던 17번이
어떻게 바뀌었는지 확인을 해봐야겠죠?』

제위치를 찾아서 올곧게 자리를 잡고 있는
두 번째 큰 어금니가 눈에 띕니다ㅎㅎ
고무줄의 탄성을 이용하여
밖으로 돌아가 있는 치아를
안쪽으로 유도했는데요.
치료를 진행하는 동안 고생이 많으셨는데
이렇게 좋은 결과를 얻게 되어 다행입니다^^

면목동 교정치과 에서는
고정식 유지 장치를 부착하여
모든 과정을 마무리할 수 있었습니다.
처음에는 바뀌더라도 얼마나 바뀌겠어~라는 마음으로
치료를 받지 않아도 괜찮겠다는 생각을 하셨다는데요.
그러던 중, 어금니가 어긋나게 되고
생활이 불편해지자 치료의 필요성을 느끼고
저희 면목동 교정치과 를 찾아오셨던 겁니다ㅎㅎ
이 글을 읽는 여러분들께서도
또 다른 문제들이 생기기 전,
정확한 검진을 받아보는 건 어떠실까요?
이와 관련하여 문의할 내용이 있는 분들은
아래 댓글 및 글로리로 연락 남겨주시기 바랍니다.
긴 글 읽어주셔서 감사합니다^^
