안녕하세요, 중화동 치과 김정은 원장입니다.
오늘은 어금니에 임플란트가 심어져 있는
성인 교정 케이스에 대해 설명드리려 합니다.
많은 분들이 상담을 오셔서
여쭤보는 질문 중 하나가,
“치료를 받은 곳이 꽤 되는데
교정을 받아도 상관 없을까요?”입니다.
저는 상황에 따라 다르다고 답변을 드리는데요.
만약 어금니에 임플란트가 심어져 있고
구치부 이동이 많이 필요한 상황이라면
제거 후 재수술을 필요로 할 수 있습니다.
그러나 전치부 이동 및 구치부의
경미한 이동으로 개선이 되는 정도라면
그대로 진행을 해도 문제가 없죠^^
제일 정확한 것은 전문의가 있는
글로리에 오셔서 정밀 검진을 받는 것입니다.
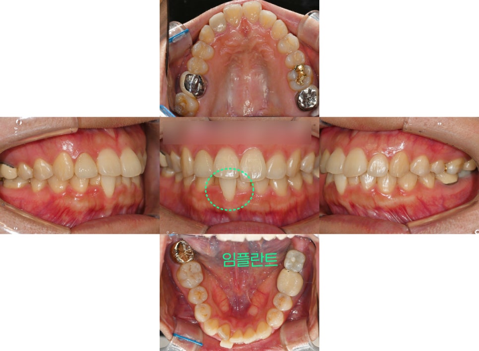
『1. 이가 삐뚤어요.』
이가 삐뚤다며 중화동 치과 에 오셨는데요.
초진 사진을 보면 위 앞니가
아래 앞니를 덮는 양이 과도합니다.

다행히 구치부 관계는 1급이였지만
왼쪽 아래 맨 뒤 어금니가 임플란트 치아였죠.
환자분의 제일 큰 고민은
고르지 않은 앞니였는데요.

그로인해 웃을 때마다 입을 가리게 되고
소극적인 태도로 이어지는 등
여러 문제들이 동반되어 있더라고요.

골격적인 검진을 진행한 결과
다행히 정중선도 중앙에 잘 맞고 있는 편에 속했으며
돌출입 경향은 발견되지 않았습니다.
상악의 각도가 조금 과도하긴 하지만
크게 문제가 될 정도는 아니였죠^^
『2. 계획』
“중화동 치과 에서는
비발치 교정을 통해 환자분의
오랜 고민을 해결해 드리기로 했습니다.”
임플란트 위치를 바꿀 수 없기 때문에
정중선 일치에 있어 한계가 조금
있을 수 있다는 설명과
총생이 완화되면서 약간의 돌출감이
생길 수 있다는 것을 미리 설명드렸죠.
저희 글로리에서는 0.1%라도
발생 가능성이 있는 증상에 대해
미리 설명을 드린 뒤 동의를 얻은 후에야
진료를 진행하고 있답니다~!
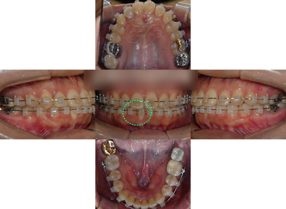
『2. 비발치 치료 과정』
앞서 계획을 세웠던대로
비발치 교정을 진행했습니다.
뻐드러져 나온 앞니 하나를
제위치 시키기 위해 전체 치아에
브라켓을 부착하여 이동을 이끌었습니다.
공간을 확보한 뒤 올바른 곳으로
움직이기 위해 교정력을 주었으며,
점차 자리를 찾아가는 아래 앞니를
확인할 수 있었는데요.

너무 과도하게 빠른 이동은
추후 치아 뿌리에 좋지 않은 영향을
끼칠 수 있기 때문에 부작용이
생기지 않도록 안전하게 도와드렸습니다.

『다행히 협조를 너무 잘 해주신 덕에
1년도 채 되지 않아
과정을 마칠 수 있었는데요.』
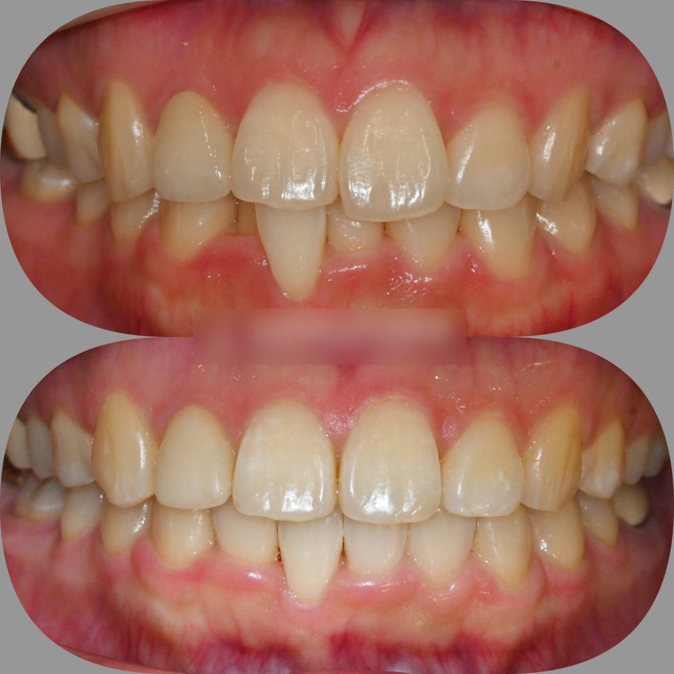
고민이였던 삐뚠 치열이 고르게 바뀌어
훨씬 심미적인 모습으로 바뀌었더라고요~

진료가 끝나고! 누런 치아를 하얗게
바꾸고 싶다는 말씀을 하셨기에
중화동 치과 치아미백까지
한 곳에서 도와드릴 수 있었습니다.

이렇게 놓고 보니 정말 다른사람 같지 않나요?
다행히 임플란트도 재수술을 진행 할 필요가 없었고
전치부 돌출감 없이 진료를 잘 마칠 수 있었죠.
.jpg?type=w966)
치료기간 : 23.10.20 ~ 24.10.23

임플란트가 있다고 해서 무조건
치열 개선을 하지 못하는 것도 아니고,
교정이라고 오랜 시간이 걸리는 것도 아닙니다.
임플란트가 심어져 있는 채로
1년 만에 치료를 마칠 수 있었던 이분처럼 말이죠.
이와 관련하여 문의할 내용이 있는 분들은
아래 댓글 및 중화동 치과 로
연락 남겨주시기 바랍니다!!
교정 치료의 시작과 끝,
글로리가 함께 하겠습니다!
