영구치 덧니 미니스크류 를 활용한 비발치 옥니 교정, 클리피씨 브라켓 활용 케이스

You are currently viewing 영구치 덧니 미니스크류 를 활용한 비발치 옥니 교정, 클리피씨 브라켓 활용 케이스

「 옥니란? 」

이가 혀 쪽으로

과도하게 기울어져 있는

상태를 일컫습니다.

단순 비율로 보면

뻐드렁니가 더 흔하지만,

II 급 부정교합 환자들 중에서는

옥니를 가진 사례도 종종 발견됩니다.

발치 후 교정치료를 과도하게 진행한 경우에도

앞니가 지나치게 후방으로 기울어지며

옥니가 발생할 수 있습니다.

이것은 앵글 부정교합 분류법에 따르면,

위 치열이 아래 치열보다 전방에 위치하면

II 급 부정교합으로 분류되며,

이 경우 1류와 2류로 세분됩니다.

이 중 II 급 2류 부정교합에서는

위 앞니가 뒤쪽으로 많이 기울어진 옥니와 함께,

앞니가 깊게 맞물리는 과개교합이

많은 케이스에서 나타나는 특징이 있습니다.

오늘은 이와 관련된 케이스의

진료 과정을 설명해 드리도록 하겠습니다.

치료기간 : 23.08.17 ~25.02.06

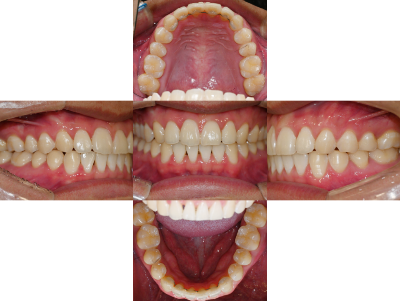
| 1. 검진

23.08.17

구강 내 모습을 보면

전치부에 옥니 증세가 있었습니다.

더불어, 위아래 앞니가 삐뚤빼뚤하며

위 악궁의 형태가

네모난(Square) 형태인 것을

확인할 수 있었습니다.

추가로 좌우 교합의 형태가

서로 다른 것을 알 수 있었으며,

더불어, 우측의 어금니 수평피개가

부족하여 맞물림이 원활하지 않는 것을

확인할 수 있었습니다.

23.08.17

안모를 확인해 보면

중점을 기준으로 턱 끝이 오른쪽에 위치하며,

활짝 웃었을 때

입술의 비대칭이 있습니다.

23.08.17

위턱과 얼굴의 정중선을 대비해 보면

위턱이 약간 오른쪽에 위치하며

윗니의 치열 및 입술은

오른쪽이 높게 기울어져 있습니다.

턱 끝이 우측으로 편위 되어 있었습니다.

23.08.17

심미선을 그어 보았을 때

입술이 후퇴되어 있으며,

23.08.17

얼굴의 길이가

수직적으로 짧은 편이었습니다.

골격성 1급 안모로

조화로운 것을 확인할 수 있으며,

골격에 대한 치아의 각도는

정상으로 보입니다.

23.08.17

더불어, 위 어금니 간의 폭경과

아래 어금니 간의 폭경의 비율은 정상으로

확인되었으며,

왼쪽 비강에 상악동염이 관찰되었습니다.

이러한 검사 결과에 따라

다음과 같은 계획을 수립합니다.

| 2. 계획

23.08.17

요즘은 임플란트 는 물론,

치아 교정 과정도

시술 후 모습을 예측할 수 있는데요.

교합을 맞추기 위해

미니 스크류 식립이 필요했으며,

특히 위턱 우측에 필요했습니다.

총생이 완화되면서

입술의 돌출감이 나타날 수 있으나,

심하지 않을 것으로 예상되었습니다.

더불어, 이 케이스의 경우

짧은 얼굴 패턴을 가지고 있기에

치아 이동 시 속도가 느릴 수 있다는 점을

안내해 드렸습니다.

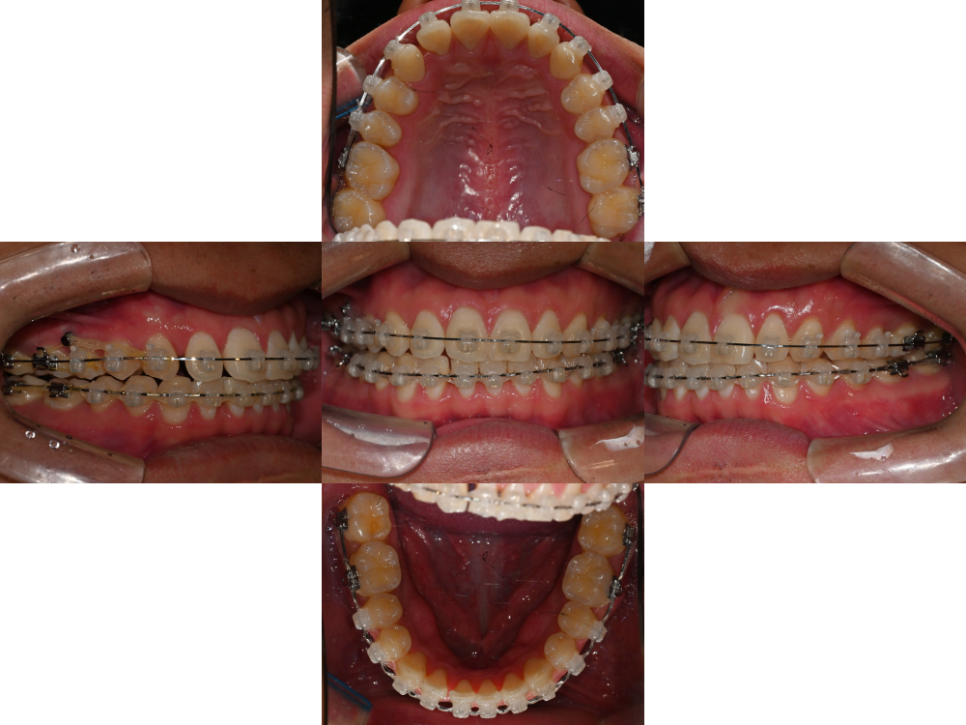
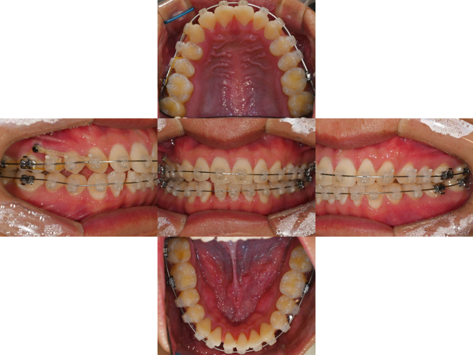
| 3. 과정

23.12.14

이 케이스의 경우

검사와 시뮬레이션을 통해

비발치 교정을 진행했습니다.

클리피씨 브라켓를 치면에 부착하고

오른쪽 윗니 주위에 미니 스크류 를 식립했는데요.

24.04.05

클리피씨 브라켓은

자연치의 이동 시 생기는 마찰력을 줄일 수 있어

통증의 정도가 경감될 수 있습니다.

더불어, 메탈에 비해

더 심미적이며 음식 끼임 정도가 적은데요.

24.08.28

이 덕분에 구강 위생 관리가

용이해진다는 특징이 있습니다.

동시에 정확한 치아 이동을 위해

오른쪽 위 쪽에 식립한

미니 스크류는 고정원의 역할을 담당하여

정확한 자연치 이동을 하는데

큰 도움을 줄입니다.


이러한 과정을 걸쳐

14개월의 치료 기간의

진료가 종결되었습니다.

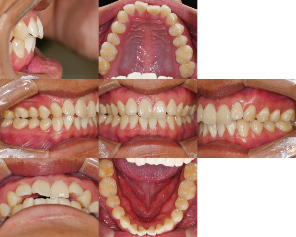
| 4. 종결

25.02.06

위 악궁이 네모난 양상에서

U shape의 양상을 보여주며

위아래 앞니의 정중선이

잘 맞는 것을 관찰됩니다.

더불어, 우측의 교합 또한

이제는 잘 맞는 것을 확인할 수 있었습니다.

치열이 고르게 바뀜에 따라서

환자는 심리적 안정감과 자신감을

얻게 될 가능성이 높습니다.

따라서 웃는 표정 자체가

변화되는 긍정적인 면모도

보여줄 수 있습니다.

이상, 의학 정보글은 마치겠습니다.