안녕하세요!
교정과 전문의 김정은입니다^^
많은 부모님들이
아이의 아랫니가 삐뚤어진 것을
보고 걱정하시는데요.
“미용상 문제일 뿐이니까 괜찮겠지”라
생각하시기 쉽지만,
사실 전악 총생(크라우딩)은
단순한 심미적 문제가 아닙니다.
오늘은 이것이 왜 문제가 되는지,
그리고 어떻게 해결할 수 있는지에 대해
자세히 말씀드리겠습니다.
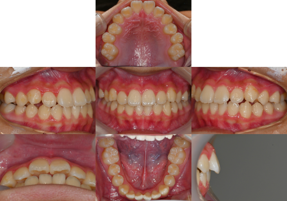
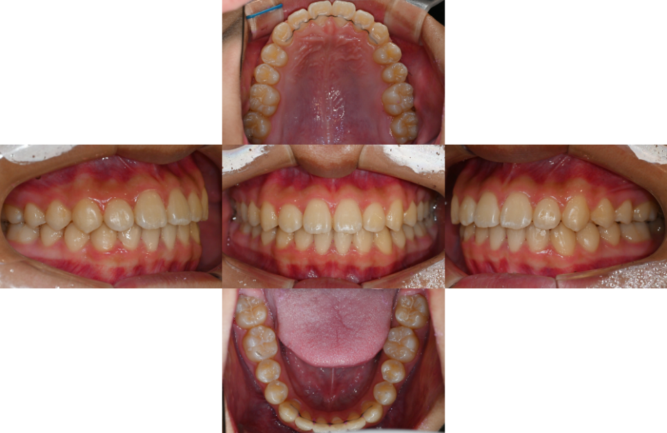
| 1. 총생이란 무엇인가요?

23.08.17
총생은 이가 들어설 공간이 부족해서
이들이 겹치거나 비틀어진 상태를 말하는데요.
많은 분들이
단순히 ‘치아가 삐뚤어졌다’고만
생각하시지만, 실제로는
훨씬 복잡한 문제로,
가장 큰 문제점으로는
위아래 어금니가 제대로 맞물리지 않는
부정교합이 발생한다는 점입니다.
정상적인 교합에서는
위아랫니가 정확히 맞물려야 되는데,
총생이 있으면 이러한 기능적 교합이 어려워집니다.
이는 단순히 보기 싫은 것을
넘어서 실제 기능상의 문제를
일으키는 것 이랍니다.
|2. 방치했을 때
|생길 수 있는 문제들은 무엇일까요?
전악 총생을 그대로 두면
여러 가지 문제가 발생할 수 있는데요.
구강 위생 관리의 어려움이 대표적입니다.

23.08.17
엇갈린 치아 사이에는
칫솔이 닿기 어려워서 치석이 쌓이기 쉽고,
이는 충치나 치주질환의 위험을 높이는 요인이 됩니다.
턱관절 장애도 주의해야 될 점인데요.
부정교합으로 인해
턱관절에 지속적인 부담이 가해지면,
턱관절 통증이나 기능 장애가 나타날 수 있습니다.
또한 소화 기능에도
영향을 줄 수 있는데요.
음식을 제대로 저작하지 못하게 되면
소화에도 부담을 주게 되는 것이죠.
이러한 문제들은 시간이 지날수록
더욱 심해질 수 있기 때문에,
하루라도 빨리 의료진와 상담을
받아보시는 것을 권해 드립니다.
| 3. 발치 없이도 교정이 가능한가요?

23.08.17
다행히 심한 골격적 문제나 심각한 총생이 아니라면
발치 없이도 치열 개선이 가능합니다.

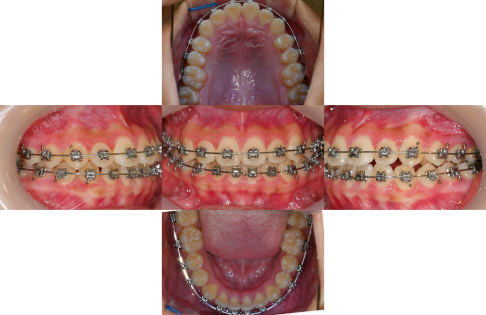
24.02.24
크게 삐뚤거나 배열에서 벗어난 곳이 없다면
이를 뽑지 않고 교정을 진행할 수 있다는 점이
큰 장점인데요.

24.06.22
이동량이 크지 않은 경우라면
예상 치료 기간도 1년 내외로 비교적 짧은 편입니다.

24.11.11
발치를 하지 않고도 충분한 공간을 확보하여
치아들을 올바른 위치로 배열할 수 있습니다.
이 과정에서 위아래 어금니의 교합도
같이 개선되어 기능적인 면에서도
큰 도움이 되는 것이죠.
| 4. 교정 치료 후 어떤 변화가 있을까요?

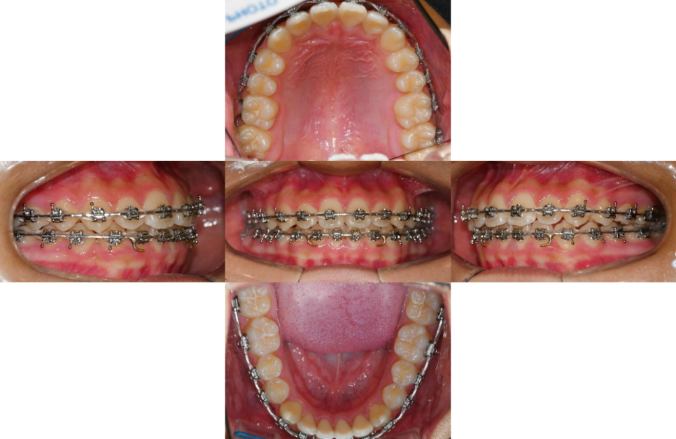
2025.01.24
치열이 개선되면
여러 가지 긍정적인 변화를
경험할 수 있습니다.
우선 구강 위생 관리가 훨씬 쉬워집니다.
엇갈려 있던 치열이 펴지면서
칫솔질이 자연스럽게 편해지고,
음식 찌꺼기가 끼는 일도
줄어들게 되는데요.
이는 충치나 치주 질환의 확률을
크게 줄여주는 효과를 가져다 줍니다.

2025.01.24
또한 턱관절의 통증을 줄여주거나
안면 비대칭을 개선하는 등
배열 개선 외에도 여러 문제들을
해결할 수 있는 치료 방법이랍니다.
| 5. 언제 치료를 시작하는 것이 좋을까요?

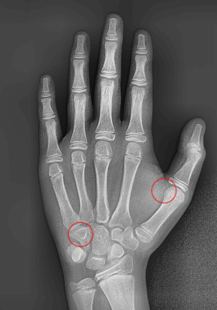
같이 검사할 수 있는 수완부 엑스레이 촬영(성장기 검사)
23.08.17
아이들의 경우 성장기에
치료를 시작하는 것이 효과적입니다.
심한 부정교합이나 틀어짐이 아니라면
성인도 비교적 짧은 기간 내에
좋은 결과를 얻을 수 있습니다.
중요한 것은 하루라도
빨리 정확한 진단을 받아보시는 것인데요.
구치 배열이나 다른 문제들도
같이 확인해야 알맞은 치료 계획을
세울 수 있기 때문입니다.
오늘 말씀드린 의학정보가
필요하셨던 분들께
도움이 되셨길 바라면서 글을 마치겠습니다.
교정과 전문의 김정은이었습니다.
긴 글 읽어주셔서 감사합니다.

치료기간 : 23.08.17 ~2025.01.24
