『안녕하십니까.
면목동 치과 글로리
김정은 원장입니다.』
관리 소홀이나 여러 이유들로 인해
치아 재교정을 생각하시는 환자께서
다수 계십니다.
이런 경우 어떤 종류의 치료를 시작해야 될지
고민이 무척 되실 텐데요.
오늘 그 고민을 덜어드리기 위해
치아 재교정으로 권해드리는 방법에 대해
설명드리도록 하겠습니다.
1. 치아 재교정

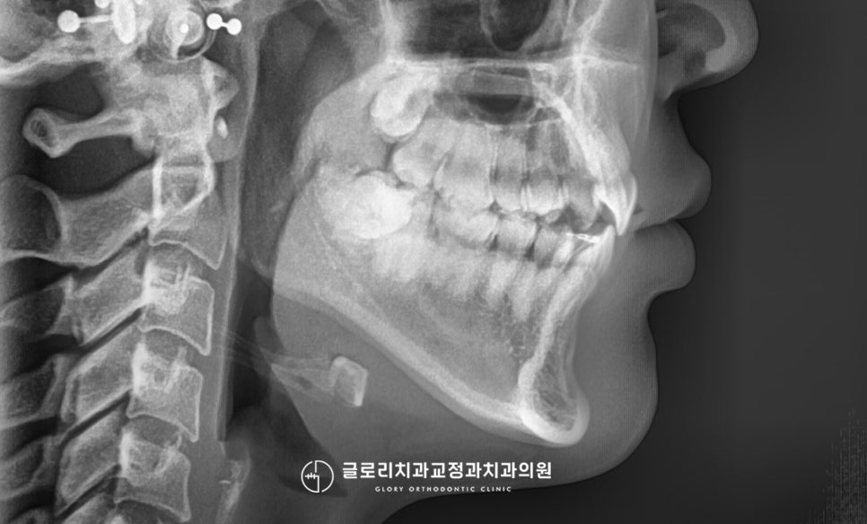
타원에서 고등학생 때 치료를 완료한 뒤
저희 면목동 치과 로 찾아오신
환자의 케이스로 진단을 도와드렸습니다.

몇 년에 걸쳐 치료를 진행했지만,
귀찮음의 이유로 유지 장치(retainer)를
잘 착용하지 않다 보니 이렇게 다시
본래 상태로 돌아오게 되었다고 하셨는데요.
이미 한번 재발이 된 만큼
이번에는 잘하는 곳에서
꼼꼼한 진료를 받고 싶으셔서
저희 글로리 를 찾아오셨습니다.
문제점부터 하나씩 차근차근 살펴보면,
윗니 전치부의 가운데의 인접치로 측절치가
유독 이동한 모습이 눈에 띄었습니다.

앞으로 뻐드러짐과 동시에
살짝 회전된 듯한 형태도 보이는데요.
측면에서 보게 되면 이런 뻐드러짐이
더욱 눈에 띄어 튀어나온 듯한 느낌이 듭니다.
더군다나 앞니 쪽이다 보니
계속 신경이 쓰일 수밖에 없어
치아 재교정을 마음먹으셨다고 하셨습니다.
현재 하악 전치부 뒤쪽으로는
장치를 부착해 재발이 되는 것은
어느 정도 막았지만,
윗니는 이미 틀어진지 오래라
새로운 치료 방법을 찾아야 될 때인데요.
이런 경우를 위해
저희 면목동 치과 에서 진행하는
인비절라인 투명교정을 권해드립니다.
2. 인비절라인 투명교정(Invisalign)

요즘 심미에 대한 관심이 높아지며
치료도 좀 더 티 안 나게 하고 싶은
갈망이 증가하는 추세인데요.
이에 맞춰 인비절라인 투명교정을
권해드리고 있습니다.
요즘 대중적으로 이름을 널리 알리고 있어
‘어디서 들어본 적은 있는데?’
라고 생각하실 수 있습니다.
환자 구강에 꼭 맞는 얼라이너를 제작해
기간에 맞춰 착용을 해 개선을 시키는 방법인데요.
큰 장점이라면 하면
역시나 심미성을 꼽을 수 있습니다.
투명하고 유연한 소재로 만들어져
겉으로 봤을 때는 크게 티가 나지 않아
일상생활에도 큰 문제가 없으며,
자유로운 탈착을 할 수 있어
중요한 행사나 식사 시
잠시 빼고 지낼 수 있습니다.
아프지는 않을까요?
다른 개선 방법에 비해서
통증이 덜 한 편이라고 말씀드릴 수 있는데요.
사람마다 느끼는 통증의 역치가 다르지만
부드럽고 유연한 플라스틱 재질로
만들어지기 때문에
통증이나 이물감이 적은 편이라
인기가 좋습니다.
저희 면목동 치과 에서의
진료를 결정해 주신 이후에는
기존에 부착되어 있던 retainer를 제거하는
과정을 거쳤습니다.
이후에는 3D 컴퓨터 분석을 활용해
환자 구강을 스캔하는데요.
이 스캔 한 데이터를 토대로
각 기간에 맞는 얼라이너를 제작합니다.
결과를 미리 예측할 수 있기 때문인데요.
컴퓨터 분석으로 시작부터 완료 후까지
결과를 미리 예측해
이동 시 생길 수 있는 오차를 줄입니다.

여기 이에 붙어 있는 작은 버튼처럼 생긴 것은
어태치먼트라 합니다.
어태치먼트라는 레진으로 만들어져
자연스러운 색조를 띠어 눈에 띄지 않고,
복잡한 케이스의 개선 시 접촉점을 만들어
효율적인 이동을 돕습니다.
본래 위치가 아닌 곳에 얼라이너를 착용하거나
강한 압력이 전달될 경우
탈락할 수 있으니 조심해서 사용하시길 권해드립니다.
탈락할 경우에는 신속하게 오셔서
검진받으시길 권해드립니다.
3. 개선 과정

재치료 케이스였기 때문에
전체 배열의 정렬보다는
부분적인 개선이 필요했는데요.

시작 후 4개월 뒤,
점점 개선되는 모습을 볼 수 있었습니다.

10개월 뒤에는 뻐드러진 느낌도
점점 뒤쪽으로 잘 이동되었는데요.
진행 과정에서 불편한 곳은 없는지
통증은 없는지 여러 차례
꼼꼼하게 체크를 도와드렸습니다.


그렇게 면목동 치과 에서 15개월에 걸친
과정이 모두 끝이 났습니다.

처음 얼라이너를 교체하는 날 빼고는
큰 통증 없이 잘 사용을 할 수 있어
편했다고 말씀해 주셨습니다.
이제는 다시 재발되지 않도록
정기 검진과 자기 관리
잊지 않도록 해요^^
케이스에 따라 기간이며
가능 여부가 달라질 수 있기 때문에
자세한 진단은 면목동 치과 에서
도와드리겠습니다.
감사합니다.

치료 기간: 23.05.25~24.08.22
