안녕하세요,
교정과 전문의 김정은입니다.
오늘 소개해 드릴 내용은
흔히 주걱턱이라 불리는
골격성 3급 부정교합에 대한 내용을
소개해 드리려 합니다.
“턱이 좀 나와 보인다”는
얘기를 들어본 적 있으신가요?
혹은 웃을 때 위앞니보다
아랫니가 더 튀어나와 보인다고 느껴보신 적은요?
이런 경우, 단순히 치열이 아닌 턱뼈의 구조,
즉 ‘골격성 3급 부정교합’일 수 있습니다.
이 용어가 낯설게 들릴 수 있지만,
간단히 말하면
아래턱이 위턱보다 더 앞으로
자란 상태를 의미합니다.
일반적인 교합과 반대로,
윗니가 아랫니를 덮지 못하고,
오히려 아랫니가 더 앞으로 튀어나온 형태를 말하죠.
오늘은 이 ‘골격성 3급 부정교합’에 대해
조금 더 쉽게,
그리고 정확하게 설명드리려 합니다.
수술이 필요한 경우도 있지만,
모든 케이스가 그렇진 않다는 점,
그리고 어떤 기준으로 진단하고
치료를 계획하는지 같이 알아보겠습니다.
| 1.검진
이 글을 의학 정보 제공을 위해
작성된 글 임을 알려드립니다.

촬영일 : 24.01.09
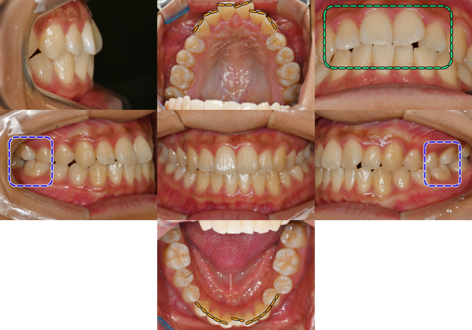
구강 내 모습을 먼저 보겠습니다.
먼저 위아래 치열이 삐뚤고,
윗니가 아랫니를 안정적으로 덮지 못하고
절단연 교합인 것을 확인할 수 있습니다.
더불어, 양쪽 어금니가
3급 부정교합이었는데요.

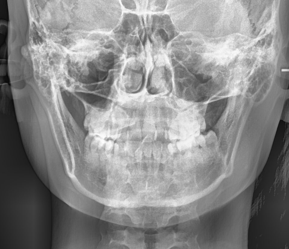
촬영일 : 24.01.09
그로 인해,
코 끝과 턱끝을 이은 선이
입술이 후퇴되어 있습니다.
이러한 형태를
골격성 3급 부정교합 이라 하는데요.
이는 아래턱이 위턱보다
더 앞으로 자라 있는 상태로
정상 교합에서는 윗니가 아랫니를
자연스럽게 덮고 있어야 되지만,
이러한 문제가 있을 경우
아랫니가 윗니보다 앞으로 나와 있거나
위아랫니가 절단 및 반대 교합으로
맞물리게 됩니다.
이러한 교합은 저작 기능 뿐만 아니라
발음, 얼굴의 인상에도 영향을 주기 때문에
심미성과 기능 모두 고려한 접근이 필요합니다.

촬영일 : 24.01.09
치근단 엑스레이를 촬영해 보았을 때
치근의 길이가 양호하였기에
다음과 같은 진료를 진행하기로 했습니다.
| 2. 계획
이 케이스의 경우
골격성 3급임에도 불구하고

얼굴 좌우 비대칭이 거의 없고,
턱 끝 위치도 중심에 가깝고
교합기능도 안정적이었습니다.
따라서, 수술적 치료 보다는
비수술적 치료를 비발치 치아교정
계획하게 되었습니다.
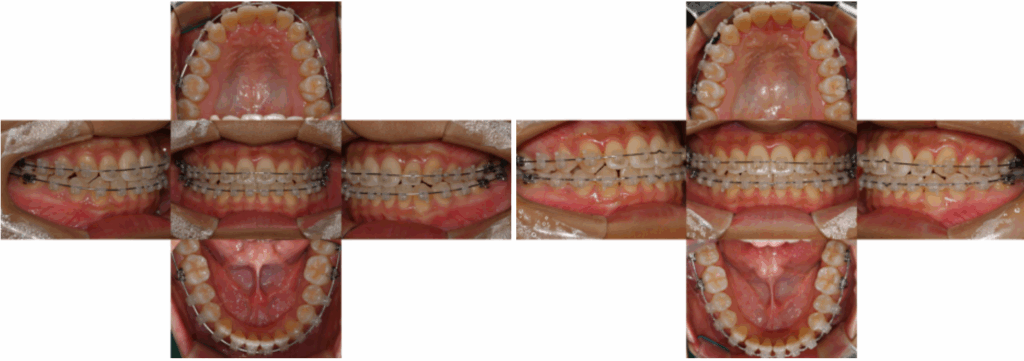
| 3. 과정

촬영일 : 24.04.30/24.05.29
앞니 배열 정리와
부분적 반대교합이 개선,
턱 끝 돌출감을 완화하면서

촬영일 : 24.10.07
정중선과 정렬 유지 및 교합 안정화를
진행해 드리기로 했습니다.
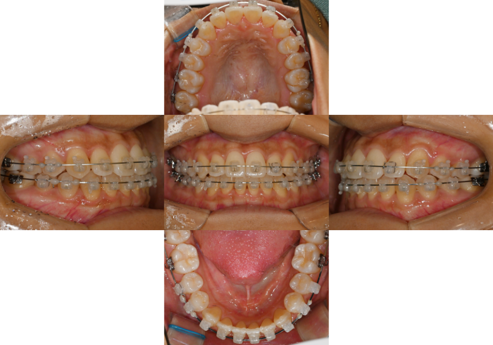
이 케이스는 아직 진행하고 있는 케이스로
추후 완료가 되었을 때
모습을 기회가 된다면
추가로 소개해 드리겠습니다.
골격성 3급 부정교합이라 해서
꼭 수술이 필요한 건 아닙니다.
비대칭이 없고,
턱의 성장 양상이 일정하며,
기능적으로 안정된 경우에는
수술 없이도 교정만으로 개선이 가능합니다.
다만, 정확한 진단을 바탕으로
개별적인 치료 계획을 세우는 것이
무엇보다 중요한데요.
치료 계획을 검진을 받는 의료기관에서
담당의료진을 통해
듣는 것이 좋다는 점을
알려드리면서 글을 마치겠습니다.
본 게시물은 의료 정보 제공을 위한 목적이며,
환자 개개인의 상태에 따라
치료 계획은 달라질 수 있습니다.
지금까지 교정전문의 김정은이었습니다.
긴 글 읽어주셔서 감사합니다.

치료기간 : 24.01.09 ~24.10.07
