치열 개선을 위해 중랑구 교정치과 를 찾아오는 분들을 보면
덧니나 돌출 때문에 내원하는 분들이 정말 많아요.
외관 콤플렉스가 특히나 심한 편이라 많이들 개선을 원하는 것 같습니다.
덧니나 돌출의 경우는 개인의 구강구조에 따라
발치를 하게 될 수도 있고 하지 않을 수도 있는데요.
생각보다 많은 분들이 발치를 하는 기준에 대해 많이들 궁금해하시더라고요.
오늘 중랑구 교정치과 에서는 발치를 해야 되는 케이스와 필요성에 대해
좀 더 자세한 내용을 다뤄볼까 합니다.
얼마 전, 치료를 마무리했던 환자의 진료 과정을 살펴보며 하나씩 설명드릴게요^^
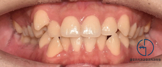
초진
중랑구 교정치과
『“이가 너무 어긋나있고 툭 튀어나와서 거슬려요.”』

오래전부터 삐뚠 치열이 거슬리셨다던 환자분,
외관 콤플렉스는 물론이며 음식 찌꺼기가 계속 끼는 등
청결 상의 문제도 함께 동반되고 있었는데요.
실제 환자의 구강 내를 살펴보면 크고 작은 충치들이
구강 내에 나타나 있는 것을 확인할 수 있었습니다.
하나씩 분석을 해볼까요?
1) 정면

덧니가 눈에 띄는데요.
특히 우측 송곳니가 배열에서 많이 벗어나 있습니다.
전체적으로 총생(crowding)이 심한 편으로 확인되었네요.
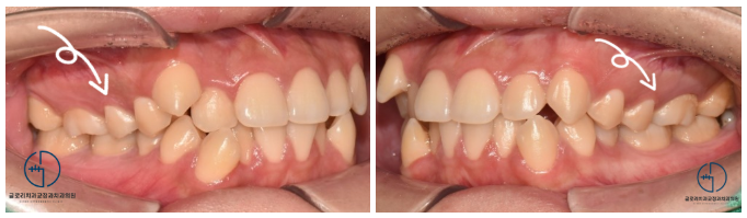
2) 측면

구치부 배열이 고르게 펴져
볼록하게 나와있어야 되지만
좁은 악궁으로 인해 협측으로
쏠려 있는 것을 볼 수 있습니다
3) 교합면
이상적인 악궁의 형태는 둥근 U자입니다.
그러나 배열 공간이 충분하지 않아
안쪽으로 찌그러진 모양이 확인됩니다.
앞서 설명드렸듯이
곳곳에 썩어있는 치아들이 눈에 띄는데요.
아무래도 장치를 부착하기 전,
충치치료를 먼저 진행하는 것이 좋겠네요.
전체적으로 검진을 통해 확인해 보니
골격성 2급 부정교합이 나타나 있었으며
심한 총생(crowding)으로 인해
외관 및 기능적으로 불편함을 겪고 계셨습니다.
계획
중랑구 교정치과
자, 이제 올바른 계획을 세워야겠죠?
이분께서는 겹쳐 있는 치아들이 많았기 때문에
고르게 배열될 공간이 부족했는데요.
이때 할 수 있는 방법에는
1) 치간 삭제
2) 발치
대표적으로 위 두 가지가 있습니다.
그러나 환자께서는 치간 삭제만으로는 공간을 확보가 어려운 상황이라
썩어 있는 사랑니 및 소구치 발치를 통해
고르게 배열될 공간을 확보하는 것으로 최종 계획을 세웠습니다.
발치를 원하지 않는다면 하지 않고 진행할 수 있지만
예상컨대 환자분들께서 원하는 결과를 얻지 못할 수 있습니다.
돌출이나 총생은 고르게 펴질 충분한 공간이 필요한데요.
그 공간을 얻을 수 있는 방법이 ‘소구치 발치’이기 때문이죠.
장치 부착
중랑구 교정치과
발치 후, 장치를 부착하여 이동을 도왔습니다.

하악을 보면 좀 다르게 생긴 와이어가 눈에 띄는데요.
글로리에서는 오픈 코일 스프링(open coil spring)을 사용하여
이가 고르게 펴질 공간을 만들어주었습니다.
* 스프링의 원리를 이용한 장치인데요,
연결 시 압축 정도에 따라 힘의 크기가 달라집니다.
이때 미니스크류의 도움을 받았는데요.
송곳니에 연결하여 후방이동을 촉진시켰습니다.

이후 충분히 벌어진 공간으로
겹쳐 있는 전치부 치아들을 고르게 배열시켰습니다.
아직 발치 공간이 남아있긴 하지만 전에 비해
올바른 배열을 찾아가고 있네요.
마무리
중랑구 교정치과
드디어 모든 과정이 마무리되었습니다.
정중선도 잘 맞고 있었고 여기저기 삐뚤었던 치열도
제위치를 찾아간 것으로 확인이 되는데요.
구치부 배열 상태도 이전보다 더 긴밀하게 자리를 잡고 있었으며
악궁 또한 여기저기 삐뚠 형태보단 U자에 가까운 형태로 바뀌었습니다.

이전과 비교했을 때 배열 상태는 물론이며
썩어 있던 충치들도 모두 제거되어
전체적으로 더 건강해 보이는 느낌을 주고 있네요^^


환자의 안모를 비교해 보면 차이가 더 크게 느껴지실 텐데요.
웃을 때의 입매가 전에 비해 자연스러워진 것을 알 수 있으며
돌출감이 나타나 있었던 것도 개선되어
입술이 편안하게 다물어지고 있습니다.
중랑구 교정치과 에서는
최대한 자연치를 살리는 쪽으로 치료를 하고 있으나
이 환자분처럼 배열 공간이 나오지 않을 때에는
발치를 통해 개선을 도와드리고 있습니다.
같은 돌출, 총생 케이스여도
개인의 구강상태와 악궁의 크기에 따라
계획 내용이 달라질 수 있기 때문에
정확한 것은 전문의에게 검진을 받는 것이죠^^
이와 관련하여 문의할 내용이 있는 분들은
아래 댓글 및 중랑구 글로리 교정치과 로
연락 남겨주시기 바랍니다.
긴 글 읽어주셔서 감사합니다.
