안녕하세요, 중랑구 교정치과 김정은 원장입니다.😊
치아교정을 마쳤는데 시간이 지나면서 다시 치열이 틀어지거나 벌어지는 경우가 있습니다.
나름대로 큰 비용과 시간을 들여 어렵게 치료를 마쳤음에도 치아가 다시 벌어져 속상한 분들이 계실 텐데요.
특히 윗앞니가 벌어지면 웃을 때 신경이 쓰이고 사진 찍을 때도 입을 다물게 되는 등 일상에서 불편함을 느끼시는 경우가 많습니다.
이런 경우 투명교정으로 간단한 재교정을 통해 다시 가지런히 잡아줄 수 있습니다. 오늘 중랑구 교정치과 에서 해당 내용에 대해 자세히 설명드리겠습니다.
치아는 왜 다시 벌어질까요?
이동된 치아는 원래의 위치로 돌아가려는 성질을 가지고 있습니다. 이를 회귀 현상이라고 부릅니다.
교정 치료를 통해 치아가 새로운 위치로 이동하면 치아를 둘러싼 잇몸뼈와 인대 조직도 함께 재배열되어야 합니다.
하지만 이 조직들이 완전히 안정되기 전에 보정장치(유지장치) 착용 및 관리를 소홀히 하면 치아는 원래 있던 자리로 돌아가려 합니다.
그래서 치아를 이동시킨 후에는 일정 기간 동안 그 위치를 잘 유지할 수 있도록 보정해야 합니다.

고정식 교정장치 제거 후 3~4개월 동안은 하루 종일 보정장치를 착용해야 하며 최소 12개월의 보정 기간이 필요합니다.

이 기간 동안 보정장치 착용이 소홀해지면 다음처럼 재발로 인한 치아 벌어짐으로 치아 재교정이 필요해지는데 한 번 틀어진 치아는 통제가 어려운 상황이 될 수 있습니다.

세라핀 교정의 장점
오늘 중랑구 교정치과 에서 재교정 장치로 소개드릴 세라핀 은 투명 장치를 활용한 교정 방식으로 심미성이 뛰어납니다.
기존 철사 교정과 달리 장치가 투명하여 잘 보이지 않아 일상생활에서 자연스럽게 생활할 수 있습니다.
직장인이나 대인관계가 많은 분들께 특히 선호도가 높은 이유이기도 합니다!^^

또한 탈착이 가능하여 식사할 때 장치를 빼고 자유롭게 드실 수 있고 양치 시에도 구석구석 깨끗하게 닦을 수 있어 구강 위생 유지에 유리합니다.
철사 교정의 경우 장치 주변에 음식물이 끼기 쉽고 양치가 어려워 충치나 잇몸 질환의 위험이 높아질 수 있는데 세라핀 교정은 이러한 단점을 보완합니다.
재교정의 경우 전체 치아를 움직이는 것이 아니라 부분적인 조정만 필요한 경우가 많아 세라핀 교정으로 비교적 짧은 기간 내에 효과적인 결과를 얻을 수 있습니다.
단, 세라핀 교정과 같은 가철성 교정장치를 이용한 치료는 환자의 협조도가 중요합니다.
하루 20~22시간 이상 장치를 착용해야 계획대로 치아가 이동할 수 있습니다.
협조도가 떨어지거나 정해진 착용 시간을 지키지 못할 경우 치료 기간이 늘어나거나 기대했던 결과를 얻기 어려울 수 있습니다.
장치를 규칙적으로 착용하고 청결하게 관리하는 정도에 따라 결과가 크게 달라집니다.
또한 정해진 기간마다 새로운 장치로 교체하고 내원하여 진행 상황을 체크받는 것도 중요합니다.
투명교정에서 어태치먼트의 역할
어태치먼트는 치아 표면에 부착하는 작은 돌기 형태의 장치입니다.
치아와 유사한 색상의 레진 소재로 만들어져 눈에 잘 띄지 않으면서도 중요한 역할을 수행합니다.

투명 교정 장치가 치아에 더 잘 밀착되도록 돕고 치아 이동 방향과 힘을 정밀하게 조절합니다.
어태치먼트가 없으면 투명 장치가 치아 표면에서 미끄러질 수 있어 원하는 방향으로 힘을 전달하기 어렵습니다.

마치 미끄러운 표면에서 물건을 밀 때 손잡이가 있으면 더 쉽게 밀 수 있는 것처럼 어태치먼트는 장치가 치아를 잡아주는 손잡이 역할을 한다고 이해하시면 됩니다.

중랑구 교정치과에서는 환자의 치아 상태와 이동 계획에 따라 어태치먼트의 위치, 모양, 개수를 결정하여 효과적인 세라핀 교정을 진행합니다.
치료 후 기대할 수 있는 결과
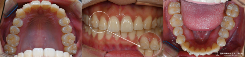
재교정 후에는 벌어졌던 앞니 사이 공간이 닫히며 다시 가지런해진 치열을 확인할 수 있습니다.

투명 장치를 활용한 재교정에서 중요한 것은 ★환자의 협조도입니다.
치료가 완료된 후에도 반드시 리테이너를 꾸준히 착용하고 관리해야 회귀를 예방할 수 있습니다.
한 번 재발을 경험하셨다면 이번에는 보정장치 착용에 더욱 신경 쓰셔야 합니다.
따라서 치료가 끝났더라도 3~6개월마다 정기검진을 받으시길 권해드립니다.
정기적인 검진을 통해 치아 상태를 확인하고 문제가 생기기 전에 미리 관리하는 것이 건강한 치열을 오래 유지하는 방법입니다.
저희 중랑구 교정치과 에서 준비한 세라핀 재교정 정보는 여기까지입니다 감사합니다 !👋👋
*치료기간 : 25.02.28 ~ 25.12.10
