안녕하세요, 교정과 전문의 김정은입니다.
앞니는 단순히 음식을 자르는 기능을 넘어 첫인상을 결정짓는 중요한 심미요소를 담당하는 부위입니다.
특히나 웃을때 제일 먼저 보이는 치아이기 때문에 조금만 앞니 삐뚤어있거나 돌출되어 있어도 얼굴 전체의 인상이 달라보일 수 있는데요.
이는 골격적인 관계가 함께 영향을 주고 있을 가능성도 있습니다.
오늘은 골격성 2급 부정교합이 나타나는 케이스의 치료사례에 대해 알아보겠습니다.
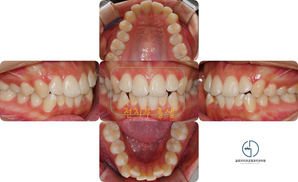
삐뚤빼뚤한 치열

중랑구 교정치과 에서 보여드리는 자료를 보면 현재 전치부가 서로 겹쳐져있으며
일부 치아는 회전되어있거나 치열밖으로 벗어난 모습을 확인합니다.
또한 배열이 고르지 못하다 보니 칫솔이 잘닿지 않는 사각지대가 생기면서
이 주변으로 치석과 치태가 쌓인 모습도 관찰됩니다.

이는 단순한 심미 문제를 넘어 치주질환으로 이어질 가능성이 높기 때문에
기능적인 측면에서도 개선이 필요할 것으로 보여집니다.

측방사진에서 보면 입술이 전방으로 돌출된 양상을 보이며 상악 전치가 전방으로 미세하게 기울어져있음을 알 수 있죠.
중랑구 교정치과 에서 이는 상하악 전후방 관계의 불균형이 동반된 골격성 2급부정교합으로 판단되는데
이러한 경우에는 부족한 공간 확보와 돌출된 상악을 후방으로 이동시키기 위한 발치교정이 필요할 수 있습니다.
클린체크 시뮬레이션

중랑구 교정치과 에서는 클린체크 시뮬레이션을 통해 치아가 어떤 방향으로 얼마나 이동하게 될지 미리 예측하고
그에 맞는 계획을 수립할 수 있습니다. 이 방식은 전치부가 어느 정도 뒤쪽으로 움직이는지, 그로인해 전체적인 치열은
어떻게 변화하는지 다각도로 분석할 수 있다는 장점이 있습니다. 정밀진단을 통해 계획을 수립하였다면 교정이 진행됩니다.

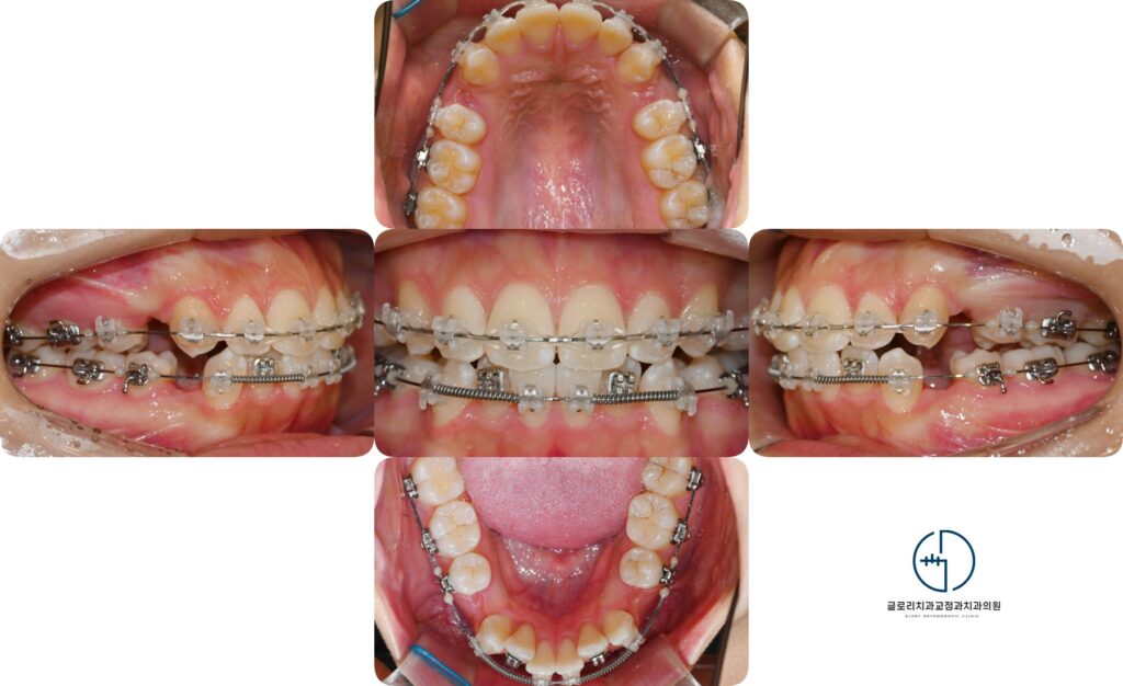
중랑구 교정치과 에서 보여드리는 사진을 보면 현재 치면에 장치가 부착되어 초기 배열이 시작되었음을 알 수 있습니다.
이번 케이스에서는 공간 확보를 위해 위아래 4개 소구치가 제거되었는데 이를 통해 돌출된 앞니를 후방으로
이동시킬 수 있는 공간이 마련되었습니다.
또한 총생으로 불규칙하게 자리잡고있던 치아들도 교정력으로 점차 배열될 수 있습니다.
초기 단계에서는 치아의 높낮이와 기울기를 맞추는 과정이 함께 이루어지며 이후 확보된
발치 공간을 활용해 점진적으로 후방으로 이동시키는 단계로 넘어가게 됩니다.

브라켓과 와이어는 자연치에 지속적이고 일정한 힘을 전달하는 역할을 합니다.
고무줄은 상하간의 교합 관계를 조절하고 앞뒤 균형을 맞추는데 도움을 주죠.
특히나 이번과 같이 골격성 2급 부정교합은 하악의 전후방 관계도 고려가 필요하기 때문에
고무줄을 사용해위아래 조화를 세밀하게 조절할 수 있습니다.

사진과 같이 전치부 쪽 고리에 고무줄을 걸어 어금니에 부착된 장치에 연결해주면
지속된 힘이 가해지면서 치아를 후방으로 유도하고 앞니의 기울기를 조정할 수 있습니다.
이 과정은 전치 돌출을 개선하고 상하의 균형을 맞추는 주요 단계로, 치료가 진행될수록
입술라인이 자연스럽게 후퇴하고 전체적인 얼굴 균형에 긍정된 변화를 가져올 수 있습니다.

서서히 이가 움직임에 따라 빈 공간이 닫히고 있으며 교합에 정밀함을 가하게 됩니다.
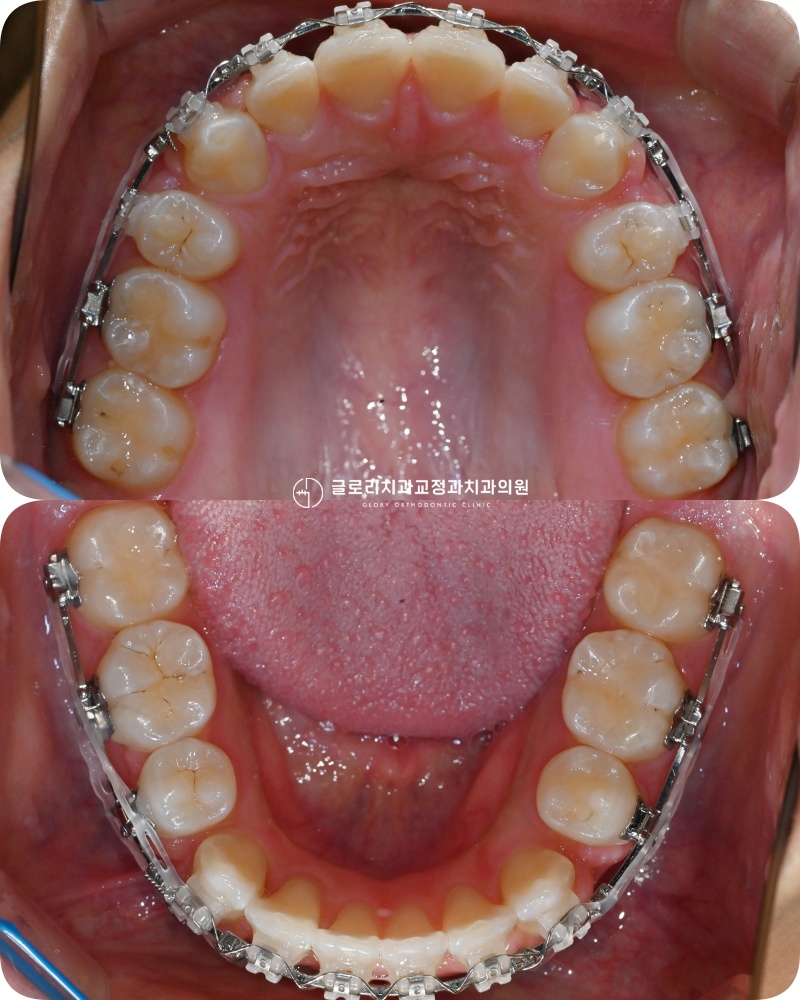
개선된 구강

중랑구 교정치과 에서 최종 모습을 보여드리겠습니다.
교정이 완료된 후 가지런한 치열이 완성되었으며 그로인해 높은 심미성을 회복합니다.

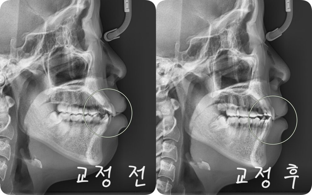
초진시 문제가 됐던 총생과 돌출입도 발치교정으로 개선되었는데 방사선 사진을 통해 그 변화를 확연히 알 수 있습니다.
치료가 끝났더라도 관리는 계속되어야 됩니다 !
개선된 치열이 다시 변하지않도록 유지장치 착용은 성실히 해주시고
정기검진을 통해 구강을 점검하시길 바랍니다.
오늘도 중랑구 교정치과 의 글을 읽어주셔서 감사드리며 마치도록 하겠습니다.
이상 김정은 원장이었습니다. ^^
치료기간 : 24.05.24~ 25.12.03
