선천적 결손치
중화역 신내동 교정치과
보통 28개의 치아가 나와야 되는데요.
영구치가 정상적으로 맹출되지 않아 개수가 모자란 것을 말합니다.
과잉치보다 빈번하게 발생하는 편이며 상,하악 관계 없이 나타나곤 하죠.
보통 제 3대구치(사랑니)가 결손되는 경우가 많은데요.
이외에도 상악 측절치, 하악 제2소구치, 하악 전치 등 곳곳에서 발생합니다.
『오늘 중화역 신내동 교정치과 에서 설명드릴 케이스는
하악 전치의 선천적 결손으로 치료를 진행했던 환자의 케이스인데요.
심한 상악 돌출까지 동반하고 있었습니다.』
과연 어떤 방법으로 개선을 도왔을지,
글로리와 함께 알아보도록 하겠습니다.
앞니가 모자란데다가 이가 너무 튀어나왔어요.
중화역 신내동 교정치과
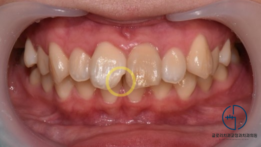
구강 상태를 확인해보겠습니다.
1) 정면

제일 먼저 눈에 띄는 것은 전치부 치아의 파절입니다.
앞니 근심 절단부위가 깨져있었으며,
윗니가 아랫니를 과도하게 덮는 과개교합도 나타나 있었습니다.
2) 측면

측면에서 관찰을 해보니 상악이 돌출되어
수평피개량이 크게 나타나 있었습니다.
이정도라면 절단 기능을 아예 하지 못했을 것 같은데요.
실제로 면이나 베어먹는 음식은 가위 없이 먹을 수 없다던 환자 분.
교합면에서 봤을 때에는 과연 어떤 문제가 발견되었을까요?
3) 교합면

교합면에서 관찰을 해보니
하악 전치 2개가 결손된 것이 확인되었습니다.
본래 송곳니까지 6개의 전치가 있어야 되는데요.
환자께서는 4개의 전치만 갖고 있었죠.
진단 내용에 따른 계획 수립
중화역 신내동 교정치과
골격성 2급 부정교합 + 하악 전치의 결손으로 인해
수평피개량이 더 크게 나타난 것으로 판단이 되었습니다.
이런 경우에는 구호흡을 동반할 가능성도 높게 나타나기 때문에
최대한 빠른 시일 내에 개선을 해야 되죠.
또한 상악 양쪽 첫번째 앞니의 크기 및 형태 부조화가 나타나 있었는데요.
위 진단내용을 토대로 중화역 신내동 교정치과 에서는
아래와 같은 계획을 세워 치료를 진행하기로 했습니다.
『▶ # 14 # 24 발치를 통해
돌출된 상악 전치부 배열
▶ 배열 후 상악 전치부 보철 수복
글로리의 계획』
진행 과정
중화역 신내동 교정치과
앞서 계획했던 대로 상악 소구치 발치를 통해
후방이동을 할 수 있게끔 배열공간을 확보했습니다.
잇몸을 보면 미니스크류의 모습을 확인할 수 있는데요.

『왜 미니스크류를 사용하여
치료를 도왔을까요?』
미니스크류를 사용하여 전치를 후방이동 시키면
구치의 이동 없이 완전한 전치의 후방이동을 얻을 수 있기 때문이죠.
이후 코일 스프링 및 고무줄의 도움을 받아
좀 더 긴밀한 조정을 통해
안정적인 배열이 될 수 있도록 유도했습니다.

배열은 어느정도 자리가 잡혔으나
상악 앞니의 형태 및 크기가 눈에 띄네요.
마무리 단계
중화역 신내동 교정치과
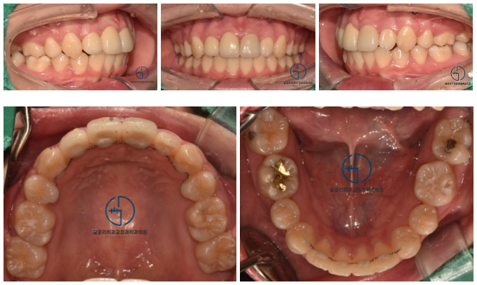
모든 과정이 마무리 되고
전치부 보철까지 제작을 완료했습니다.
이때 결손치와 크기 이상으로 인해
정중선이 약간 삐뚤어져 있었는데요.
정중선도 잘 맞고
인접치와 자연스럽게 어우러질 수 있게끔
보철을 제작했습니다.
최종 결과를 함께 살펴볼까요?
한눈에 봐도 심미성이며 기능이며
모든 면이 개선된 것이 확인되었습니다.

특히나 측면에서 관찰했을 때의
피개량 및 교합양상은
전과 비교했을 때 훨씬 더 안정적으로 바뀌었는데요.

골격성 문제인 것도 그렇고, 비발치로 진행되었기에
완벽한 교합을 얻는 것엔 한계가 있을 수 밖에 없지만,
그럼에도 불구하고 치아 배열만으로도
좋은 결과를 얻을 수 있었습니다.

이전에는 돌출감이 느껴졌기에
입을 제대로 다무는게 힘들었던 환자 분,
자연스러운 입매는 물론이며
예쁜 심미선까지 갖게 되었습니다.
글을 마치며
중화역 신내동 교정치과
성인 골격성 부정교합의 경우는
와이어, 브라켓만으로 모든 부분을 개선할 수 없습니다.
그러나 성장이 멈추지 않았을 때에는
장치를 이용해서 충분히 치료할 수 있는데요.
시기를 놓치지 않는 것이
부정교합 치료에 있어 정말 중요한 포인트라 할 수 있습니다.
우리 아이의 치열이 삐뚤게 자라거나
해당 케이스처럼 결손치가 의심 될 경우에는
최대한 빠른 시일 내에 중화역 신내동 교정치과 를 내원하여
올바른 검진을 받아보시기 바랍니다.
감사합니다.
