안녕하세요,
교정과 전문의 김정은 입니다.
일부 부정교합은
잘못된 구강 습관에 의해
발생하기도 합니다.
특히 혀내밀기 습관을 가진 환자들에게
앞니 사이 벌어짐 (치간 이개, spacing)을
쉽게 관찰할 수 있는데요.

츌처 : https://www.researchgate.net/
혀를 앞니 사이로 자주 내밀면
치아에 지속적인 압력(설압)이 가해지며
시간이 지남에 따라 치아 사이가
금방 벌어질 수 있습니다.
이러한 습관은 특히 어린 시절에 형성되어
성인기까지 이어질 수 있으며
치아 배열에 영향을 줍니다.
혀 내밀기 습관을 교정하면
치간 이개의 진행을 막을 수 있으나,
심한 경우 치과교정과 전문의의
도움이 필요할 수 있습니다.

치료기간: 2024.01.08 ~ 25.01.14
오늘은 혀내밀기 습관 때문에
앞니 사이 벌어짐 이 생긴 경우의
교정치료 과정을 살펴보겠습니다.

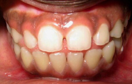
2024.01.08
활짝 웃을 때
앞니 사이 벌어짐이 관찰되었고
코끝과 턱끝을 이은 선을 기준으로
진단해보니 입술의 돌출이 있습니다.

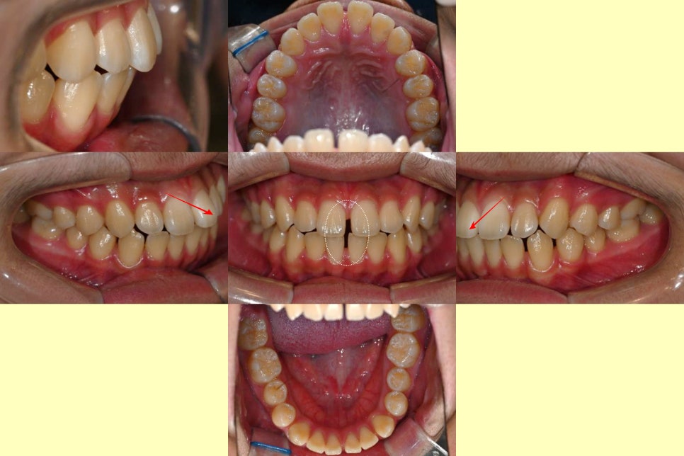
2024.01.08
앞니 사이 벌어짐 과 함께
입술 쪽으로 뻐드러진 각도마저 관찰된다면
혀내밀기 습관을 가진 환자의 전형적인
앞니 형태라 볼 수 있습니다.
혀의 강한 힘에 의해 튀어나온 아랫니가
절단교합과 반대교합까지 유발할 수 있습니다.

2024.01.08
안모를 봤을 때, 턱끝이 왼쪽으로 치우친
비대칭 양상이 관찰되었으나,(왼쪽)
눈확아래선을 기준으로 보면
골격의 비대칭은 심하지 않은 편입니다.(오른쪽)

2024.01.08
어금니 교합이 정상인 점(1급 관계),
위턱과 아래턱이
조화로운 상태인 점(Skeletal class I)
등을 고려하여
비발치 교정을 결정했습니다.

2024.01.08
단, 혀내밀기 습관으로 발생한
공간을 폐쇄하고 앞니를 배열할 때
돌출입이 해소되는 정도에 따라
작은 어금니 발치 여부를 판단하기로 했습니다.
앞니를 뒤로당겨 후방으로 위치시켜야
입술 돌출감을 어느정도 줄일 수 있는데
이를 위한 공간이 생각보다 많이 필요할 경우엔
발치교정을 진행하는 편입니다.
•발치교정으로 변경됨에 따라
6개월~1년 정도의 치료기간이 소요될 수 있습니다.
치료과정
혀내밀기 습관의 통제가 잘 안될경우
공간폐쇄 작업도 더디게 진행됩니다.
따라서 치료기간 중에
환자분에 협조도가 중요합니다.

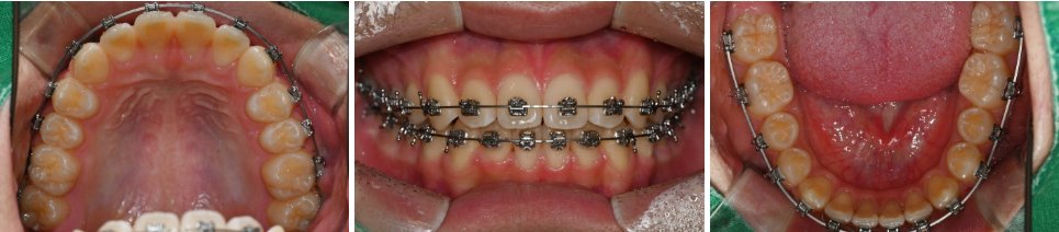
24.05.02

24.10.11
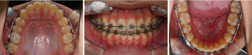
거의 모든 공간이 폐쇄되었을 때
전체적인 얼굴 모습을 확인하며
발치 여부를 판단한 결과,

24.07.05
비발치교정으로 마무리하는 것으로
결론을 내렸습니다.

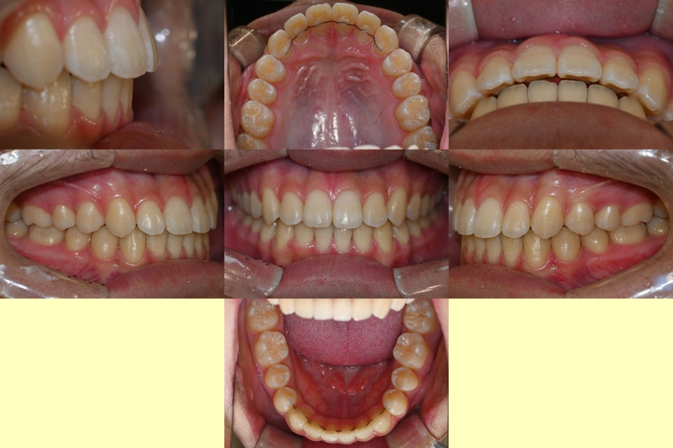
25.01.14
다음은 교정 후 모습입니다.
앞니 사이 벌어짐 과 뻐드러짐 이
단번에 개선되면서 치아각도도
올바르게 세워졌습니다.

25.01.14
앞니가 가지런하게
안쪽으로 모이면서 안모에도
좋은 변화가 찾아왔습니다.^^
※ 교정치료 완료 후에도
혀 내밀기 습관의 개선이 필요합니다.
습관이 개선되지 않을 경우, 치아 사이 공간이
다시 벌어질 수 있습니다.
(재교정 가능성 有)
또한 현상태 유지를 위해
고정식, 가철식 유지장치를
일정기간 착용하는 것도
꼭 필요한 부분입니다!!
지금까지 교정과 전문의 김정은이었습니다.
