과거 교정 치료에서는 주로 금속 재질로
만들어진 브라켓을 사용하곤 했는데요.
그러나 시대가 점점 변하면서
심미에 대한 중요성이 높아지는 요즘,
조금 더 예쁘게, 조금 더 티가 나지 않게
이러한 부분에서의 개선 수요가 늘어나고 있습니다.
이러한 추세를 반영해
티가 나지 않는 치료 방법들을
많은 의료기관에서
여러 가지 방법을 시행하고 있는데요.
이와 관련된 주제로
‘클라리티 브라켓’ 방식에 대한 소개와
과정에 대해 설명드리도록 하겠습니다.
『1. 클라리티 브라켓이란?』
3M에서 개발한 세라믹 bracket으로
기존 금속과 비교를 했을 때
심미성이 뛰어난 특징을 가지고 있습니다.

금속 장치의 경우 멀리서도 쉽게 보이지만,
이 장치는 이 색조와 거의 유사하여
가까이에서도 잘 눈에 띄지 않습니다.
또한, 세라믹의 단점인 깨지기 쉬운 부분들을
보완하여 특수 강화 세라믹을 사용해
충격에 강하다는 특징이 있습니다.
표면이 매끄럽게 처리가 되어 있어
구강 점막에 자극을 덜 받게 되고
상처가 생길 위험이 줄어들어
좀 더 편안한 착용감이 있습니다.

셀프 리게이팅 옵션이 있어 마찰력이 적어
이동 속도가 빨라질 수 있으며,
통증도 같이 줄어들게 되어
치료가 좀 더 편안해질 수 있습니다.

치료 기간: 23.08.21~25.01.08
『2. 과정』

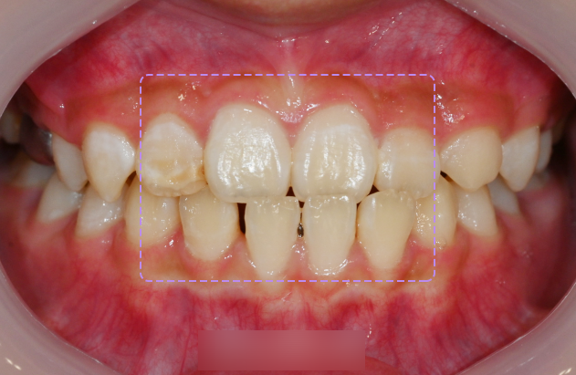
사진을 보면 아랫니가 거꾸로 물리는
부정교합 3급 케이스 입니다.

『부정교합 3급은 흔히 ‘반대교합’으로
아래턱이 위턱보다 앞으로 나와 있는
상태를 말하는데요.』

아래턱이 앞으로 더 돌출되어 나오다 보니
주걱턱 경향을 보이게 되어
겉으로 보기에도 좋아 보이진 않습니다.

특히 이렇게 아직 성장을 진행 중인
어린이의 경우라면 더더욱 조기에
문제를 바로잡는 것이 중요합니다.

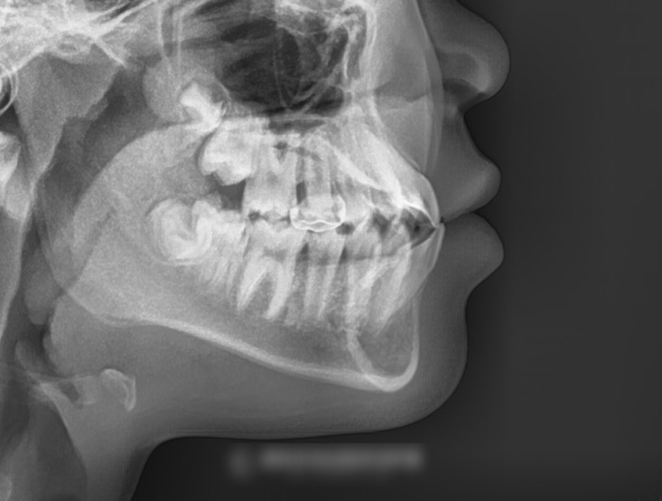
여러 검사를 통해
위아래 위치 관계 및 영구치 맹출 여부를 판단 후
주걱턱 치아교정 치료가 이뤄지는 게 좋습니다.
이 과정에서 진행하는 방법은
여러 가지가 있는데요.

이제 곧 사춘기에 접어들 연령대에서는
외모에 대한 관심도가 높아집니다.
이에 따라 금속으로 된 장치는 선호하지 않아
심미 부분을 보완할 수 있는 방법을 고려해볼 수 있습니다.
보통 여기에서 많이 고려하는 방식이
클라리티와 인비절라인인데요.
두 가지의 특징은 다른 편이라
둘의 특징을 비교하여 설명드리겠습니다.
| 클라니티 브라켓 | 인비절라인 | |
| 심미성 | 👍👍👍 | 👍👍👍👍 |
| 강도 | 👍👍 | 👍👍 |
| 착용감 | 👍👍👍 | 👍👍👍👍 |
| 속도 | ⏰⏰ | ⏰ |
위의 표를 보신 뒤에 둘 중에 하나를 선택할 수 있으나,
인비절라인은 경우에 따라 불가할 수 있습니다.

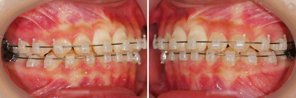
클라리티 브라켓으로 부착한 모습입니다.

이렇게 부착한 뒤의 모습을 보았을 때
특수 코팅 처리가 되어 있어 심미성이 뛰어납니다.
또, 가까이서 얘기를 나눌 때도
크게 티가 나지 않는 장치라 말씀드릴 수 있습니다.

이렇게 심미성을 보완한 방식으로
부정교합 3급 주걱턱 치아교정을
서서히 개선해나갈 수 있습니다.
위턱보다 앞으로 돌출되어 나와있던
아래턱이 점점 후방으로 견인하여
올바른 교합 관계로 변하고 있음을 볼 수 있는데요.

또한 앞니 사이에 비어 보였던 공간들을
이동 과정을 통해 앞으로 잘 모아줍니다.
그러면서 맞지 않던 가운데 정중선 라인을
점점 잡혀져 가고 있음을 확인 가능합니다.

올바른 위치에 이동시켜 놓음으로써
모든 치료는 다 끝납니다.
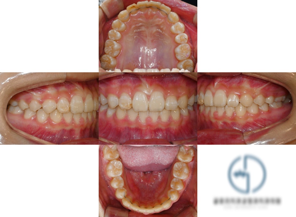
우선 주걱턱 치아교정이 필요했던 앞니 쪽부터 보면
현재는 윗니가 아랫니를 덮는 형태로 잘 이루어져 있는데요.
이를 통해 어금니의 맞물림도 불편함이 없도록
잘 맞춰드리는 게 중요합니다.
앞니 사이의 빈 공간으로 다소 유격이 있었던
부분들도 잘 개선이 되어 있습니다.
틈새들이 잘 메꿔짐으로써
가지런하게 정리된 치열을 보여주게 됩니다.

옆모습 또한 자연스럽게 잘 해결되었습니다.
이번 클라리티 브라켓,부정교합 3급에 관한
포스팅을 마치도록 하겠습니다.
비슷한 증상을 띄고 있다면
가까운 인근 의료기관에서 검사 받아보시길 바랍니다.
긴 글 읽어주셔서 감사합니다.
교정과 전문의 김정은이었습니다.
