안녕하십니까.^^
글로리 중화역 치과 의
김정은 대표원장입니다.
오늘은 심한 덧니와 주걱턱 치아교정이라는
주제를 가지고 케이스를
소개해 드릴 예정인데요.
어떠한 방법으로 개선했으며
전/후는 어떻게 달라졌는지
낱낱이 파헤쳐 보겠습니다.^^
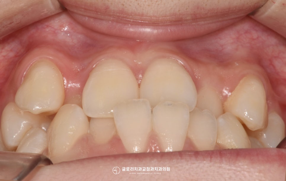
1. 초진: 20대 초반 여성
심한 덧니로 인해 고민이 많으셨던
20대 초반 여환께서 저희 중화역 치과 를
찾아오시게 되셨습니다.
어렸을 적부터 외모 콤플렉스가 심해
몇 번이고 망설이다가 내원을 하시게 되셨는데요.
정확한 진단을 위해 구내를 먼저
환자께서 말씀하셨듯이 심한 덧니가
바로 눈에 띄는데요.
양쪽 위 송곳니가 위쪽으로 솟아
제 위치가 아닌 곳에서 자리 잡아
더욱더 도드라져 보입니다.
게다가 또 다른 문제점 또한
찾아볼 수 있었는데요.
앞니쪽을 보시면 어색한 듯 물려있는
형태를 관찰하실 수 있는데요.
보통 윗니가 아랫니를 덮는 자연스러운
피개 방식으로 되어있어야 되지만,
이 경우에는 거꾸로 물리는 반대교합을
나타내고 있었습니다.
이런 반대교합은 아랫니가 윗니를 덮어
아래턱이 전방으로 돌출되어 나올 가능성이 있는데요.
이렇게 아래턱이 전방으로 돌출되어 나온다면
주걱턱의 형태도 쉽게 볼 수 있습니다.

안모 사진에서도 역시나
아래턱이 돌출되어 나온 경향을
관찰할 수 있었습니다.
반대교합과 주걱턱은 치아교정으로
개선하지 않을 경우에는
큰 악영향을 미칠 수 있는 부분인데요.
이렇게 거꾸로 물리는 교합으로
오랜 기간 식사를 이어갈 경우에는
서서히 저작 기능이 저하될 수 있습니다.
특히나 저작을 담당하는 구치부에서
제대로 된 과정들이 이루어지지 않는다면
음식이 잘게 쪼개지지 못해
소화하는 데 부담을 주고 그로 인해
위장 장애나 영양 섭취 불균형을 이룰 수 있습니다.

또한 턱의 위치에 부담을 주며
강한 압력을 전달해 무리가 생길 수 있는데요.
이런 과정들이 이어질 때에는
추후 턱의 통증, 두통,
목과 어깨의 뻐근함을 만들어내며,
심한 경우에는 턱을 여닫는 동작이
어려워질 수 있습니다.
또한 정상 포인트가 아닌 다른 곳으로
맞닿기 때문에 마모가 쉽게 생길 수 있는데요.
이러한 마모도 시간이 지나 심해질 경우
이가 부러지거나 닳는 문제가 생길 수 있어
중화역 치과 에서 개선이 필요한 부분입니다.
2. 복합 문제 개선 과정
저희 중화역 치과 에서 찾게 된
주요 문제점들은 이렇게 됩니다.
『1) 심한 덧니
2) 반대교합
3) 주걱턱』

치아교정을 통해 차차 모두 개선해 나가기로
설명을 도와드렸습니다.
위치 배열에 관한 부분은
치아의 이동이 필요했는데요.
이동에 필요한 공간은
발치를 통해 space를 확보하여 진행했습니다.

공간에 대한 마련은
위아래 양쪽에 위치한 소구치를
하나씩 4개를 뽑아 이동을 시켰는데요.
이를 뽑은 뒤에는 치면에 브라켓을 부착해
교정력이 전달될 수 있도록 도왔습니다.
워낙 복합 문제를 가지고 있었던 케이스라
시간은 꽤 걸릴 것으로 예상되었는데요.
오랜 시간이 걸리더라도
바르게 부작용이 없도록 차근차근
도와드리기로 중화역 치과 에서 설명드렸습니다.

시간의 흐름에 따라 서서히
움직이는 과정들을 볼 수 있었습니다.
그중 눈에 띄는 움직임을 볼 수 있었던 곳은
송곳니 부분이었는데요.
이전에는 위로 솟은듯한 느낌으로
눈에 먼저 띄곤 했지만,
이제는 본래 송곳니 자리를 잘 찾아와
정렬이 잘 되어가고 있는 모습을 보여줍니다.

여기 발치로 인해 생긴 space도
폐쇄를 시키려면 앞으로 1년 정도
더 지켜보아야 됐는데요.
공간을 폐쇄시키기 위해서
파워 체인(power chain)을 체결해
회전과 이동을 도왔습니다.

3. 완료

3년 9개월에 걸쳐
마무리된 모습입니다.
이제는 한눈에 보아도
‘잘 정렬되었다, 치열이 고르다.’라는
느낌이 드는데요.
거꾸로 물리던 앞니와 덧니로
심미성이 떨어졌던 부분들 또한
잘 치료된 모습으로 전보다 훨씬 낫네요^^
치료가 끝난 뒤에는
위아래 앞니 뒤쪽으로 유지 장치를
만들어 부착해 본래 상태로 돌아오는 것을
방지하기로 했습니다.

환자께서도 이제 환한 미소도 두렵지 않으며
자꾸만 웃게 되어 기분이 좋으시다며
치료 결과를 마음에 들어 하셨습니다.
저희 글로리 치과 에서 진행한
여러 케이스들은 아래 링크를 통해서도
보실 수 있습니다.
중화역 치과 였습니다.
감사합니다.

치료 기간: 20.12~24.09
