위, 아랫니가 거꾸로 물리는 반대교합은
외적으로 큰 콤플렉스가 될 뿐만 아니라,
턱관절과 같은 여러 문제로도 이어질 수 있습니다.
따라서 망우역 치과 에 오셔서 조기에 발견한 뒤
적절한 조치를 취하는 것이 중요한데요.

출처 – 구글
특히 3급 부정교합의 경우 유전 확률이
매우 높기 때문에 이점을 유의하여
어릴 때부터 조기 검진을 진행하는 것이 좋습니다!
『제가 항상 강조하는 것이 있습니다.
바로 ‘성장기 교정 시기의 중요성’인데요.』
시기를 적절히 잘 이용하여 치료를 진행한다면
짧은 기간 내에 더 좋은 결과를 낼 수 있죠.
“이가 거꾸로 물려요.”
덧니와 거꾸로 물리는 반대교합으로
망우역 치과 에 오셨던 분입니다.
거꾸로 물리는 치열과 덧니로 인해
고민을 갖고 계셨던 분인데요.
실제 구내 사진을 보면 부정교합의 정도가
꽤나 심하게 나타나 있는 것을 볼 수 있었습니다.

이런 경우 저작기능도 제대로 할 수 없기 때문에
식사도 편하게 하지 못합니다.
라면과 같은 면 종류의 음식은
끊어 먹지 못할 정도로 불편함이 크죠.
환자께서 말씀하셨던 얘기 중 기억에 남았던 것이
‘라면 좀 편하게 먹고 싶어요.’ 였는데요.
위, 아랫니가 제대로 물리지 않아
가위가 없으면 음식을 먹을 수 없을 정도로
큰 불편함을 느끼고 계셨다네요ㅠㅠ
어떻게 개선을 돕기로 했을까?
망우역 치과 에서는 소구치 발치를 진행한 뒤
얻은 공간을 활용하여 이동을 돕기로 했습니다.
덧니를 제위치 시키며
올바른 교합을 완성시키는 것이
이번 치료의 관건이라 할 수 있습니다.
이점을 유의해서 진료를 도와드리기로 했죠.
『아 참, 제일 중요한 것은
올바른 시기인지!인데요.』
수완부 방사선 및 정밀 검진을 시행한 결과
다행히 교정을 하기에 딱 적절한 연령대에 오셔서
문제없이 진료를 도와드리기로 했습니다^^
반대교합 및 덧니 개선 과정
거꾸로 물리는 반대교합과 덧니를 해결하기 위해
소구치 발치를 먼저 진행했습니다.
아플까 봐 겁을 많이 드셨던 환자분이였는데요ㅎㅎ
마취 후 안전하게 발치를 도와드렸더니
‘벌써 다 끝났나요?’라며 물어보시더라고요.
걱정할 만큼 아프지 않답니다^^

발치 후 이동을 이끌면서
올바른 교합을 완성시켜갔습니다.
이때 바이트블럭을 이용하여
교합을 의도적으로 띄워준 뒤,
전체 배열을 시행했는데요.
이때가 아마 제일 불편한 시기가 아닐까 싶습니다.
저희 망우역 치과 에서는 턱관절에
좋지 않은 영향을 주지 않게끔
치료 기간을 적절하게 조정하여 진행을 하고 있죠^^
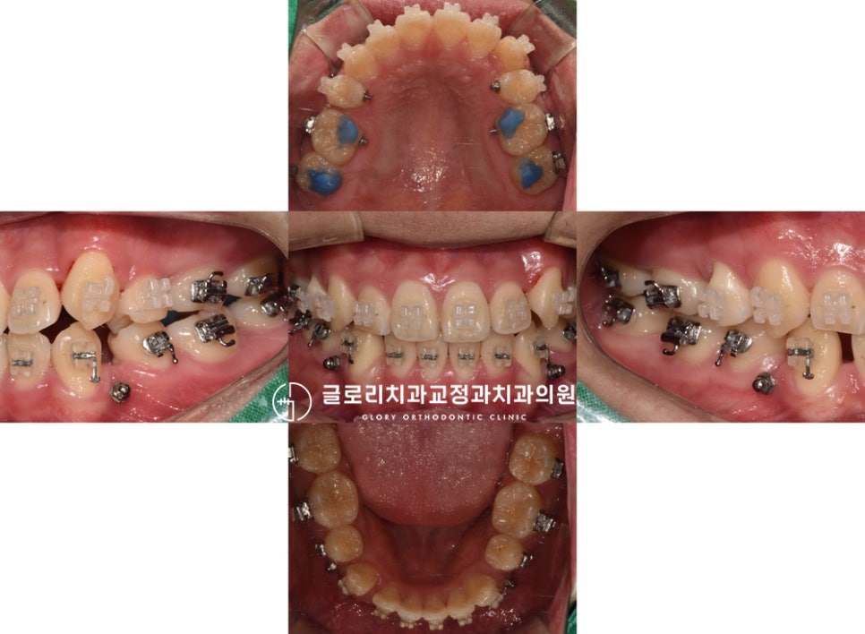
그 결과 아래와 같은 모습으로 바뀌었습니다.
정중선도 알맞게 잘 맞고 있었으며
전체적으로 고르게 바뀐 것을 볼 수 있는데요.

문제가 되었던 치열과 교합이 해결되어
이전에 비해 훨씬 건강하고
안정적인 배열이 되었네요.


무엇보다 음식을 먹는 것에 있어
즐거움을 느끼게 되었다는 환자분,
면 종류 음식도 잘 끊어 먹는다며
스리슬쩍 자랑까지 하셨는데요.
관리 잘 하셔서 고른 치열
오래 유지하시길 바랍니다!^^
이렇게 변화된 모습을 보니
그 차이가 더 크게 느껴지네요ㅎㅎ
저희 망우역 치과 에서는 체계적인 검진을 시행한 뒤,
환자의 상황에 맞는 올바른 시기를 찾아
진료를 도와드리고 있습니다.
이와 관련하여 문의할 내용이 있는 분들은
아래 댓글 및 글로리로 연락 주시면
자세하고 친절한 설명 도와드리겠습니다ㅎㅎ
긴 글 읽어주셔서 감사합니다.
김정은 원장이었습니다!

