『신내동 교정치과 김정은 원장입니다!』
오늘 여러분들께 소개해 드릴 의학정보는
돌출 개선과 함께 임플란트 식립 공간에
관한 내용 입니다.
단순히 치열 개선이라 하면 삐뚤어진 곳을
올곧게 배열하는 것이라 생각하는 분들이 계십니다.
그러나 한 가지 알아두셔야 될 것은
임플란트 식립이나 여러 치료 시에도
도움을 받을 수 있는 술식이라는 것이죠!
말로만 설명을 드리려니
이해가 잘 안가실 수 있는데요.
준비한 예시 자료를 함께 보며 자세한 설명을 드리겠습니다^^

1) 돌출된 입매 2) 치아 총생 3) 반대교합
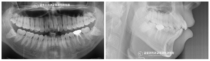
가져온 사진을 보면
위와 같은 치열 문제들을 확인할 수 있으며,
발치 예정인 어금니도 관찰됩니다.

예시 사진을 보니,
임플란트 식립이 필요할 것으로 판단됩니다.
그러나, 식립을 진행하기 전
알맞은 치아 배열이 중요하기 때문에
위 사진의 경우
우선 치열 개선이 필요하겠습니다.
임플란트는 치조골(뼈) 안에
심어지는 고정식 장치라 한번 식립 된 이후에는
이동을 할 수가 없습니다.
이런 이유에서 미리 배열을 완성시켜 놓은 뒤
수술을 진행하는 것이죠.
현재 나타난 치열 문제를 개선하는 동시에
고정체가 안정적으로 심어질 수 있도록
알맞은 식립 공간을 확보해줍니다.
우리의 자연치는 빈 공간으로
움직이는 성질을 갖고 있는데요.
발치 후 인접 치아들이 이동하지 않도록
이점을 유의하여 개선을 돕는것이 좋습니다^^
평소 툭 튀어나온 입매가 거슬렸다면
교정을 통해 개선할 수 있습니다.

『돌출, 총생, 교합 개선 및
식립 공간 확보』
상악이 심하게 돌출되어 있었기 때문에
위, 아래 악궁의 균형을 맞추기 위한
‘소구치 발치’를 시행하는 것이 좋은데요.
소구치 발치로 얻은 자리를 이용하여
위턱의 후방이동을 이끌수 있습니다.
이때 아래 어금니도 함께 발치를 시행합니다.

반대교합이 나타났던 두 번째 앞니는
양옆 치아의 도움을 받아
제 위치를 찾을 수 있도록 교정력을 부여합니다.

어느 정도 정돈된 구강 내 모습입니다.
상악 미니 스크루 식립으로 진행할경우
더 긴밀하고 신속한 이동을 이끌수 있습니다.
고정체가 심어질 곳도 충분히 확보되어
안정적인 모습을 보여주고 있네요^^
『약 2년 정도의 치료기간이 소요됩니다.』

문제가 되었던 반대교합도 해결되었으며,
위턱 후방이동으로 돌출 입매도 사라졌네요.
전체적으로 고르게 배열되어 건강하고
심미적인 모습으로 바뀌었습니다.
아래 어금니도 크게 줄어든 곳 없이
픽스쳐가 심어질 위치가 잘 보존되어 있죠?

입매도 자연스레 바뀌어
이전에 비해 훨씬 편하게 다물어지네요.

신내동 교정치과 에서 준비한 측면 사진을 비교해 보니
그 차이가 더 크게 느껴지는데요.
관리의 중요성, 꾸준한 검진의 필요성에 대해
한번 더 강조를 해주면 모든 치료가 마무리됩니다.

이분과 비슷한 고민을 갖고 계시거나
삐뚤어진 치아나 부정교합으로
치료를 망설이고 있다면!
가까운 교정치과에 방문하여
검진하는것을 권장드립니다.
긴 글 읽어주셔서 감사합니다.
김정은 원장이었습니다!
